






























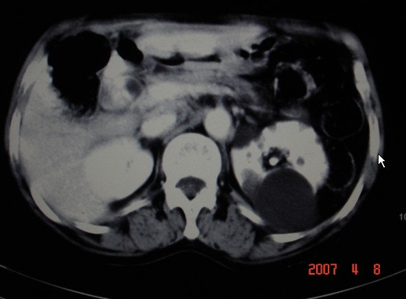
以下是引用dyqct在2007-4-9 10:45:00的发言:[br]考虑:1、肝门区占位性病变(以胆管癌可能性大伴肝内胆管轻度扩张);[br] 2、左肾多发囊肿。
以下是引用zsl6918在2007-4-9 9:18:00的发言:[br]薄层处理一下肝门部会发现病灶,应该是比较典型的肝门部胆管细胞癌,左肾囊肿。在机器上看会更清晰。
以下是引用狙击手在2007-4-9 9:31:00的发言:[br]从走形及位置看像是扩张的肝右管,增强后见周围有明显比正常肝组织强化程度高的环形组织影,考虑肝门部胆管细胞癌可能性大;左肾囊肿。
以下是引用卜一在2007-4-9 10:33:00的发言:[br]1 胆管细胞癌。[br]2 左肾囊肿。[br]支持!
以下是引用jinguoji在2007-4-9 12:05:00的发言:[br]支持1 胆管细胞癌。2 左肾囊肿。[br]
以下是引用qiuleiyu在2007-4-9 12:14:00的发言:[br]支持肝门部胆管细胞癌,左肾囊肿。左肾上腺区转移?胆囊显示不清,请结合临床。
| 欢迎光临 医影在线 (http://bbs.radida.com/bbs/) | Powered by Discuz! X3.2 |