




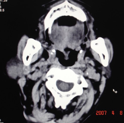
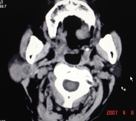
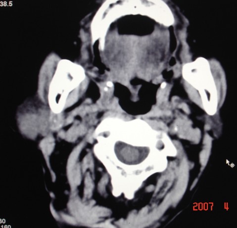
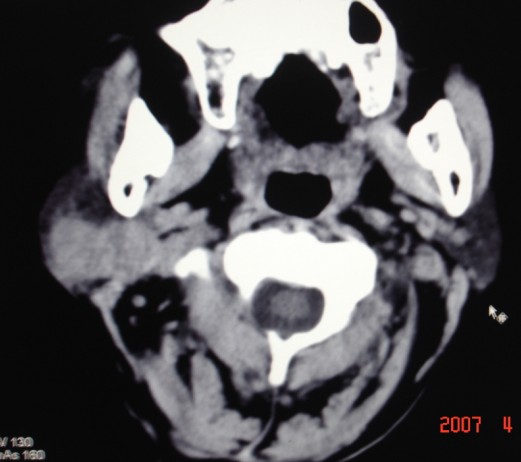
以下是引用zjzjr在2007-4-9 13:27:00的发言:[br]右侧腮腺深浅叶可见一混杂密度区,含有实性及囊性成.考虑右侧腮腺混合瘤,建议ct增强扫描。

以下是引用zjzjr在2007-4-9 13:27:00的发言:[br]右侧腮腺深浅叶可见一混杂密度区,含有实性及囊性成.考虑右侧腮腺混合瘤,建议ct增强扫描。
以下是引用zjzjr在2007-4-9 13:27:00的发言:[br]右侧腮腺深浅叶可见一混杂密度区,含有实性及囊性成.考虑右侧腮腺混合瘤,建议ct增强扫描。
以下是引用jiangjing在2007-4-9 15:09:00的发言:[br]考虑右侧腮腺肿瘤[混合瘤可能性大],其他待排[br]建议ct增强扫描。
| 欢迎光临 医影在线 (http://bbs.radida.com/bbs/) | Powered by Discuz! X3.2 |