









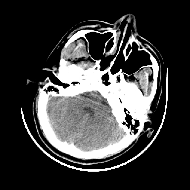
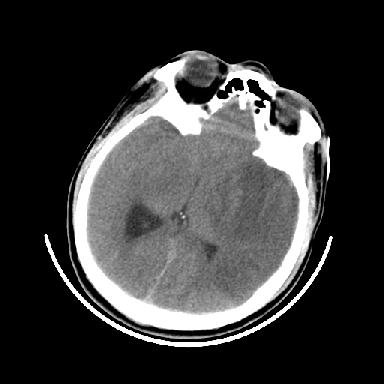
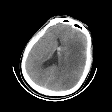
以下是引用dyqct在2007-4-9 11:18:00的发言:[br]左额颞顶叶、基底节区呈大片低密度区,累及皮质,中度占位效应,同侧侧脑室旁见小片状高密度区,边界清楚。中线结构向右弧形移位。右侧侧脑室略扩张。[br]考虑:1、左侧额颞顶叶、基底节区缺血性脑梗塞(符合大脑中动脉供血区)伴出血。[br] 2、建议增强扫描进一步检查。
以下是引用卜一在2007-4-9 15:08:00的发言:[br][br] 左侧额颞顶叶、基底节区缺血性脑梗塞(符合大脑中动脉供血区)伴出血。原因:多考虑外伤后出血,形成血栓所致。 [br]
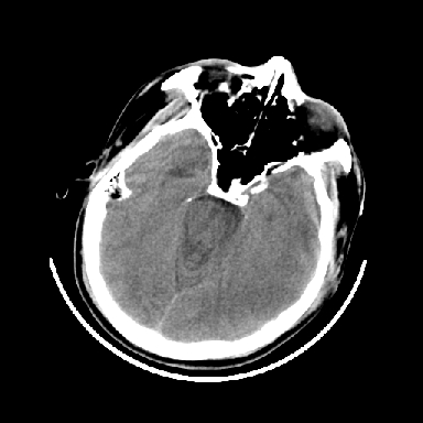
以下是引用dyqct在2007-4-9 11:18:00的发言:[br]左额颞顶叶、基底节区呈大片低密度区,累及皮质,中度占位效应,同侧侧脑室旁见小片状高密度区,边界清楚。中线结构向右弧形移位。右侧侧脑室略扩张。[br]考虑:1、左侧额颞顶叶、基底节区缺血性脑梗塞(符合大脑中动脉供血区)伴出血。[br] 2、建议增强扫描进一步检查。
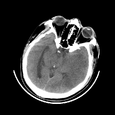
以下是引用dyqct在2007-4-9 11:18:00的发言:[br]左额颞顶叶、基底节区呈大片低密度区,累及皮质,中度占位效应,同侧侧脑室旁见小片状高密度区,边界清楚。中线结构向右弧形移位。右侧侧脑室略扩张。[br]考虑:1、左侧额颞顶叶、基底节区缺血性脑梗塞(符合大脑中动脉供血区)伴出血。[br] 2、建议增强扫描进一步检查。
以下是引用卜一在2007-4-9 15:08:00的发言:[br][br] 左侧额颞顶叶、基底节区缺血性脑梗塞(符合大脑中动脉供血区)伴出血。原因:多考虑外伤后出血,形成血栓所致。 [br]
| 欢迎光临 医影在线 (http://bbs.radida.com/bbs/) | Powered by Discuz! X3.2 |