医影在线

标题: CT7623:好病例,请大家看看。 [打印本页]

作者: tao772    时间: 2007-4-13 01:47
标题: CT7623:好病例,请大家看看。
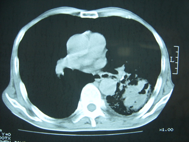
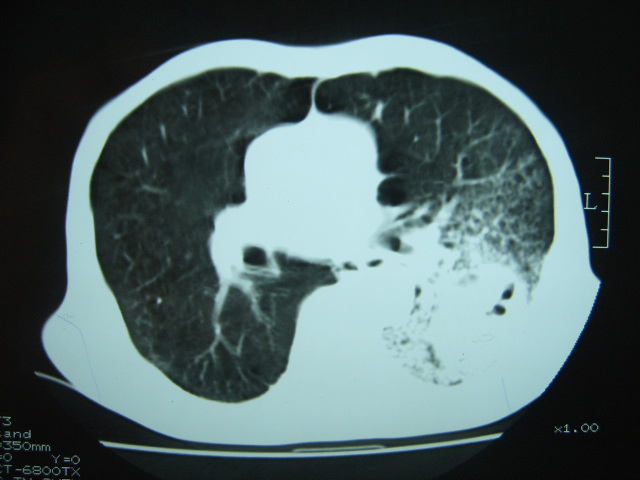
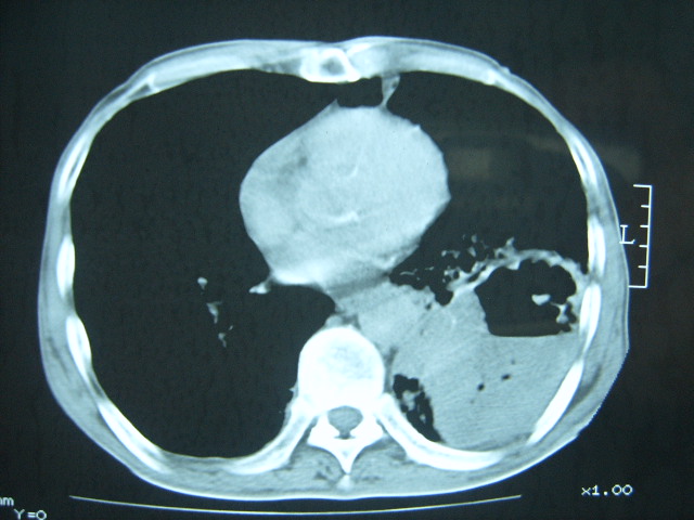
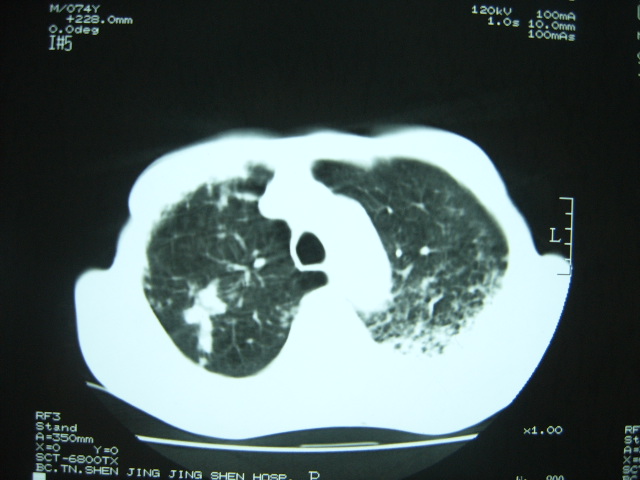
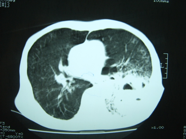
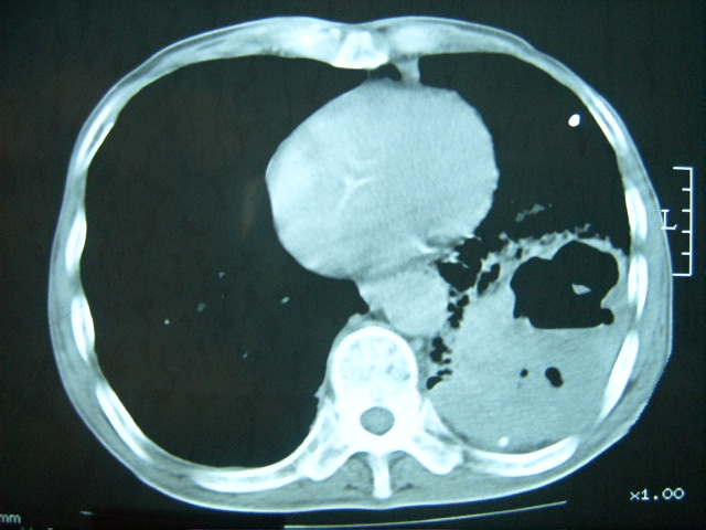
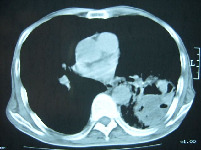
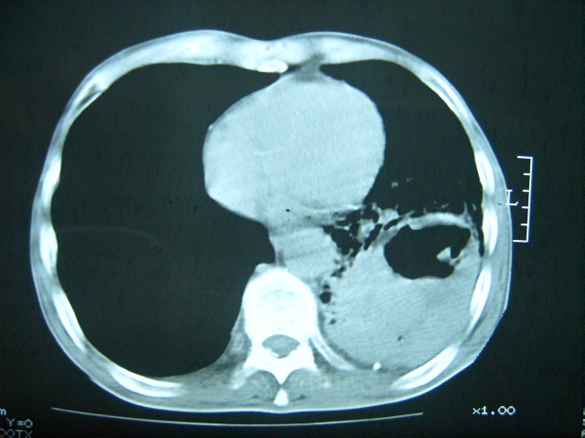
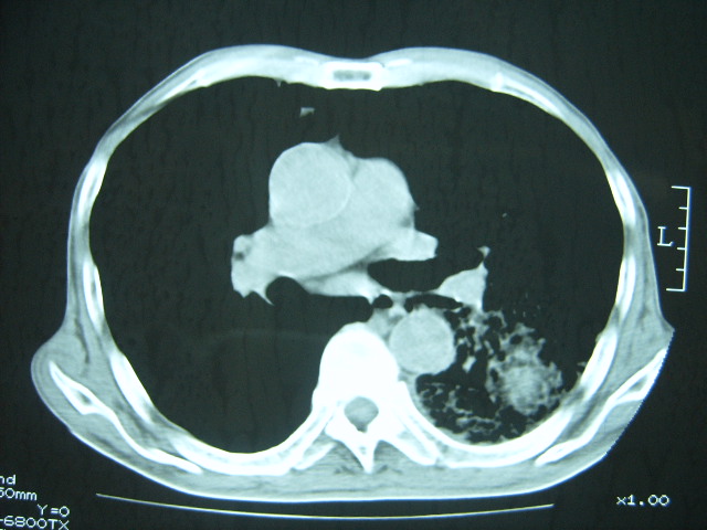
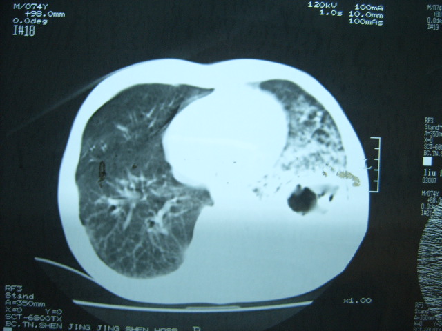
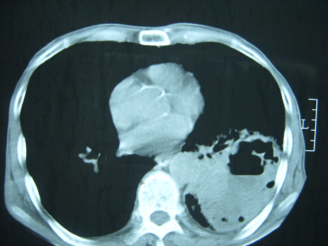
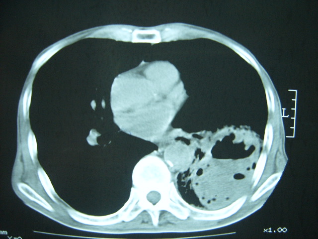
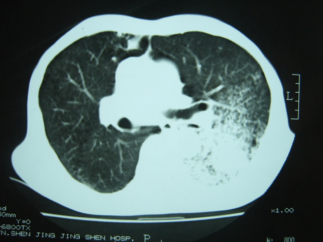
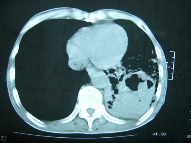
男74岁,咳嗽,寒战,低烧。有糖尿病史。





































[本贴已被 jiajie 于 2007-4-12 18:54:45 修改过]

作者: 小初学者    时间: 2007-4-13 01:53
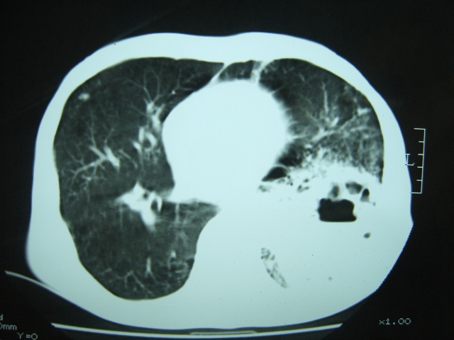
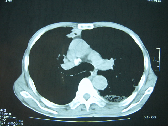
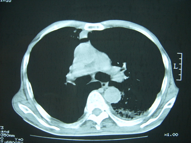
两肺结核,空洞形成,左下肺肺段隔离症待排
作者: ZHANGZHONGSHOU    时间: 2007-4-13 01:55
1、陈旧性肺结核
2、左下肺脓肿
作者: zjzjr    时间: 2007-4-13 02:01
1、陈旧性肺结核
2、左下肺脓肿
作者: dyqct    时间: 2007-4-13 02:14
考虑:1、左下肺脓肿;
      2、双肺结核。
作者: 青莲居士    时间: 2007-4-13 02:38
两肺结核,空洞形成,左下肺肺段隔离症待排
作者: jinning    时间: 2007-4-13 02:41
1、陈旧性肺结核
2、左下肺脓肿
作者: 青莲居士    时间: 2007-4-13 02:42
1、陈旧性肺结核
2、左下肺脓肿
作者: gzx521th    时间: 2007-4-13 03:09
1、陈旧性肺结核
2、左下肺脓肿
作者: 卜一    时间: 2007-4-13 03:19
考虑:1、左下肺脓肿;
      2、双肺结核。支持!
作者: zhanghua2086    时间: 2007-4-13 03:28
糖尿病并发肺脓肿建议治疗后复查
作者: 北方的狼    时间: 2007-4-13 03:30
考虑:糖尿病合并:1、左下肺炎继发肺脓肿;
                 2、双肺结核。
作者: 晓杰    时间: 2007-4-13 03:32
考虑:1、左下肺脓肿;不排除霉菌感染
      2、双肺结核。
作者: wqs571018    时间: 2007-4-13 03:53
考虑:1、左下肺脓肿;
      2、双肺结核。支持!
作者: qiuleiyu    时间: 2007-4-13 04:05
两肺慢性炎症伴脓肿形成,不除外继发霉菌感染。
作者: jone-baby    时间: 2007-4-13 04:24
考虑:1、左下肺脓肿;
      2、双肺结核。支持!
作者: 13081830109    时间: 2007-4-13 04:25
考虑:1、左下肺脓肿;
      2、双肺结核。支持!
作者: 同    时间: 2007-4-13 04:27
两肺结核  左下肺脓肿
作者: 余辉    时间: 2007-4-13 04:38
考虑:1、左下肺脓肿;
      2、双肺结核
作者: 苯小孩    时间: 2007-4-13 04:47
1、左下肺肺脓肿,合并霉菌球形成?.2、双肺陈旧性病灶.3、右上肺病灶警惕瘢痕癌,建议定期复查.
作者: xulianj    时间: 2007-4-13 04:59
两肺结核,左下肺空洞性病变,结核性?炎性?癌性?抗炎治疗后复查。
作者: 宝天曼    时间: 2007-4-13 05:27
1、陈旧性肺结核
2、左下肺脓肿
作者: szdszc    时间: 2007-4-13 05:30
1.双肺结核
2.左下肺脓肿
作者: weijing    时间: 2007-4-13 06:35
考虑:1、左下肺脓肿;
      2、双肺结核。支持
作者: qc80012345    时间: 2007-4-13 07:50
1、陈旧性肺结核
2、左下肺脓肿
作者: JW-830    时间: 2007-4-13 18:08
考虑1、双肺结核2、左下肺脓肿
作者: 心愿    时间: 2007-4-13 18:25
考虑:1、左下肺脓肿;
      2、双肺结核。
作者: 拾荒者    时间: 2007-4-14 03:59
两肺结核,左下肺大片实变,内见空洞性病变,壁不规则,结合糖尿病史,考虑:结核性?霉菌性?建议结合实验室检查或治疗后复查。




欢迎光临 医影在线 (http://bbs.radida.com/bbs/) Powered by Discuz! X3.2