医影在线

标题: CT7628:[原创]二例盆腔病变! [打印本页]

作者: 郭凯    时间: 2007-4-13 02:03
标题: CT7628:[原创]二例盆腔病变!
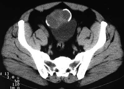
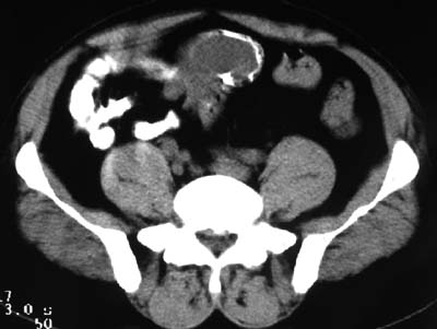
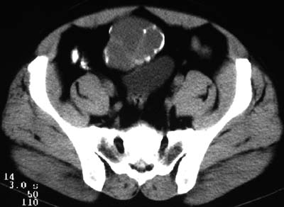
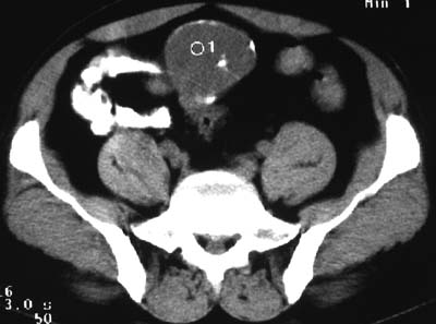
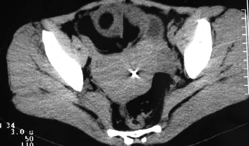
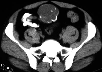
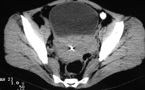
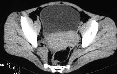
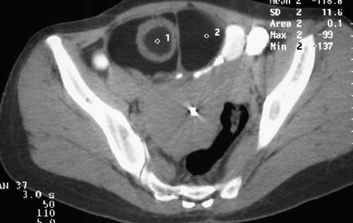
一、女,43岁,下腹部不适,子宫增大并可触及一硬物,活动度大。







二、男,55岁,排尿困难两年,b超示盆腔不均质包块,ct值约27hu.







[本贴已被 jiajie 于 2007-4-12 18:59:34 修改过]

作者: dyqct    时间: 2007-4-13 02:28
典型的盆腔畸胎瘤。
作者: 青莲居士    时间: 2007-4-13 02:29
是旁黄ca吧
作者: jinning    时间: 2007-4-13 02:48
典型的盆腔畸胎瘤。
作者: wqs571018    时间: 2007-4-13 02:50
病例1、盆腔畸胎瘤。病例2、盆腔占位压迫膀胱?还是膀胱占位?强化吧!
作者: gzx521th    时间: 2007-4-13 02:55
盆腔畸胎瘤
作者: 余辉    时间: 2007-4-13 03:11
病例1、盆腔畸胎瘤。病例2、盆腔占位压迫膀胱?还是膀胱占位?强化吧!可能是肠道来源的囊腺瘤
作者: wangzhanshuang    时间: 2007-4-13 03:12
盆腔畸胎瘤
作者: czbiao    时间: 2007-4-13 03:19
支持盆腔畸胎瘤,只是第二例看上去有两部分,右侧部分类似下垂的肾自截,补扫或b超以确定右正常肾是否存在。
作者: 国窖1573    时间: 2007-4-13 03:20
1盆腔畸胎瘤典型,2  膀胱后壁与子宫界限不清,病人年龄43岁,子宫体积增大,建议强化
作者: czbiao    时间: 2007-4-13 03:20
支持盆腔畸胎瘤,只是第二例看上去有两部分,右侧部分类似下垂的肾自截,补扫或b超以确定右正常肾是否存在。
作者: 苯小孩    时间: 2007-4-13 03:21
病例1、盆腔畸胎瘤。病例2、盆腔占位,肠道来源的囊腺瘤可能.建议强化扫描.
作者: dyqct    时间: 2007-4-13 03:25
第二例可能为脐尿管肿瘤。
作者: zhanghua2086    时间: 2007-4-13 03:25
支持楼上
作者: 卜一    时间: 2007-4-13 03:27
典型的盆腔畸胎瘤伴子宫肌瘤。
作者: 曾宇来    时间: 2007-4-13 03:40
例1:畸胎瘤;
例2:盆腔占位,肿块密度欠均匀,其内有钙化影,其边界清晰,膀胱前上壁受压,膀胱壁尚清晰,考虑为不典型畸胎瘤压迫膀胱可能,建议增强扫描吧。
作者: ailuanfei    时间: 2007-4-13 03:56
盆腔畸胎瘤
作者: qiuleiyu    时间: 2007-4-13 03:58
病例1;畸胎瘤,子宫肌瘤。病例2,与膀胱关系密切,脐尿管癌?
作者: 3351277    时间: 2007-4-13 04:00
盆腔畸胎瘤典型
作者: zhangyuanmr    时间: 2007-4-13 04:12
盆腔畸胎瘤,但子宫增大与旁胱分界不清,建议增强吧
作者: xulianj    时间: 2007-4-13 04:30
支持盆腔畸胎瘤
作者: 13081830109    时间: 2007-4-13 04:33
盆腔畸胎瘤
作者: szdszc    时间: 2007-4-13 04:42
1.盆腔畸胎瘤
2.考虑脐尿管肿瘤
作者: 天山影士    时间: 2007-4-13 05:07
盆腔畸胎瘤.
作者: zsl6918    时间: 2007-4-13 05:32
标题: 回复:ct7628:[原创]二例盆腔病变!
以下是引用szdszc在2007-4-12 20:42:00的发言:[br]1.盆腔畸胎瘤 [br]2.考虑脐尿管肿瘤

作者: 宝天曼    时间: 2007-4-13 05:35
支持盆腔畸胎瘤,
作者: 同    时间: 2007-4-13 05:39
盆腔畸胎瘤支持
作者: weijing    时间: 2007-4-13 06:03
1.盆腔畸胎瘤
2.考虑脐尿管肿瘤
作者: 天南地北    时间: 2007-4-13 06:03
盆腔畸胎瘤支持
作者: 文莱    时间: 2007-4-13 06:13
病理1.盆腔畸胎瘤和并子宫肌瘤
病理2盆腔畸胎瘤
作者: 顺心    时间: 2007-4-13 06:30
盆腔畸胎瘤典型,2  膀胱后壁与子宫界限不清,病人年龄43岁,子宫体积增大,建议强化
作者: zjzjr    时间: 2007-4-13 07:16
1典型盆腔畸胎瘤.2考虑脐尿管类肿瘤,建议增强扫描.
作者: jiangjing    时间: 2007-4-13 08:06
1盆腔畸胎瘤典型. 2子宫肌瘤可能性大
作者: 狙击手    时间: 2007-4-13 08:27
病例1、盆腔畸胎瘤,子宫体积增大,子宫肌瘤?病例2,囊腺瘤?
作者: 拾荒者    时间: 2007-4-13 10:51
病例1,盆腔畸胎瘤并子宫肌瘤;病例2,囊性肿块,周围有壳状钙化,膀胱受压改变,考虑:脐尿管囊肿并感染,畸胎瘤?
作者: liuyue    时间: 2007-4-13 15:47
1盆腔畸胎瘤伴子宫肌瘤2 第二例可能为脐尿管肿瘤。
作者: haha215315    时间: 2007-4-13 16:47
盆腔畸胎瘤
作者: jw-830    时间: 2007-4-13 17:01
考虑盆腔内畸胎瘤,子宫体积增大,建议增强扫描除外子宫病变
作者: shuhuang2007    时间: 2007-4-13 17:29
畸胎瘤可能性大。
作者: zhw974247    时间: 2007-4-13 17:32
盆腔畸胎瘤




欢迎光临 医影在线 (http://bbs.radida.com/bbs/) Powered by Discuz! X3.2