医影在线

标题: CT7574:双肺病变,请会诊。急!急! [打印本页]

作者: tao772    时间: 2007-4-10 18:56
标题: CT7574:双肺病变,请会诊。急!急!
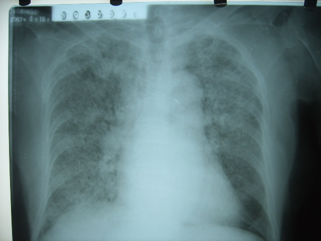
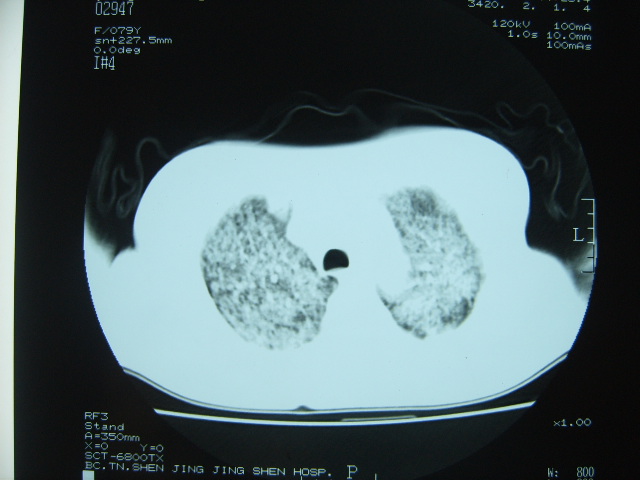
女 79岁,今日高烧,无咳嗽及痰,是否粟粒结核还是?

































[本贴已被 翁志蓬 于 2007-4-10 14:45:24 修改过]

作者: 晓杰    时间: 2007-4-10 19:00
考虑:过敏性肺炎
作者: 龙刚    时间: 2007-4-10 20:35
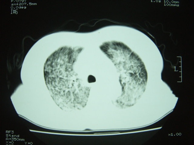
双肺弥漫性病变,以肺间质改变为主,
1特发性肺间质纤维化2结节病3过敏性肺炎4淋巴管播散癌.需结合临床.
作者: 天南地北    时间: 2007-4-10 20:36
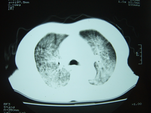
胸内小结节部分融合成片,边缘模糊,
考虑肺部特殊感染-霉菌?建议痰培养。
作者: 宝天曼    时间: 2007-4-10 21:14
双肺弥漫性病变,以肺间质改变为主,
考虑特发性肺间质纤维化可能性大
作者: jinning    时间: 2007-4-10 22:04
胸内小结节部分融合成片,边缘模糊,
考虑肺部特殊感染-霉菌?建议痰培养。
作者: dyqct    时间: 2007-4-10 22:55
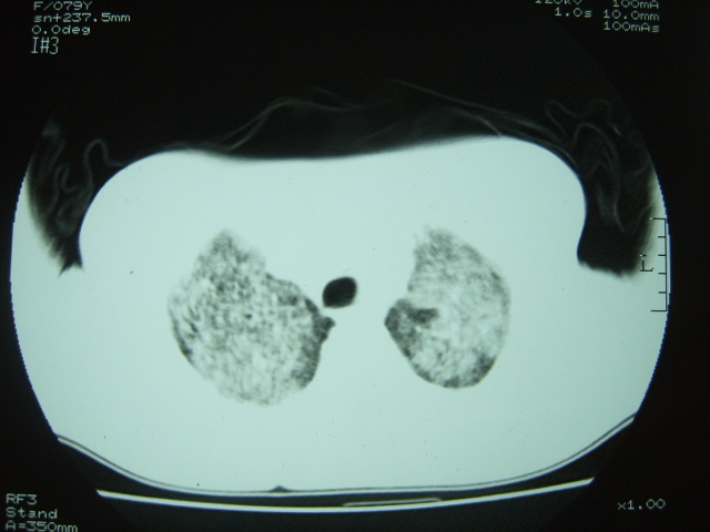
双肺弥漫小结节状高密度,部分融合,边界不清(因为不是hrct,可能为部分容积效应引起),肺门纵隔内未见肿大淋巴结影。无胸腔积液。
女 79岁,今日高烧,无咳嗽及痰,是否粟粒结核还是?
考虑:急性血型播散型肺结核,不除外过敏性肺炎;建议治疗后复查。
作者: zjzjr    时间: 2007-4-10 23:15
双肺弥漫性结节影,双肺上叶为著.纵隔内可见一肿大淋巴结影,密度较高.支持急性血行播散型肺结核.双侧少量胸腔积液.
作者: 红樱枪    时间: 2007-4-10 23:46
考虑:急性血型播散型肺结核,不除外过敏性肺炎;建议治疗后复查。
作者: 刺玫瑰    时间: 2007-4-11 00:18
双肺弥漫基本均匀分布的小结节状高密度影,部分融合。支持急性血性播散性肺结核。
不支持过敏性肺炎:1.体征与症状不符.无咳嗽。寒战?肌肉酸痛?嗜酸性粒细胞高否?2.过敏性肺炎影像表现以中下肺野病灶较密集,肺尖可无病灶。3.病灶游走性,脱离过敏源2-4周可完全吸收。请跟踪。
作者: qiuleiyu    时间: 2007-4-11 00:27
双肺弥漫性粟粒结节影,双肺上叶为著.密度较高. 两侧少量胸水,心影未见明显增大。临床高热病史,考虑炎症性病变。急性播散性肺结核可能大。肺肾综合征?请结合临床进一步检查。
作者: ZHANGZHONGSHOU    时间: 2007-4-11 01:26
肺内结节有点大,不太支持粟粒型肺结核,可能为霉菌感染或过敏性肺泡炎,建议进一步询问病史,及上传相关临床资料。
作者: 青莲居士    时间: 2007-4-11 03:09
双肺弥漫小结节状高密度,部分融合,边界不清(因为不是hrct,可能为部分容积效应引起),肺门纵隔内未见肿大淋巴结影。无胸腔积液。
女 79岁,今日高烧,无咳嗽及痰,是否粟粒结核还是?
考虑:急性血型播散型肺结核,不除外过敏性肺炎;建议治疗后复查。
作者: 余辉    时间: 2007-4-11 03:25
双肺弥漫性病变,以肺间质改变为主,
1急性肺间质性肺炎2过敏性肺炎3血行散播性肺结核4淋巴管播散癌.需结合临床
作者: 拾荒者    时间: 2007-4-11 04:51
标题: 回复:ct7574:双肺病变,请会诊。急!急!
以下是引用余辉在2007-4-10 19:25:00的发言:[br]双肺弥漫性病变,以肺间质改变为主,[br]1急性肺间质性肺炎2过敏性肺炎3血行散播性肺结核4淋巴管播散癌.需结合临床

支持!
作者: 五阿哥    时间: 2007-4-11 05:33
两肺弥漫分布小结节状高密度影,其大小,密度一致,分布均匀,并可见与后胸壁平行的弧状影
诊断:两肺急性血型播散形肺结核
过敏性肺炎不是太像,其主要分布在两肺中下野,呈毛玻璃样片状改变,及模糊的小结节影,病灶短期内可有变化
作者: 朱亮    时间: 2007-4-11 06:43
支持楼上
作者: 狙击手    时间: 2007-4-11 07:52
两肺下叶见高密度钙化灶,支持急性血型播散型肺结核。
作者: hjg1980    时间: 2007-4-12 06:00
两肺弥漫分布之斑点状结节状影,除了血播外,应注意问一下是否有粉尘等病史.但纵隔窗不是很支持.




欢迎光临 医影在线 (http://bbs.radida.com/bbs/) Powered by Discuz! X3.2