医影在线

标题: CT7599:[原创]颅脑CT平扫 [打印本页]

作者: 同    时间: 2007-4-11 21:18
标题: CT7599:[原创]颅脑CT平扫
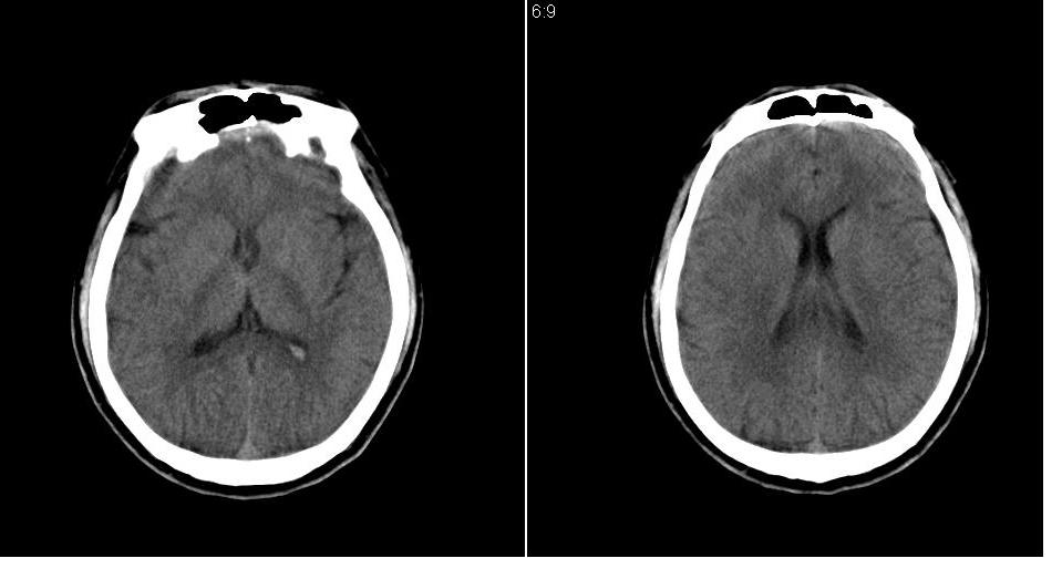
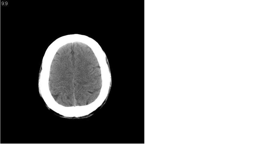
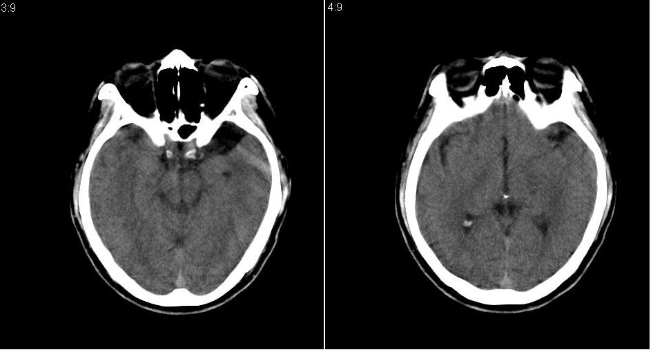
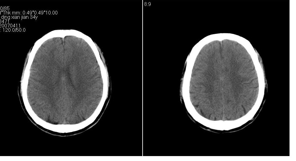
男 32岁,外伤。







[本贴已被 翁志蓬 于 2007-4-11 19:37:09 修改过]

作者: 天南地北    时间: 2007-4-11 21:35
标题: 回复:[原创]颅脑ct平扫

作者: liuyue    时间: 2007-4-11 21:54
大枕大池、蛛网膜囊肿
作者: zjzjr    时间: 2007-4-11 22:01
大枕大池、左侧外侧裂池区蛛网膜囊肿
作者: 小初学者    时间: 2007-4-11 22:06
标题: 回复:[原创]颅脑ct平扫
以下是引用liuyue在2007-4-11 13:54:00的发言:[br]大枕大池、蛛网膜囊肿

作者: 卜一    时间: 2007-4-11 22:26
大枕大池、左侧外侧裂池区蛛网膜囊肿 。目前只能看到这些。
作者: 文莱    时间: 2007-4-11 22:34
大枕大池、蛛网膜囊肿
作者: dyqct    时间: 2007-4-11 22:50
支持左侧中颅窝蛛网膜囊肿。
作者: qc80012345    时间: 2007-4-11 22:52
大枕大池、蛛网膜囊肿
作者: jone-baby    时间: 2007-4-11 23:34
支持左侧中颅窝蛛网膜囊肿。
作者: swyyy2007    时间: 2007-4-12 00:10
大枕大池,左外侧裂池蛛网膜囊肿
作者: 新页    时间: 2007-4-12 00:54
大枕大池,左外侧裂池蛛网膜囊肿
作者: jinning    时间: 2007-4-12 01:13
大枕大池、蛛网膜囊肿
作者: 观世音    时间: 2007-4-12 01:34
标题: 回复:[原创]颅脑ct平扫
以下是引用卜一在2007-4-11 14:26:00的发言:[br][br] 大枕大池、左侧外侧裂池区蛛网膜囊肿 。目前只能看到这些。[br]

作者: wqs571018    时间: 2007-4-12 01:48
大枕大池、左侧颅中窝蛛网膜囊肿.
作者: 老爱克斯    时间: 2007-4-12 01:57
最好发部位的最典型的珠网膜囊肿.
作者: 狙击手    时间: 2007-4-12 01:59
支持“天南地北”
作者: zhanglixian1985    时间: 2007-4-12 02:44
顶!楼主把ct值给出来更好了
作者: zhw974247    时间: 2007-4-12 02:57
大枕大池、左侧外侧裂池区蛛网膜囊肿 。
作者: 青莲居士    时间: 2007-4-12 03:01
大枕大池、蛛网膜囊肿
作者: 余辉    时间: 2007-4-12 03:07
支持大枕大池、左外侧裂池蛛网膜囊肿
作者: 拾荒者    时间: 2007-4-12 03:25
大枕大池、左侧外侧裂池区蛛网膜囊肿 。
作者: 青莲居士    时间: 2007-4-12 04:10
大枕大池、左侧外侧裂池区蛛网膜囊肿
作者: power3    时间: 2007-4-12 04:15
大枕大池、左侧外侧裂池区蛛网膜囊肿
作者: zhangyuanmr    时间: 2007-4-12 04:17
大枕大池,  蛛网膜囊肿
作者: jw-830    时间: 2007-4-12 04:23
大枕大池,左侧蛛网膜囊肿
作者: ailuanfei    时间: 2007-4-12 04:40
大枕大池、左侧外侧裂池区蛛网膜囊肿




欢迎光临 医影在线 (http://bbs.radida.com/bbs/) Powered by Discuz! X3.2