













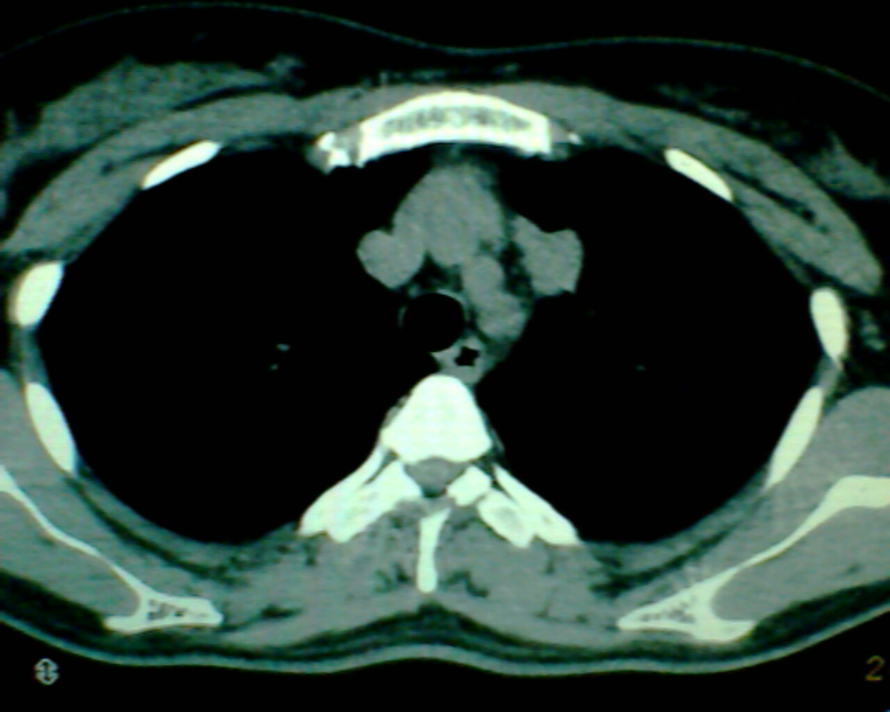
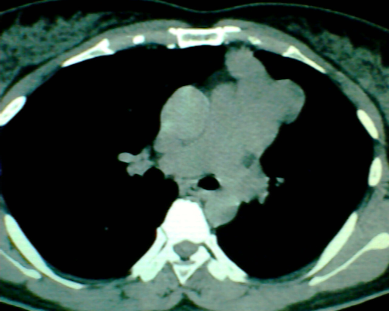
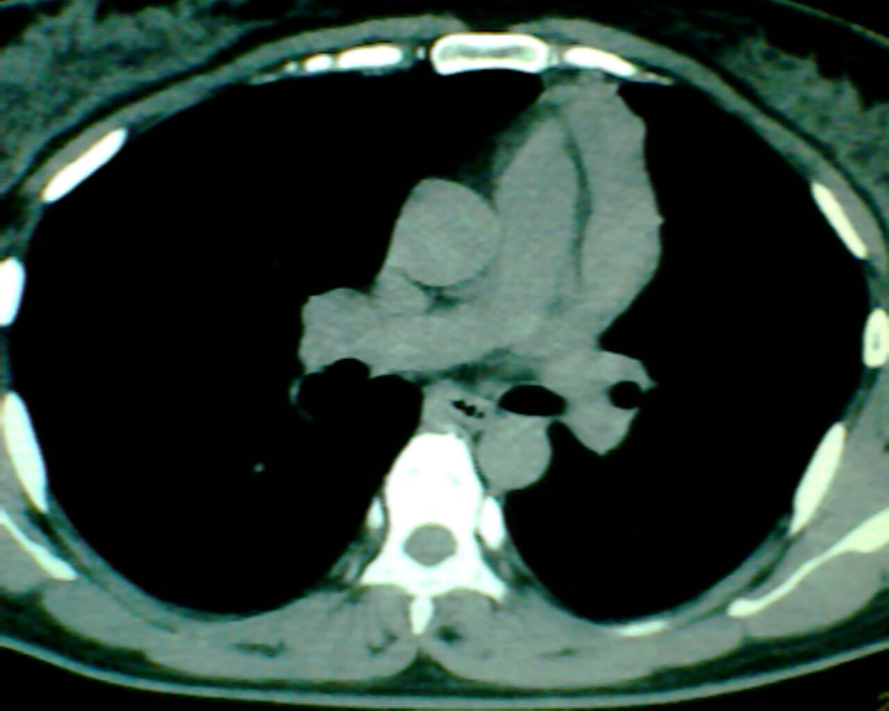
以下是引用狙击手在2007-4-10 22:46:00的发言:[br]考虑:左上纵膈旁型肺癌。理由:1,肿块与纵隔间有分隔;2,肿块呈分叶状;3,肿块突出面圆心在肺内;4,纵隔左移;5,纵隔内器官未见受压征象。
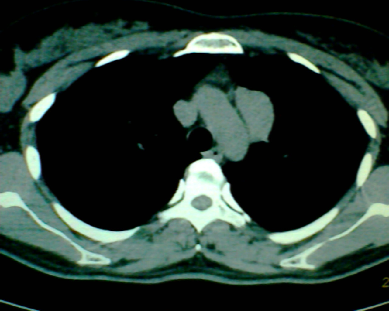
以下是引用狙击手在2007-4-10 22:46:00的发言:[br]考虑:左上纵膈旁型肺癌。理由:1,肿块与纵隔间有分隔;2,肿块呈分叶状;3,肿块突出面圆心在肺内;4,纵隔左移;5,纵隔内器官未见受压征象。
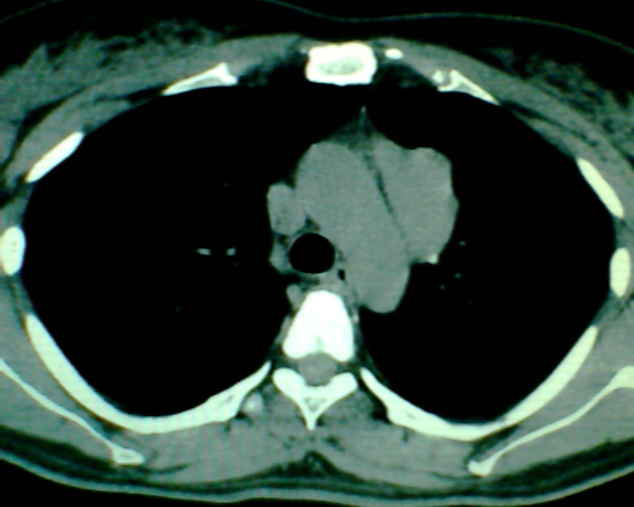
以下是引用狙击手在2007-4-10 22:46:00的发言:[br]考虑:左上纵膈旁型肺癌。理由:1,肿块与纵隔间有分隔;2,肿块呈分叶状;3,肿块突出面圆心在肺内;4,纵隔左移;5,纵隔内器官未见受压征象。
| 欢迎光临 医影在线 (http://bbs.radida.com/bbs/) | Powered by Discuz! X3.2 |