医影在线
标题: CT7551:左肾病变,请会诊 [打印本页]
作者: 8314337 时间: 2007-4-9 16:18
标题: CT7551:左肾病变,请会诊
女性,59岁,腰痛,腹痛3天,未见肉眼血尿





[本贴已被 jiajie 于 2007-4-9 16:02:46 修改过]
作者: 狙击手 时间: 2007-4-9 16:41
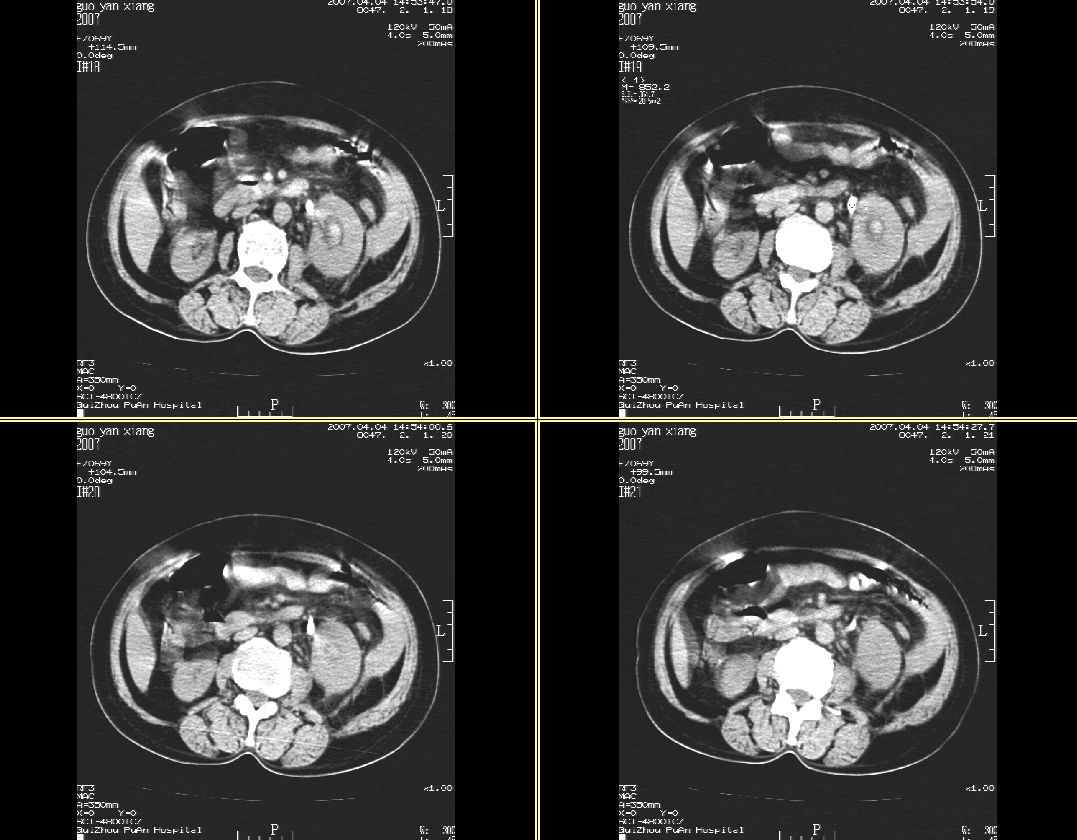
左肾体弥漫性增大,肾周脂肪间囊密度增高,侧锥筋膜明显增厚,肾盂内见高密度影,左输尿管隐约可见,密度似较高,病程短,考虑:左肾急性肾盂肾炎,左肾盂内积血。不知临床还有没有其它相关体征及实验室检查?
作者: zsl6918 时间: 2007-4-9 16:48
肾周筋膜是增厚,肾盂内可见高密度影,但肾盂下部近输尿管处还是可见结石影。
作者: hhcckk 时间: 2007-4-9 17:01
标题: 回复:左肾病变,请会诊

[本贴已被 hhcckk 于 2007-4-10 8:47:22 修改过]

[本贴已被 hhcckk 于 2007-4-10 8:48:38 修改过]
作者: haha215315 时间: 2007-4-9 17:11
左肾及输尿管上端结石。
作者: dyqct 时间: 2007-4-9 18:25
支持:1、左侧输尿管上端结石伴肾盂积血、肾感染;
2、建议增强扫描进一步检查。
作者: 卜一 时间: 2007-4-9 18:37
左肾及输尿管上端结石,伴左肾积水 积血。
作者: jinguoji 时间: 2007-4-9 19:50
左肾及输尿管上端结石伴肾盂积血、肾感染,建议增强.
作者: qiuleiyu 时间: 2007-4-9 20:03
标题: 回复:左肾病变,请会诊
以下是引用dyqct在2007-4-9 10:25:00的发言:[br]支持:1、左侧输尿管上端结石伴肾盂积血、肾感染;[br] 2、建议增强扫描进一步检查。
作者: 天南地北 时间: 2007-4-9 20:47
支持:1、左侧输尿管上端结石伴肾盂积血、肾感染;
2、建议增强扫描进一步检查
作者: zjzjr 时间: 2007-4-9 21:40
标题: 回复:左肾病变,请会诊
以下是引用dyqct在2007-4-9 10:25:00的发言:[br]支持:1、左侧输尿管上端结石伴肾盂积血、肾感染;[br] 2、建议增强扫描进一步检查。
作者: wqs571018 时间: 2007-4-9 23:34
支持:左肾及输尿管上端结石,伴左肾积水, 积血,合并感染.
作者: jinning 时间: 2007-4-10 01:02
左肾及输尿管上端结石伴肾盂积血、肾感染,建议增强.
作者: swyyy2007 时间: 2007-4-10 01:08
支持:1、左侧输尿管上端结石伴肾盂积血、肾感染;
2、建议增强扫描进一步检查
作者: 余辉 时间: 2007-4-10 02:24
左肾体弥漫性增大,肾周脂肪间囊密度增高,侧锥筋膜明显增厚,肾盂内见高密度影,左输尿管隐约可见,密度似较高,病程短,考虑:左肾急性肾盂肾炎,左肾盂内积血。腹膜炎。不知临床还有没有其它相关体征及实验室检查
作者: 拾荒者 时间: 2007-4-10 04:22
左肾弥漫性增大,肾盂内见略高密度影,肾盂无明显扩张,肾实质密度均匀,肾周脂肪间囊密度增高,侧锥筋膜明显增厚,病程短,考虑:左肾急性肾盂肾炎,肾周感染,左肾盂内积血。建议完善相关检查或抗炎治疗后复查。
| 欢迎光临 医影在线 (http://bbs.radida.com/bbs/) |
Powered by Discuz! X3.2 |