


























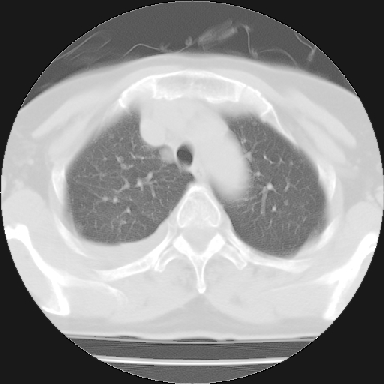
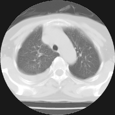
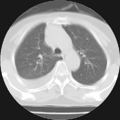
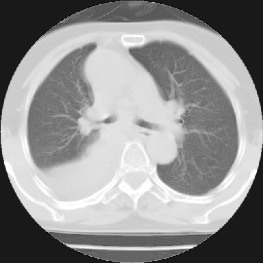
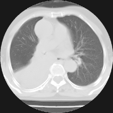
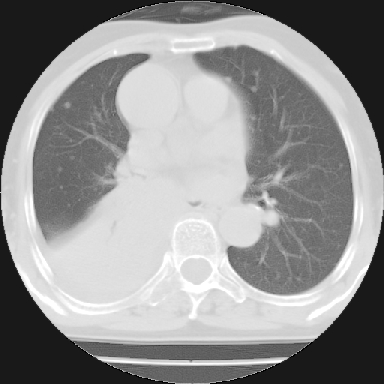
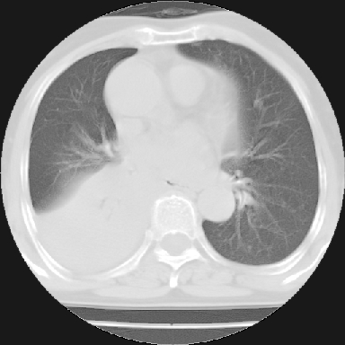
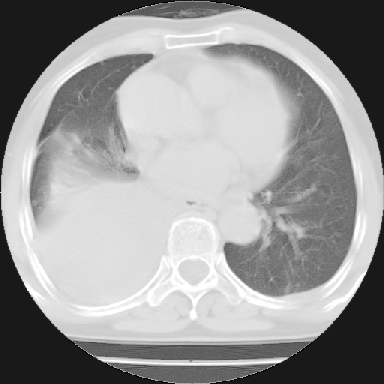
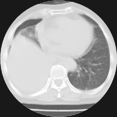
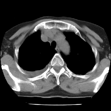
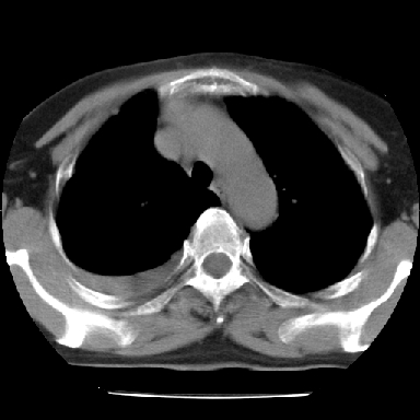
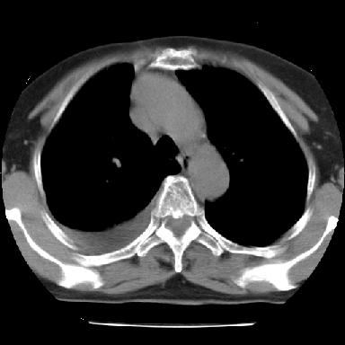
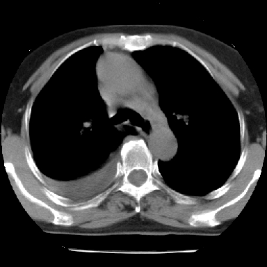
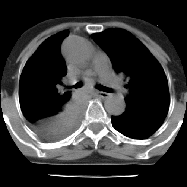
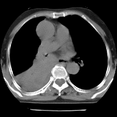
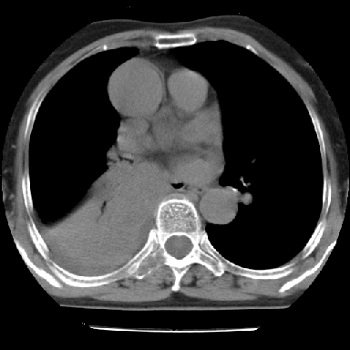
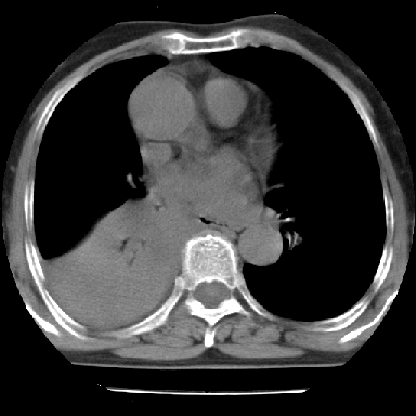
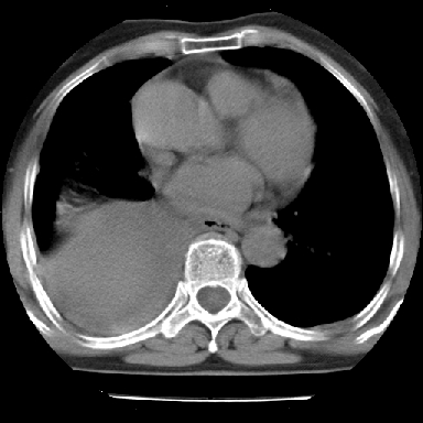
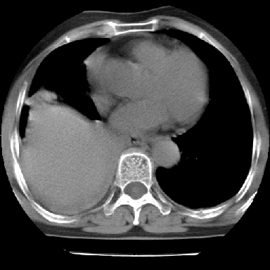
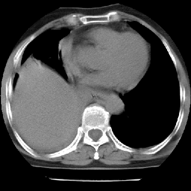
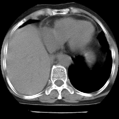
以下是引用苯小孩在2007-4-13 16:20:00的发言:[br]1、右下肺中央型肺癌并阻塞性肺不张、肺内转移、胸椎右侧附件亦有转移<横断层面第8层>.[br]2、右侧胸腔积液.
以下是引用苯小孩在2007-4-13 16:20:00的发言:[br]1、右下肺中央型肺癌并阻塞性肺不张、肺内转移、胸椎右侧附件亦有转移<横断层面第8层>.[br]2、右侧胸腔积液.
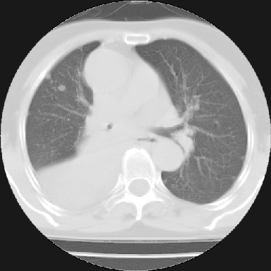
以下是引用swyyy2007在2007-4-13 15:31:00的发言:[br]右肺门下区肿块,右肺下叶支气管阻塞,右肺下叶不张,右侧大量胸腔积液,右肺中叶见结节状高密度影,边缘清,纵隔内见肿大淋巴结。首先考虑右下肺中心型肺癌伴右肺下叶不张、中叶、纵隔淋巴结转移。右侧胸腔积液。
| 欢迎光临 医影在线 (http://bbs.radida.com/bbs/) | Powered by Discuz! X3.2 |