医影在线

标题: DSA0088:肾动脉狭窄 [打印本页]

作者: jiajie    时间: 2007-4-10 04:10
标题: DSA0088:肾动脉狭窄
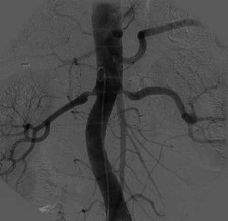
女,63岁,高血压病史,160/100mmhg。


作者: 念羊经    时间: 2007-4-10 04:59
漂亮,谢谢楼主
作者: zjzjr    时间: 2007-4-10 17:20
双侧肾动脉起始部狭窄,结合年龄考虑动脉粥样硬化所致.可进行球囊扩张或支架置入术.
作者: 晓杰    时间: 2007-4-10 19:29
双侧肾动脉起始部狭窄,结合年龄考虑动脉粥样硬化所致.可进行球囊扩张或支架置入术.
作者: lushijun    时间: 2007-4-11 14:31
好,支持双侧肾动脉起始部狭窄
作者: zyx168    时间: 2007-4-12 21:19
双侧肾动脉起始部狭窄
作者: lihongwei    时间: 2007-4-16 05:58
凡出现血流动力学上有意义的肾动脉狭窄(≥70%)而无慢性终末期缺血性肾病的患者均应考虑行介入治疗或外科手术治疗。
作者: jinguoji    时间: 2007-4-16 22:59
学习了!谢谢!
作者: 火中金    时间: 2007-4-24 05:40
双侧肾动脉起始部狭窄,该部位狭窄支架置入好象不可能,可球囊扩张或外科手术.
作者: jssqcdm    时间: 2007-4-25 06:31
考虑多发大动脉炎,可行球囊扩张或支架。自体肾移植不可取。
作者: dr.yang    时间: 2012-9-16 19:28
治疗了吗?




欢迎光临 医影在线 (http://bbs.radida.com/bbs/) Powered by Discuz! X3.2