医影在线

标题: CT7610:[原创]右上纵隔还是肺内占位,请会诊! [打印本页]

作者: friedman    时间: 2007-4-12 06:50
标题: CT7610:[原创]右上纵隔还是肺内占位,请会诊!
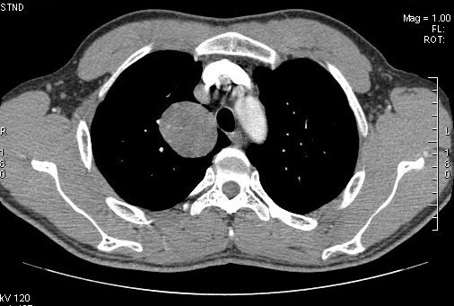
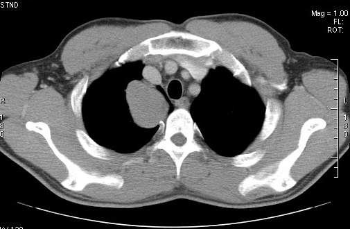
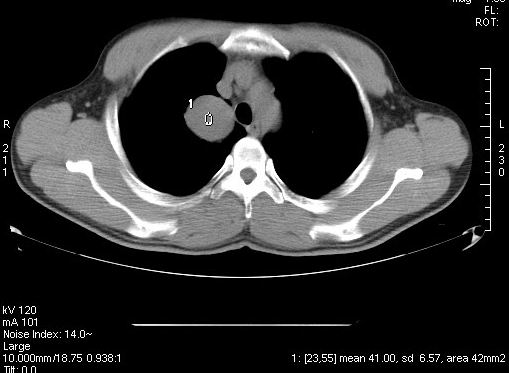
体检发现,无任何不适。
























[本贴已被 jiajie 于 2007-4-11 23:05:02 修改过]

作者: 阿木    时间: 2007-4-12 06:55
肺内
作者: 天南地北    时间: 2007-4-12 07:02
定位:肺内
定性:考虑支气管囊肿可能性大。(增强强化不明显)
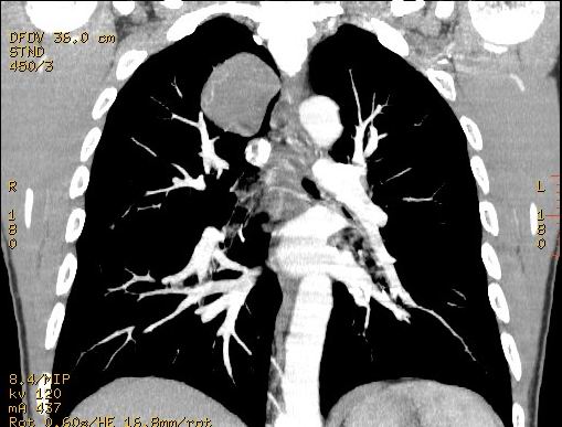
不过重建的图片上看到肿块内可见强化的血管影,不是很支持。
期待结果
作者: 王守平    时间: 2007-4-12 07:10
考虑周围型肺癌可能性大
作者: 狙击手    时间: 2007-4-12 08:12
右肺见纵隔旁见类圆形界清等密度肿块影,直径约5.0cm,增强呈不均匀强化,重建的图片上看到肿块内可见强化的血管影,考虑:1,肺腺瘤;2,肺肉瘤。
作者: qc80012345    时间: 2007-4-12 14:52
考虑支气管囊肿可能性大;肺腺瘤
作者: dyqct    时间: 2007-4-12 16:04
右肺上叶尖段内乏血管性肿瘤(腺瘤?间叶源性肿瘤?)
作者: 卜一    时间: 2007-4-12 16:31
考虑:1 先天性支气管囊肿可能性大。2 肺腺瘤。
作者: 郭凯    时间: 2007-4-12 16:37
肺内,从肿块形态和增强的结果看,还是考虑良性肿瘤,期待病理结果!
作者: fumaogui    时间: 2007-4-12 16:58
考虑来源于肺内的良性肿瘤.
作者: zsl6918    时间: 2007-4-12 16:59
肺内良性肿瘤或肿瘤样病变应该没问题!至于病理不太好说,囊肿?炎性假瘤?硬化性血管瘤?甚至错构瘤一切皆有可能!
作者: zjzjr    时间: 2007-4-12 17:04
右肺上叶尖段内乏血管性肿瘤(腺瘤?间叶源性肿瘤?)
作者: haha215315    时间: 2007-4-12 17:23
肺内的良性肿瘤.
作者: jone-baby    时间: 2007-4-12 17:27
支持良性肿瘤。肺腺瘤可能性大。
肿块内可见强化的血管影,支气管囊肿不支持。
期待结果
作者: 我爱CT-MR    时间: 2007-4-12 17:27
肺内良性肿瘤,以肺腺瘤可能性大
作者: 朱亮    时间: 2007-4-12 18:08
右肺上叶尖段腺瘤,不除外肺囊肿
作者: dddai77    时间: 2007-4-12 18:17
肺内病变,结核/炎症(炎性假瘤)不太象,首先考虑肿瘤或肿瘤样病变,恶性放前面;其次需排除肉芽肿类病变
作者: qingyuan    时间: 2007-4-12 19:13
肺内肿块、从轴位像看具备了良性肿块的特点;而重建图像有强化、浅分叶,恶性病变亦不能出外。期待结果。
作者: 苯小孩    时间: 2007-4-12 19:43
右上肺尖段间叶来源性肿瘤,考虑良性.建议必要穿刺活检.
作者: jinning    时间: 2007-4-12 20:08
考虑肺腺瘤
作者: zyx168    时间: 2007-4-12 20:31
考虑来源于肺内的良性肿瘤
作者: 青蛙王子A    时间: 2007-4-12 22:18
首先认为:定位于肺内,定性为良性,考虑肺腺瘤可能性较大。
作者: liuyue    时间: 2007-4-12 22:18
考虑来源于肺内的良性肿瘤.
期待结果!
作者: 行云有影    时间: 2007-4-12 22:18
气管囊肿可能大,肺腺瘤不能除外。
作者: liuzheng_9326    时间: 2007-4-12 22:40
标题: 回复:ct7610:[原创]右上纵隔还是肺内占位,请会诊!
以下是引用青蛙王子a在2007-4-12 14:18:00的发言:[br]首先认为:定位于肺内,定性为良性,考虑肺腺瘤可能性较大。

支持
作者: jiangjing    时间: 2007-4-12 23:03
考虑    右肺上叶尖段内乏血管性肿瘤(腺瘤?间叶源性肿瘤?)
作者: 新页    时间: 2007-4-12 23:54
考虑支气管囊肿可能性大;肺腺瘤待排。
作者: sunxb1010    时间: 2007-4-13 00:57
肺内良性肿瘤,脂肪瘤?
作者: 青莲居士    时间: 2007-4-13 02:20
定位:肺内
定性:考虑支气管囊肿可能性大。(增强强化不明显)
不过重建的图片上看到肿块内可见强化的血管影,不是很支持。
期待结果
作者: LNC    时间: 2007-4-13 04:43
定位于肺内,定性为良性,考虑肺腺瘤可能性较大。
作者: 拾荒者    时间: 2007-4-13 05:32
支持:右肺上叶尖段内乏血管性肿瘤(腺瘤?间叶源性肿瘤?) ,期待结果!
作者: 宝天曼    时间: 2007-4-13 05:39
考虑来源于肺内的良性肿瘤.
作者: friedman    时间: 2007-4-13 20:40
结果过几天出来,敬请大家关注!




欢迎光临 医影在线 (http://bbs.radida.com/bbs/) Powered by Discuz! X3.2