






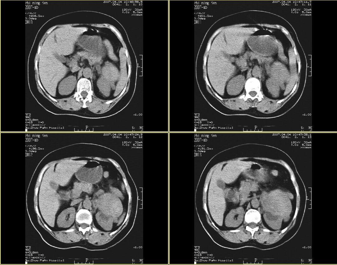
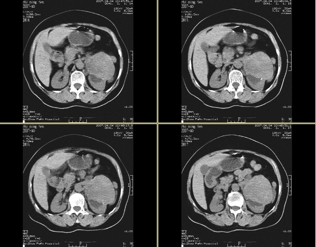
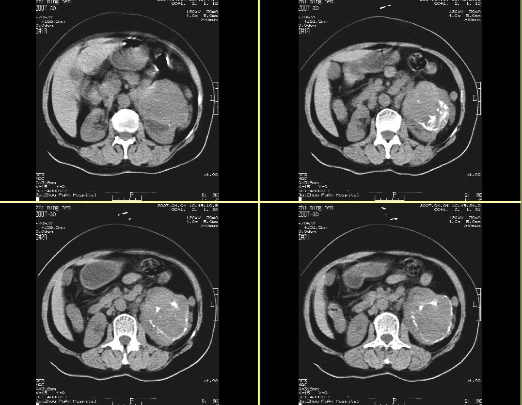
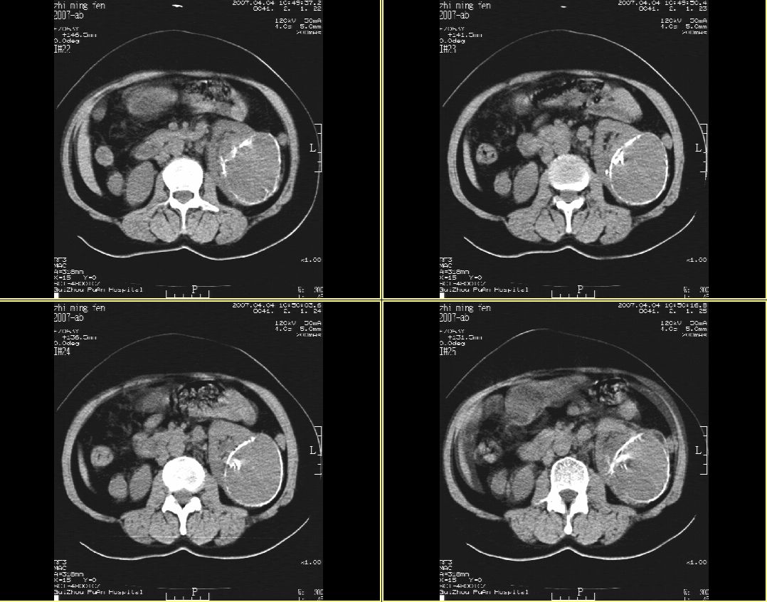
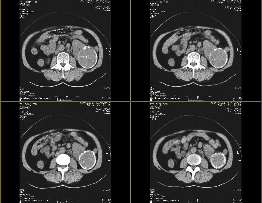
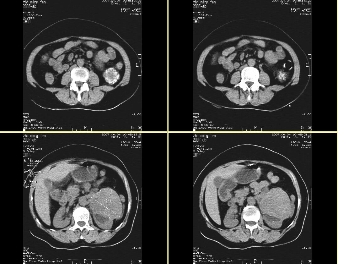
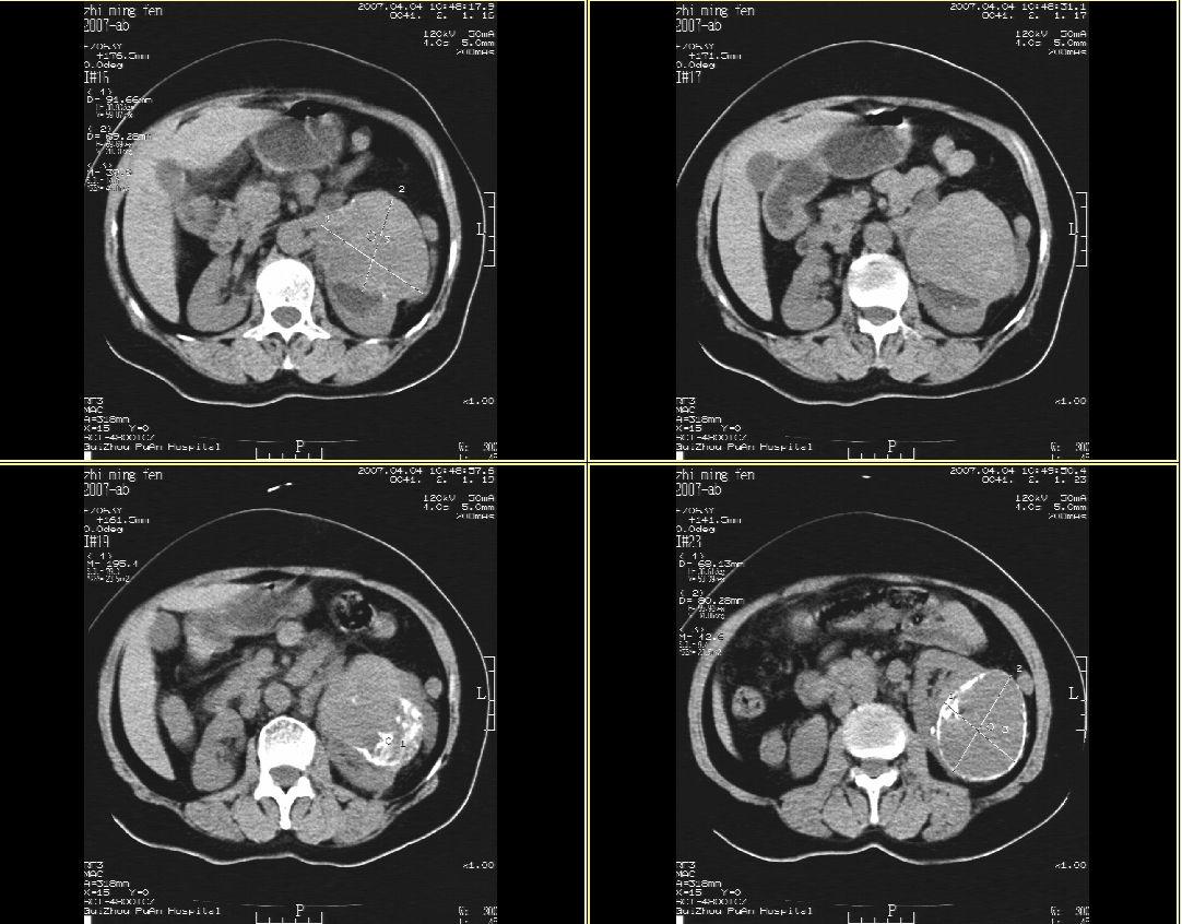
以下是引用hhcckk在2007-4-9 9:18:00的发言:[br]我认为就是一个病灶,病灶上端密度较均匀,下方有明显的钙化,部分呈不完全的环状,考虑肾癌[br]1、肾癌的特征性ct表现为肾实质的占位,局部隆起外突[br]2、肿瘤内的钙化常见,多发生在肿瘤内部,也可以在肿瘤周边呈弧型或不完全的环行钙化[br]3、最常见的三大症状,血尿,腰痛,包块此病人也较符合,增强吧
以下是引用swyyy2007在2007-4-9 18:42:00的发言:[br]支持左肾癌累及肾窦肾盂,左肾积水 [br] [br]
以下是引用hhcckk在2007-4-9 9:18:00的发言:[br]我认为就是一个病灶,病灶上端密度较均匀,下方有明显的钙化,部分呈不完全的环状,考虑肾癌[br]1、肾癌的特征性ct表现为肾实质的占位,局部隆起外突[br]2、肿瘤内的钙化常见,多发生在肿瘤内部,也可以在肿瘤周边呈弧型或不完全的环行钙化[br]3、最常见的三大症状,血尿,腰痛,包块此病人也较符合,增强吧
| 欢迎光临 医影在线 (http://bbs.radida.com/bbs/) | Powered by Discuz! X3.2 |