医影在线
标题: CT7617:急急急!!!!!!!!!会诊 [打印本页]
作者: 吴艳艳 时间: 2007-4-12 21:46
标题: CT7617:急急急!!!!!!!!!会诊
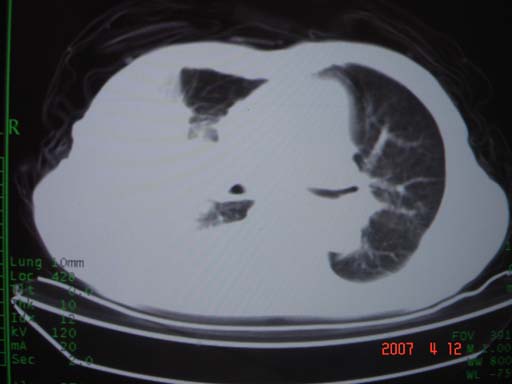
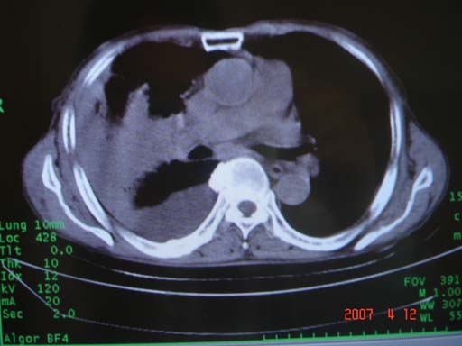
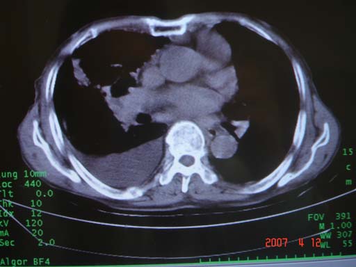
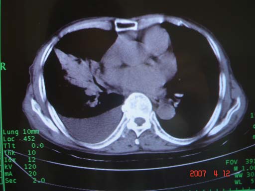
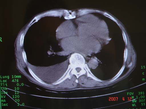
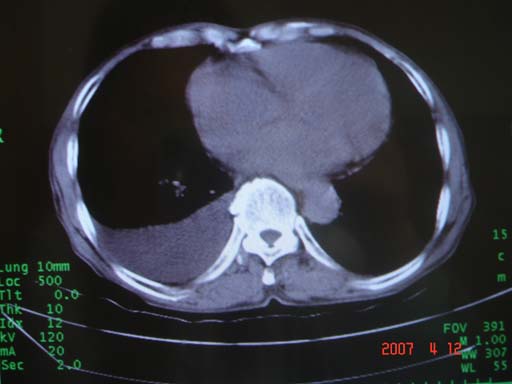
帮我 看看。男77岁咳嗽咯血2月发热2周!病人一般情况可 口痰为鲜红,有点象洗肉水(我看见他吐的痰了)





























[本贴已被 吴艳艳 于 2007-4-12 13:50:49 修改过]
[本贴已被 jiajie 于 2007-4-12 18:46:55 修改过]
作者: 嘟嘟2 时间: 2007-4-12 21:55
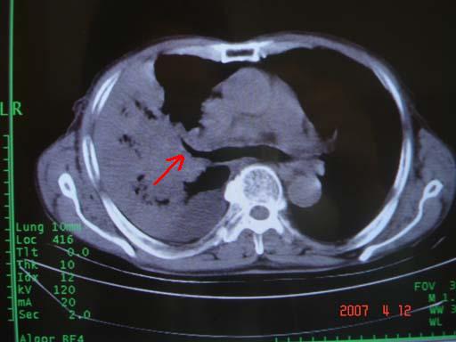
为何只有这么几幅图像?连纵隔窗都没有。但我发现上叶支气管显示不清,再加上年纪大,咯血等症状,恶性肿瘤首先得考虑。
作者: jiangjing 时间: 2007-4-12 21:55
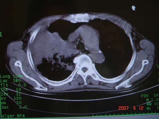
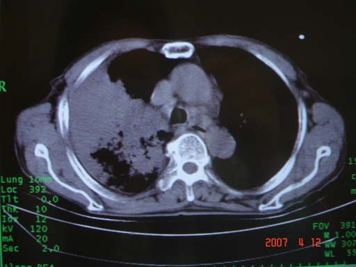
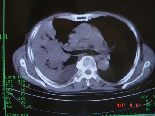
考虑右肺新生物伴右中上肺阻塞性肺炎及含气不良,右侧胸腔积液。建议痰与纤支镜检查
作者: zjzjr 时间: 2007-4-12 22:00
考虑右侧中央型肺癌伴中上肺阻塞性肺炎、不张,胸腔积液。,建议支纤镜检查。
作者: 青蛙王子A 时间: 2007-4-12 22:01
考虑:右上肺癌伴中上叶炎症,右侧胸腔积液。
作者: jinning 时间: 2007-4-12 22:02
考虑右肺新生物伴右中上肺阻塞性肺炎及含气不良,右侧胸腔积液。建议痰与纤支镜检查
作者: jone-baby 时间: 2007-4-12 22:02
1考虑中央型肺癌纵隔淋巴结转移。
2右侧胸腔积液。
作者: hhcckk 时间: 2007-4-12 22:02
应该不是什么恶性病变
病灶内可以看到支气管充气征
病人有胸水,假如是恶性胸水的病人应该有顽固性的胸痛,此病人没有提到
考虑感染性病变
大叶性肺炎需要考虑,病人有发热,血痰(大叶性肺炎的典型症状是铁锈样痰)
另外干酪性肺炎不排除,先抗炎治疗一段时间再复查吧
作者: ree66 时间: 2007-4-12 22:07
图片不太全
根据患者老年男性,右肺上叶支气管狭窄、阻塞,伴阻塞性肺炎,考虑中心型肺癌可能性大。建议支气管镜检查
作者: 天南地北 时间: 2007-4-12 22:25
应该不是什么恶性病变
病灶内可以看到支气管充气征
病人有胸水,假如是恶性胸水的病人应该有顽固性的胸痛,此病人没有提到
考虑感染性病变
大叶性肺炎需要考虑,病人有发热,血痰(大叶性肺炎的典型症状是铁锈样痰)
另外干酪性肺炎不排除,先抗炎治疗一段时间再复查吧
支持
作者: 小初学者 时间: 2007-4-12 22:30
标题: 回复:急急急!!!!!!!!!会诊
以下是引用hhcckk在2007-4-12 14:02:00的发言:[br]应该不是什么恶性病变[br]病灶内可以看到支气管充气征[br]病人有胸水,假如是恶性胸水的病人应该有顽固性的胸痛,此病人没有提到[br]考虑感染性病变[br]大叶性肺炎需要考虑,病人有发热,血痰(大叶性肺炎的典型症状是铁锈样痰)[br]另外干酪性肺炎不排除,先抗炎治疗一段时间再复查吧
作者: liuzheng_9326 时间: 2007-4-12 22:55
标题: 回复:急急急!!!!!!!!!会诊
以下是引用hhcckk在2007-4-12 14:02:00的发言:[br]应该不是什么恶性病变[br]病灶内可以看到支气管充气征[br]病人有胸水,假如是恶性胸水的病人应该有顽固性的胸痛,此病人没有提到[br]考虑感染性病变[br]大叶性肺炎需要考虑,病人有发热,血痰(大叶性肺炎的典型症状是铁锈样痰)[br]另外干酪性肺炎不排除,先抗炎治疗一段时间再复查吧
作者: 柯长存 时间: 2007-4-12 23:10
考虑为恶性肿瘤,不除外感染,抗炎 治疗后复查
作者: 新页 时间: 2007-4-12 23:16
考虑右肺新生物伴右中上肺阻塞性肺炎及含气不良,右侧胸腔积液。建议痰与纤支镜检查
作者: 卜一 时间: 2007-4-12 23:18
病灶局限在右肺中上叶,呈大片状实变影,内见空气支气管征,支气管分支较柔软,纵隔内未见肿大淋巴结.支持:感染性病变_1 大叶性肺炎.2 干酪性肺炎.
作者: yanghaochen88 时间: 2007-4-12 23:21
优先考虑右上肺干酪性肺炎并同侧中叶播散、胸腔积液。分析:右膈肌未见升高、纵隔未见明显右移,胸部各组淋巴结未见可疑肿大,中叶可见支气管铸形,肺野、肺门未见可确定肿块。
作者: 13081830109 时间: 2007-4-12 23:36
考虑右侧中央型肺癌伴中上肺阻塞性肺炎、不张,胸腔积液。,建议支纤镜检查。
作者: 朱亮 时间: 2007-4-12 23:44
年龄偏大,应考虑右肺中央型肺癌并阻塞性肺炎 阻塞性肺不张,胸腔积液
作者: dyqct 时间: 2007-4-12 23:46
支持右侧大叶性肺炎、右侧胸腔积液。建议严格抗炎治疗后复查或支气管镜检进一步检查。
作者: 国窖1573 时间: 2007-4-13 00:06
考虑右侧中心型肺癌伴中叶肺不张,右侧 胸腔积液
作者: fsz 时间: 2007-4-13 00:19
大家好!我初来乍到,是真正的新手,多指教!
单从影像学上来看,该病人应首先考虑,右上肺感染(干酪性肺炎可能大)伴有右侧胸腔积液,理由如下:
1.病灶整体成宽基底征,而未见块状影
2.病灶内的透光区并不是含气支气管征,而像是坏死的肺组织后形成的
3.无肺不张的表现
4.纵隔那未见明显肿大淋巴结
结合病史,该病人尚需作进一步检查胸水,支气管镜,查痰等
作者: ZHANGZHONGSHOU 时间: 2007-4-13 01:52
右肺上叶中心型肺癌并上叶阻塞性肺炎,中叶炎症,右侧胸腔积液
作者: md 时间: 2007-4-13 02:21
右肺上叶后段支气管中断,首先考虑中央型肺癌并右肺不张及纵隔淋巴结转移,右侧胸腔积液。
作者: 青莲居士 时间: 2007-4-13 02:47
为何只有这么几幅图像?连纵隔窗都没有。但我发现上叶支气管显示不清,再加上年纪大,咯血等症状,恶性肿瘤首先得考虑
作者: wqs571018 时间: 2007-4-13 03:13
图象不全,都有可能。
作者: zhanghua2086 时间: 2007-4-13 03:39
右肺中心型肺癌可见支气管呈鼠尾状
作者: zhang_zb 时间: 2007-4-13 03:58
考虑右侧中央型肺癌伴中上肺阻塞性肺炎、不张,淋巴结肿大,胸腔积液。,建议支纤镜检查
作者: 3351277 时间: 2007-4-13 04:03
支持干酪性肺炎的诊断
作者: 余辉 时间: 2007-4-13 04:31
有点象洗肉水的痰,其来源应当是实变引起的血细胞渗出导致,可见支气管气象,实变区有虫蚀状空洞,有明显胸腔积液,未见明显肺门区肿块影,考虑继发型肺结核,干酪性肺炎
作者: 宝天曼 时间: 2007-4-13 06:01
支持:感染性病变_1 大叶性肺炎.
2 干酪性肺炎
作者: 拾荒者 时间: 2007-4-13 06:15
标题: 回复:ct7617:急急急!!!!!!!!!会诊
以下是引用余辉在2007-4-12 20:31:00的发言:[br]有点象洗肉水的痰,其来源应当是实变引起的血细胞渗出导致,可见支气管气象,实变区有虫蚀状空洞,有明显胸腔积液,未见明显肺门区肿块影,考虑继发型肺结核,干酪性肺炎
支持!建议结合实验室检查或支气管镜检。
作者: 汪涛同志 时间: 2007-4-13 07:38
标题: 回复:ct7617:急急急!!!!!!!!!会诊


右肺上叶实变,实变范围如此之大,如果用肺癌解释的化,应该是比较大的支气管开口发生完全阻塞,但观察上叶前后段支气管还是比较通畅,所以应考虑感染性病变,大叶性肺炎可能,建议抗炎治疗后复查。
作者: qc80012345 时间: 2007-4-13 07:42
考虑右肺新生物伴右中上肺阻塞性肺炎及含气不良,右侧胸腔积液。建议痰与纤支镜检查
作者: lizhjie 时间: 2007-4-13 13:58
肺癌肋骨转移
作者: shuhuang2007 时间: 2007-4-13 17:14
考虑右中上叶大叶性肺炎,右侧胸水。抗炎治疗后复查。
| 欢迎光临 医影在线 (http://bbs.radida.com/bbs/) |
Powered by Discuz! X3.2 |