医影在线

标题: CT7563:枕大池密度低 [打印本页]

作者: flower______    时间: 2007-4-9 19:46
标题: CT7563:枕大池密度低
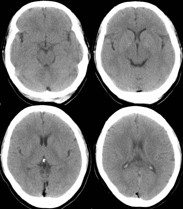
女,62,头昏



[本贴已被 jiajie 于 2007-4-9 16:18:44 修改过]

作者: 天南地北    时间: 2007-4-9 20:22
应该是正常的
作者: haitian598    时间: 2007-4-9 20:36
脂肪瘤?皮样囊肿?
作者: zyx168    时间: 2007-4-9 20:46
皮样囊肿?
作者: 山佳    时间: 2007-4-9 21:09
脂肪瘤?建议mr。
作者: 小初学者    时间: 2007-4-9 21:11
标题: 回复:枕大池密度低
以下是引用haitian598在2007-4-9 12:36:00的发言:[br]脂肪瘤?皮样囊肿?[br]

作者: zsl6918    时间: 2007-4-9 21:14
表皮样囊肿
作者: liuyue    时间: 2007-4-9 21:27
脂肪瘤/皮样囊肿?
作者: zjzjr    时间: 2007-4-9 21:28
中线部位脂肪瘤.
作者: 眼睛    时间: 2007-4-9 22:19
支持楼上,建议 测ct值!
作者: dyqct    时间: 2007-4-9 22:22
ct值是多少?如果是负值,那就是脂肪瘤。
作者: hhcckk    时间: 2007-4-9 22:35
考虑皮样囊肿
皮样囊肿好发于后颅窝中线,可见特征性的皮瘘,ct值为负值,囊肿可因为反复感染而出现强化
鉴别
脂肪瘤,主要在中线区,半数位于并柢体区,常有钙化,肿瘤无强化,无占位效应
畸胎瘤半数发生在松果体区,瘤内可出现特征性的骨骼,牙齿增强后实体部分有强化
本例病变在后颅窝中线,因为病灶内密度比较均匀,所以没有占位效应,左枕部皮下软组织比较厚,不知临床上有无皮瘘的表现,如果有就更能肯定诊断了
作者: 卜一    时间: 2007-4-9 22:50
测一下ct值!应该是:脂肪瘤。
作者: wqs571018    时间: 2007-4-9 22:55
脂肪瘤可能性大.
作者: jiangjing    时间: 2007-4-9 23:07
中线部位脂肪瘤.建议测ct值
作者: 狙击手    时间: 2007-4-9 23:10
像是脂肪瘤,给个ct值就能搞定。
作者: 新页    时间: 2007-4-10 00:07
脂肪瘤
作者: swyyy2007    时间: 2007-4-10 00:10
前两天见过一例这样的,ct值为脂肪密度,我们考虑的是脂肪滴。
作者: jinning    时间: 2007-4-10 00:17
脂肪瘤?皮样囊肿?
作者: 观世音    时间: 2007-4-10 00:51
标题: 回复:ct7563:枕大池密度低
以下是引用haitian598在2007-4-9 12:36:00的发言:[br]脂肪瘤?皮样囊肿?[br]

作者: whz1765    时间: 2007-4-10 00:56
看图片ct值应该是负的,不过也不能由此断定就是脂肪瘤,皮样囊肿也可为负值
作者: qinwei260    时间: 2007-4-10 01:42
测ct值!
作者: 余辉    时间: 2007-4-10 02:04
脂肪瘤?皮样囊肿?
作者: jian-5587    时间: 2007-4-10 03:07
脂肪瘤可能性大,建议侧ct值!
作者: zhanghua2086    时间: 2007-4-10 03:09
脂肪瘤
作者: yangzongshan    时间: 2007-4-10 04:15
脂肪瘤
作者: qc80012345    时间: 2007-4-10 04:24
不够理想;资料太少。
作者: 同    时间: 2007-4-10 04:26
中线部位脂肪瘤
作者: shiqingfa    时间: 2007-4-10 04:42
中线部位脂肪瘤可能性大
作者: ouypingfang    时间: 2007-4-10 05:01
这个病人我可是深有体会呀.我也看到过一例,我发的是正常的,可是病人去了广东三九脑科医院去做了个ct,他们说是枕大池区小脂肪囊肿,后来那病人还来找我麻烦,说我们没有报,你们说冤不.哈哈
作者: ouypingfang    时间: 2007-4-10 05:07
标题: 回复:ct7563:枕大池密度低
我以前看到过一个,广东三九脑科医院的报告是枕大池小脂肪囊肿.
作者: 宝天曼    时间: 2007-4-10 21:33
脂肪瘤/皮样囊肿?
作者: 拾荒者    时间: 2007-4-11 03:18
还是报一下比较好,不管是脂肪瘤还是脂肪囊肿,只要ct值支持就要报,就像楼上战友所说,你觉得是正常没报,如果别的单位包了,病人会找麻烦的。




欢迎光临 医影在线 (http://bbs.radida.com/bbs/) Powered by Discuz! X3.2