医影在线

标题: CT7670:老年男性患者 胸部平扫 [打印本页]

作者: 我爱CT-MR    时间: 2007-4-14 23:58
标题: CT7670:老年男性患者 胸部平扫
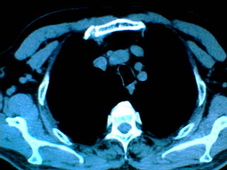
老年男性患者,右侧胸疼1月余(不是左侧),无其他症状













[本贴已被 jiajie 于 2007-5-18 10:45:36 修改过]

作者: zxczxc    时间: 2007-4-15 00:01
左肺脓肿?
作者: 狙击手    时间: 2007-4-15 00:10
左肺外周类圆形病灶,其内低密度,可见液平及气影,周围肺文理见渗出样变,考虑左肺外周带肺脓肿。
作者: ZHANGZHONGSHOU    时间: 2007-4-15 00:13
左肺囊肿可能性大,脓肿可能性小
作者: zhang2007    时间: 2007-4-15 01:20
考虑左肺气液囊肿
作者: 天南地北    时间: 2007-4-15 01:53
支持:左肺囊肿合并积液。
作者: 陈医生123    时间: 2007-4-15 01:59
考虑左肺脓肿
作者: zjzjr    时间: 2007-4-15 02:01
支持肺囊肿,液体含量多,可能与支气管不通.右侧胸膜局限性肥厚,可能是导致痛的原因.
作者: jinning    时间: 2007-4-15 04:09
支持肺囊肿,
作者: jian-5587    时间: 2007-4-15 04:39
支持肺囊肿,右侧胸膜肥厚粘连钙化.
作者: 汪涛同志    时间: 2007-4-15 05:22
标题: 回复:ct7670:老年男性患者 胸部平扫
以下是引用zhangzhongshou在2007-4-14 16:13:00的发言:[br]左肺囊肿可能性大,脓肿可能性小

支持!气液囊肿。
作者: hjg1980    时间: 2007-4-15 05:22
支持肺囊肿,从病史来讲,也比较支持
作者: 宝天曼    时间: 2007-4-15 07:30
支持:左肺囊肿合并积液。
作者: 拾荒者    时间: 2007-4-15 20:03
左肺舌叶胸膜下卵圆形囊性肿块,内有液-气平面,邻近胸膜无增厚,没有肺窗,周围情况显示不清,考虑胸膜下肺囊肿并感染,病人年龄较大,有胸痛应警惕其他,但神经源性肿瘤暂不考虑。
作者: 文芳    时间: 2007-4-15 23:44
肺气囊肿
作者: yscao    时间: 2007-6-10 07:56
结核史 囊肿脓肿 为什么不可能是tb呢
作者: 黄玉龙    时间: 2007-6-10 18:55
左肺囊肿合并积液
作者: 青莲居士    时间: 2007-6-10 21:46
支持肺囊肿,液体含量多,可能与支气管不通.右侧胸膜局限性肥厚,可能是导致痛的原因.




欢迎光临 医影在线 (http://bbs.radida.com/bbs/) Powered by Discuz! X3.2