医影在线

标题: CT7637:[讨论]肺CT [打印本页]

作者: lihuuuu    时间: 2007-4-13 18:20
标题: CT7637:[讨论]肺CT
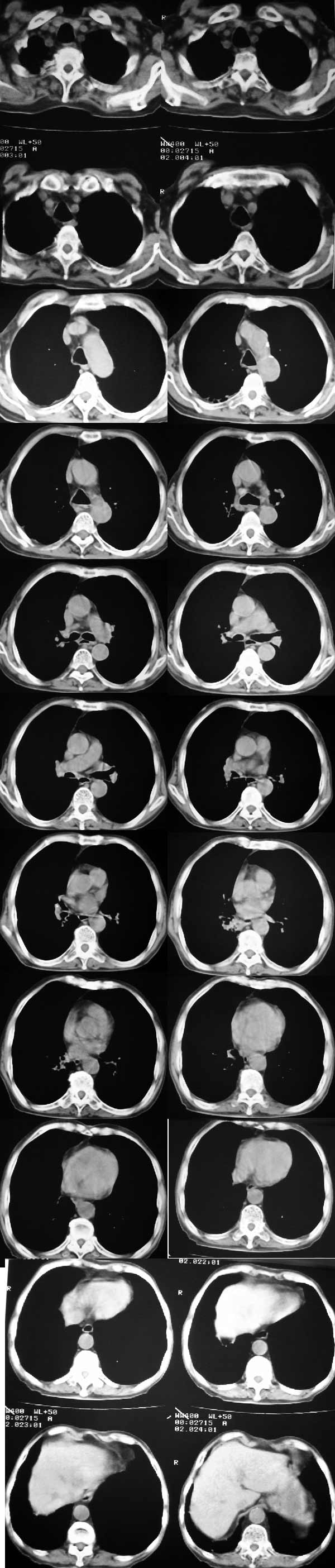
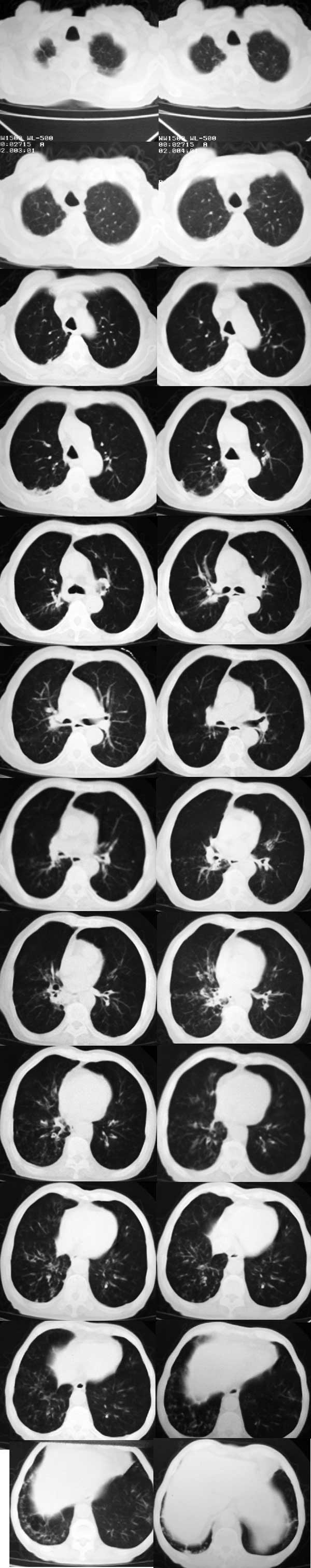
男 83  咳嗽 吐大量白色泡沫样痰 低热 间断性消炎治疗3-4个月





[本贴已被 jiajie 于 2007-4-13 15:05:16 修改过]

作者: zjzjr    时间: 2007-4-13 19:04
慢性支气管炎、肺气肿,部分间质纤维化。右侧局限性胸膜肥厚。
作者: 卜一    时间: 2007-4-13 19:45
右肺下叶沿着支气管根部见不规则软组织密度影,支气管壁不规则增厚,增强轻度强化.患者年龄偏大,结合临床:多考虑:支气管内膜癌.
作者: 王守平    时间: 2007-4-13 20:30
支持2楼意见
作者: 晓杰    时间: 2007-4-13 20:33
慢性支气管炎、肺气肿,部分间质纤维化。右侧局限性胸膜肥厚。支持
作者: 天南地北    时间: 2007-4-13 20:37
标题: 回复:[讨论]肺ct
以下是引用zjzjr在2007-4-13 11:04:00的发言:[br]慢性支气管炎、肺气肿,部分间质纤维化。右侧局限性胸膜肥厚。

支持
还是先抗炎治疗后复查、
作者: xclzq_910    时间: 2007-4-13 20:42
1\\右肺中叶感染,
2\\右肺下叶间质纤维化
3\\肺气肿
4\\右侧肺门现在不是很肯定有肿块,可以随访或纤支镜
作者: 朱亮    时间: 2007-4-13 20:44
满枝肺气肿
作者: xujianchang    时间: 2007-4-13 20:49
慢性支气管炎、肺气肿,右下肺感染.建议复查.
作者: jinning    时间: 2007-4-13 21:10
慢性支气管炎、肺气肿,部分间质纤维化。右侧局限性胸膜肥厚。支持
作者: baixiongjun    时间: 2007-4-13 21:15
右肺间质性肺炎伴慢支肺气肿。
作者: jinguoji    时间: 2007-4-13 21:21
支持慢性支气管炎、肺气肿,部分间质纤维化。右侧局限性胸膜肥厚。
作者: gaozhengyi    时间: 2007-4-13 22:47
右中下肺及上叶后段可见肺纹理增粗,支气管血管束增粗,支气管分支可见轻度扩张,间杂有斑片状高密度影,可见“树芽征”,右侧肺门区似见胸膜粘连,纵隔内未见明显肿大淋巴结影。综上所见,应该首先考虑慢性支气管疾患并细支气管炎症,建议根据痰培养和药敏试验合理用药,红霉素对细支气管炎的治疗应为首选。
作者: swyyy2007    时间: 2007-4-13 22:55
右肺下叶沿着支气管根部见不规则软组织密度影,支气管壁不规则增厚,增强轻度强化.患者年龄偏大,结合临床:多考虑:支气管内膜癌.病人已经抗炎治疗4个月了,再抗炎治疗也是这样。
作者: jiajie    时间: 2007-4-13 23:11
标题: 回复:ct7637:[讨论]肺ct

作者: JW-830    时间: 2007-4-13 23:37
慢性支气管炎、肺气肿,部分间质纤维化。右侧局限性胸膜肥厚。  
   

z
作者: 狙击手    时间: 2007-4-13 23:43
支持:慢性支气管炎、肺气肿,右下肺感染.建议复查。
作者: 鱼生片    时间: 2007-4-14 00:31
慢性支气管炎、肺气肿,部分间质纤维化。右侧局限性胸膜肥厚。
作者: whz1765    时间: 2007-4-14 00:39
慢性支气管炎、肺气肿,部分间质纤维化。右侧局限性胸膜肥厚。
作者: 余辉    时间: 2007-4-14 00:39
慢性支气管炎、肺气肿,部分间质纤维化。右侧局限性胸膜肥厚。支持
图示病灶可能为慢性间质性肺炎部分机化
作者: 拾荒者    时间: 2007-4-14 05:40
慢性支气管炎、肺气肿,部分间质纤维化。右侧局限性胸膜肥厚。  
支持,楼主所指部位不能排除占位,建议随访复查或支气管镜检。
作者: 青莲居士    时间: 2007-4-14 05:59
1\\右肺中叶感染,
2\\右肺下叶间质纤维化
3\\肺气肿
4\\右侧肺门现在不是很肯定有肿块,可以随访或纤支镜
作者: 牟言科    时间: 2007-4-14 06:20
1、右肺感染性病变;
2、右肺间质纤维化;
3、肺气肿;
4、符合右下肺支气管扩张;
5、纵隔淋巴结肿大;
6、右侧肺门气食隐窝处似有不规则肿块,内密度不均,可以随访或纤支镜检查除外肿瘤。
作者: 翁志蓬    时间: 2007-4-14 10:01
双肺体积增大,透亮度增高,肺纹理稀疏。右肺中叶及下叶散在小片絮状稍高密度影。右肺下叶各段及细支气管均可见轻度扩张,且管壁增厚。右侧肋胸膜局限性增厚,形态不规则。
考虑:1、右肺中叶、下叶间质性炎性改变。
2、右侧局限性胸膜炎。
3、慢性支气管炎、肺气肿。
作者: 宝天曼    时间: 2007-4-14 14:56
慢性支气管炎、
肺气肿,部分间质纤维化。
右侧局限性胸膜肥厚。
作者: ZHANGZHONGSHOU    时间: 2007-4-14 15:05
1、慢性支气管炎,肺气肿。
2、部分间质纤维化,考虑为慢性支气管炎改变。
3、右肺下叶背段慢性炎症为主。




欢迎光临 医影在线 (http://bbs.radida.com/bbs/) Powered by Discuz! X3.2