医影在线
标题: PED0080:[原创]男,10岁。头疼,视力下降,智力减退 [打印本页]
作者: 郭凯 时间: 2007-4-10 19:51
标题: PED0080:[原创]男,10岁。头疼,视力下降,智力减退
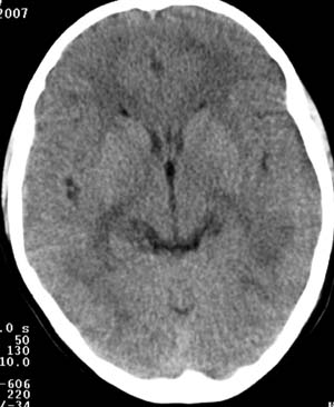
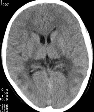
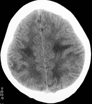
患者,男,10岁。
头疼,视力下降,智力减退伴
右下肢无力走路不稳两年,加重半年。










[本贴已被 jiajie 于 2007-5-13 6:27:52 修改过]
作者: qiuleiyu 时间: 2007-4-10 20:20
两侧颞枕叶脑白质区多发斑片状低密度灶,考虑脑白质病变;肾上腺脑白质营养不良可能大。
1,发病年龄相符,5-10y。2,临床有视、智力改变。3,病灶发病位置相符;大脑后部白质,侧室三角区周围,对称。
作者: 天南地北 时间: 2007-4-10 20:23
支持:考虑脑白质病变;肾上腺脑白质营养不良可能大
作者: wangyi 时间: 2007-4-10 20:27
标题: 考虑
两侧脑室后角旁、丘脑、放射冠、颞顶叶呈对称性片状低密度影,脑室系统、环池、四叠体池、脑桥小脑角池偏大。
病灶从后向前发展,结合临床表现,首先考虑:肾上腺脑白质营养不良。
[本贴已被 wangyi 于 2007-4-10 12:37:20 修改过]
作者: wangzhanshuang 时间: 2007-4-10 21:01
标题: 回复:[原创]颅脑病变!
以下是引用天南地北在2007-4-10 12:23:00的发言:[br]支持:考虑脑白质病变;肾上腺脑白质营养不良可能大
作者: 宝天曼 时间: 2007-4-10 21:21
支持:考虑脑白质病变;肾上腺脑白质营养不良可能大
作者: 五阿哥 时间: 2007-4-10 21:26
两侧脑室后角周围髓质,丘脑,放射冠,及颞顶区可见对称的低密度区,侧脑室后角未见明显扩大
诊断:肾上腺营养不良性脑白质病
鉴别诊断:播散性坏死性髓质脑病,右侧脑室前角向后发展
作者: tao772 时间: 2007-4-10 21:27
支持:考虑脑白质病变;肾上腺脑白质营养不良可能大
作者: zjzjr 时间: 2007-4-10 21:34
标题: 回复:[原创]颅脑病变!
以下是引用qiuleiyu在2007-4-10 12:20:00的发言:[br]两侧颞枕叶脑白质区多发斑片状低密度灶,考虑脑白质病变;肾上腺脑白质营养不良可能大。[br]1,发病年龄相符,5-10y。2,临床有视、智力改变。3,病灶发病位置相符;大脑后部白质,侧室三角区周围,对称。
作者: xclzq_910 时间: 2007-4-10 21:37
两侧脑室后角旁、丘脑、放射冠、颞顶叶呈对称性片状低密度影。
病灶从后向前发展,结合临床表现,首先考虑:肾上腺脑白质营养不良。
作者: jinning 时间: 2007-4-10 22:14
支持:考虑脑白质病变;肾上腺脑白质营养不良可能大
作者: 卜一 时间: 2007-4-10 22:44
脱髓鞘疾病——多发性硬化。
作者: 新页 时间: 2007-4-10 22:46
两侧颞枕叶脑白质区多发斑片状低密度灶,考虑脑白质病变;肾上腺脑白质营养不良可能大。
作者: dyqct 时间: 2007-4-10 22:46
标题: 回复:[原创]颅脑病变!
以下是引用qiuleiyu在2007-4-10 12:20:00的发言:[br]两侧颞枕叶脑白质区多发斑片状低密度灶,考虑脑白质病变;肾上腺脑白质营养不良可能大。[br]1,发病年龄相符,5-10y。2,临床有视、智力改变。3,病灶发病位置相符;大脑后部白质,侧室三角区周围,对称。
支持!!
作者: 同 时间: 2007-4-11 01:53
考虑脑白质病变,肾上腺脑白质营养不良。
作者: xn2ylwg 时间: 2007-4-11 07:49
以下是引用qiuleiyu在2007-4-10 12:20:00的发言:
两侧颞枕叶脑白质区多发斑片状低密度灶,考虑脑白质病变;肾上腺脑白质营养不良可能大。
1,发病年龄相符,5-10y。2,临床有视、智力改变。3,病灶发病位置相符;大脑后部白质,侧室三角区周围,对称。
作者: czl 时间: 2007-4-11 08:14
以下是引用qiuleiyu在2007-4-10 12:20:00的发言:
两侧颞枕叶脑白质区多发斑片状低密度灶,考虑脑白质病变;肾上腺脑白质营养不良可能大。
1,发病年龄相符,5-10y。2,临床有视、智力改变。3,病灶发病位置相符;大脑后部白质,侧室三角区周围,对称。
作者: 晓杰 时间: 2007-4-11 18:05
两侧脑室后角旁、丘脑、放射冠、颞顶叶呈对称性片状低密度影。
病灶从后向前发展,结合临床表现,首先考虑:肾上腺脑白质营养不良。
作者: cjhct5516 时间: 2007-4-12 05:15
标题: 回复:ped0080:[原创]颅脑病变!
以下是引用qiuleiyu在2007-4-10 12:20:00的发言:[br]两侧颞枕叶脑白质区多发斑片状低密度灶,考虑脑白质病变;肾上腺脑白质营养不良可能大。[br]1,发病年龄相符,5-10y。2,临床有视、智力改变。3,病灶发病位置相符;大脑后部白质,侧室三角区周围,对称。
作者: zyx168 时间: 2007-4-12 21:08
支持:考虑脑白质病变;肾上腺脑白质营养不良可能大
作者: xsj 时间: 2008-8-4 20:53
考虑脑白质病变;肾上腺脑白质营养不良可能大
| 欢迎光临 医影在线 (http://bbs.radida.com/bbs/) |
Powered by Discuz! X3.2 |