





















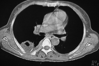
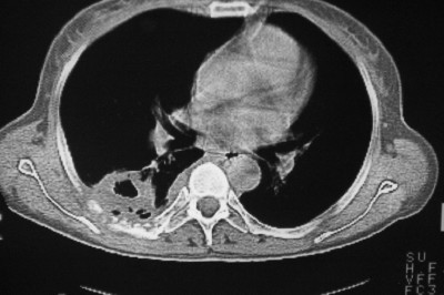
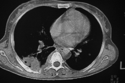
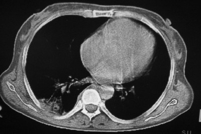
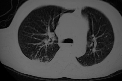
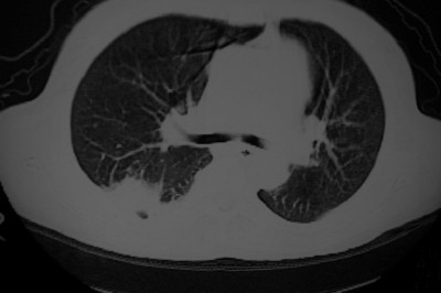
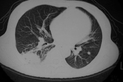
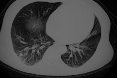
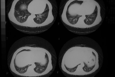
以下是引用天南地北在2007-4-10 1:49:00的发言:[br]考虑右下叶周围型肺癌伴肋骨转移。
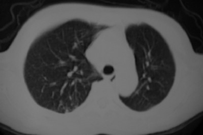
以下是引用jone-baby在2007-4-10 8:45:00的发言:[br][br] [br] 患者[br]有发热史,x线片考虑肺脓肿.肺脓肿可以导致肋骨破坏吗?[br]脓肿可以排除吗? [br] [br] [br]
以下是引用林建春在2007-4-10 7:35:00的发言:[br]周围型肺癌侵犯肋骨
以下是引用liuyue在2007-4-10 7:56:00的发言:[br]周围型肺癌侵犯肋骨,左肺转移。
以下是引用zhangzhongshou在2007-4-10 10:24:00的发言:[br]右肺下叶背段厚壁空洞,伴胸膜改变、肋骨破坏,其内可见死骨、周围骨质硬化,左肺可见小结节影,[br]单纯影像学更支持结核。建议进一步检查。
| 欢迎光临 医影在线 (http://bbs.radida.com/bbs/) | Powered by Discuz! X3.2 |