医影在线

标题: CT7583:[讨论] [打印本页]

作者: LNC    时间: 2007-4-10 23:26
标题: CT7583:[讨论]
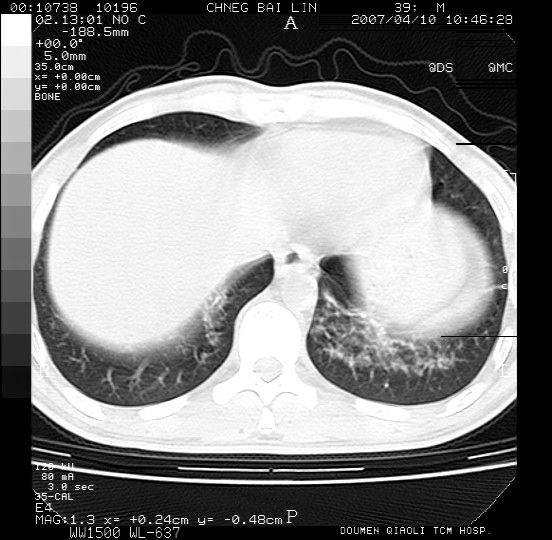
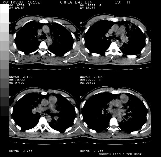
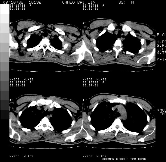
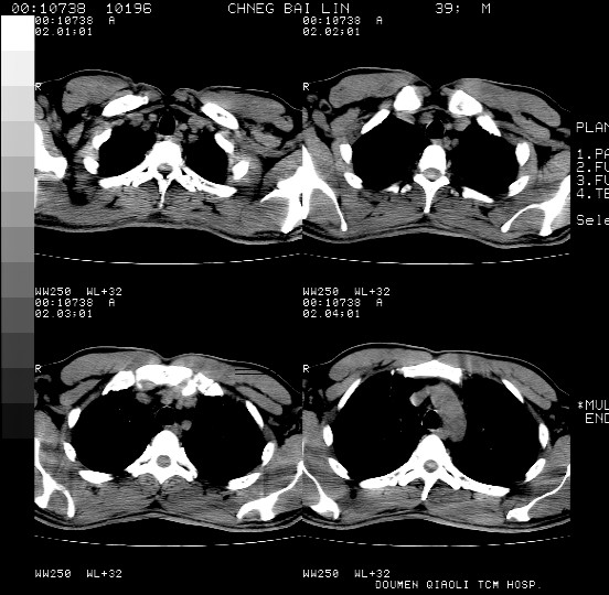
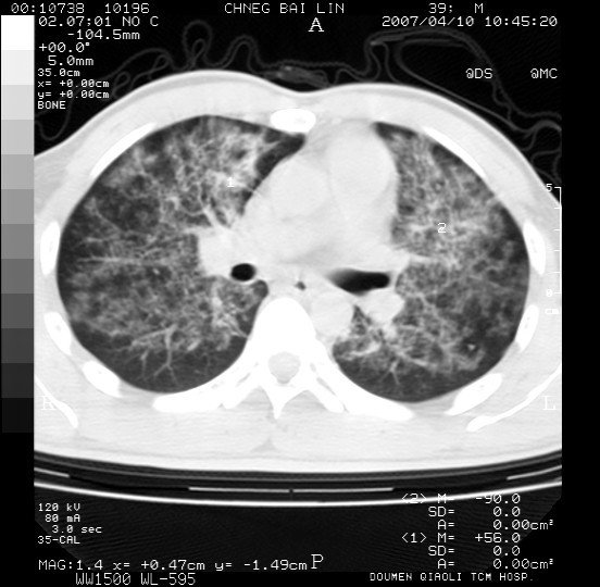
男,39岁。10天前自觉感冒,曾输液一次内容不详曾有吸毒史。现有咳嗽、咳痰胸闷。













[本贴已被 翁志蓬 于 2007-4-10 16:31:02 修改过]

作者: dyqct    时间: 2007-4-11 00:22
双肺弥漫性网状、磨玻璃样病灶,边界不清。有吸毒史。首先考虑机遇性肺部感染。
作者: qiuleiyu    时间: 2007-4-11 00:32
两肺弥漫间质改变,考虑1、特发性肺间质纤维化。2、间质性肺炎。
作者: zjzjr    时间: 2007-4-11 00:51
双肺弥漫性网状、磨玻璃样病灶,边界不清。有吸毒史。首先考虑机遇性肺部感染。
作者: ZHANGZHONGSHOU    时间: 2007-4-11 01:12
患者有吸毒史,查一下是否有艾滋病,如果有,支持艾滋病肺机遇性感染
作者: 同    时间: 2007-4-11 01:41
首先考虑机遇性肺部感染
作者: 老爱克斯    时间: 2007-4-11 02:00
支持.
作者: 天南地北    时间: 2007-4-11 02:05
有吸毒史。首先考虑机遇性肺部感染。
支持!!!!!
作者: 我爱CT-MR    时间: 2007-4-11 02:12
支持\"有吸毒史。首先考虑机遇性肺部感染\"
    禁毒!!!!!!!!!!!!!
作者: ailuanfei    时间: 2007-4-11 03:05
双肺弥漫性网状、磨玻璃样病灶,边界不清。有吸毒史。首先考虑机遇性肺部感染
作者: 拾荒者    时间: 2007-4-11 03:10
双肺弥漫性网状、磨玻璃样病灶,边界不清。有吸毒史。首先考虑机遇性肺部感染。
支持!
作者: jian-5587    时间: 2007-4-11 03:34
双肺弥漫性网状、磨玻璃样病灶,边界不清。有吸毒史。首先考虑机遇性肺部感染。
作者: 余辉    时间: 2007-4-11 03:38
双肺野蜂窝状结构及多发斑片状影,高度怀疑卡氏囊虫性肺炎
作者: jinning    时间: 2007-4-11 21:36
考虑机遇性肺部感染。
作者: 小初学者    时间: 2007-4-11 22:44
标题: 回复:ct7583:[讨论]
以下是引用ailuanfei在2007-4-10 19:05:00的发言:[br]双肺弥漫性网状、磨玻璃样病灶,边界不清。有吸毒史。首先考虑机遇性肺部感染

作者: qc80012345    时间: 2007-4-11 22:55
患者有吸毒史,查一下是否有艾滋病,如果有,支持艾滋病肺机遇性感染
作者: 五阿哥    时间: 2007-4-12 03:47
两肺弥漫分布的网状毛玻璃状阴影,边缘模糊不清,纵隔未见明显淋巴结肿大
诊断:机遇性肺部感染
鉴别诊断:1特发性肺纤维化,主要部位在两肺下叶胸膜下网状,毛玻璃状及蜂窝状阴影,临近胸膜增厚,该病征象不太符合
作者: 青莲居士    时间: 2007-4-12 04:16
支持\"有吸毒史。首先考虑机遇性肺部感染\"
    禁毒!!!!!!!!!!!!!




欢迎光临 医影在线 (http://bbs.radida.com/bbs/) Powered by Discuz! X3.2