医影在线

标题: PED0078:男,5岁,发现心脏杂音5年 [打印本页]

作者: jiajie    时间: 2007-4-10 04:51
标题: PED0078:男,5岁,发现心脏杂音5年
(结果公布:http://www.radida.com/bbs/forum.php?mod=viewthread&tid=23459)
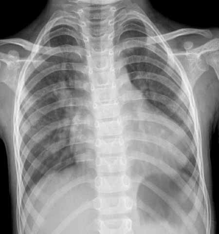
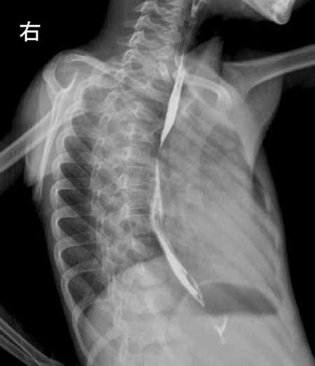
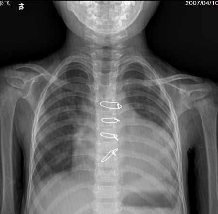
男,5岁,发现心脏杂音5年。









[本贴已被 jiajie 于 2007-5-12 7:12:48 修改过]

作者: 卜一    时间: 2007-4-10 05:24
双肺肺血增多,心脏向左增大,以左心室增大为主,肺动脉段微凸..多考虑:多血型先心病_室缺?
作者: dyqct    时间: 2007-4-10 17:07
标题: 回复:ped0078:心脏病变之二
以下是引用卜一在2007-4-9 21:24:00的发言:[br]双肺肺血增多,心脏向左增大,以左心室增大为主,肺动脉段微凸..多考虑:多血型先心病_室缺?

支持!!
作者: haha215315    时间: 2007-4-10 17:35
左心室高度增大,肺血增多,考虑:动脉导管未闭。
作者: hhcckk    时间: 2007-4-10 18:16
标题: 回复:ped0078:心脏病变之二

作者: jinning    时间: 2007-4-10 19:17
考虑:多血型先心病_室缺
作者: 天南地北    时间: 2007-4-10 20:43
以下是引用卜一在2007-4-9 21:24:00的发言:
双肺肺血增多,心脏向左增大,以左心室增大为主,肺动脉段微凸..多考虑:多血型先心病_室缺?


支持!!
作者: wnq    时间: 2007-4-11 04:46
两心室均增大,室缺.
作者: 魏永民    时间: 2007-4-11 06:20
左室大主动脉结节小,室缺
作者: czl    时间: 2007-4-11 08:25
请提供心脏杂音性质部位,可能是二尖瓣关闭不全。
作者: zyx168    时间: 2007-4-12 21:12
支持:多血型先心病(室缺? )
作者: yzh9939    时间: 2007-4-13 06:58
动脉导管未闭。
x线特点:主动脉型心脏,左室增大为主,主动脉增宽;肺动脉增粗。
作者: chaocheng    时间: 2007-4-14 03:50
左房左室大,肺血增多,主动脉结无明显改变,不排除室缺可能,请结合临床。
作者: zhangxiangjun    时间: 2007-4-14 08:34
左房左室大,肺血增多,主动脉结无明显改变,不排除动脉导管未闭可能,请结合临床。
作者: zhw974247    时间: 2007-4-17 02:46
结果收到,大家都没有猜对,法四学习了!肺内出现粗乱血管影或中下肺野及肺门附近有网状血管纹理,为体动脉侧支循环的表现,提示中度肺动脉狭窄。
作者: jinguoji    时间: 2007-4-17 16:40
结果收到,学习了!
作者: zhangxiangjun    时间: 2007-4-18 08:54
结果收到,学习了!
作者: STRO    时间: 2007-4-21 22:59
支持蝙蝠侠的说法!
作者: ZHONGXINMR    时间: 2009-5-18 19:24
谢谢,学习了
作者: bmw011    时间: 2009-5-20 08:46
学习了。




欢迎光临 医影在线 (http://bbs.radida.com/bbs/) Powered by Discuz! X3.2