医影在线

标题: CT7676:男,76,反复咳血, [打印本页]

作者: 狙击手    时间: 2007-4-15 03:15
标题: CT7676:男,76,反复咳血,
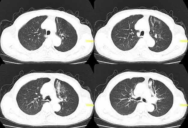
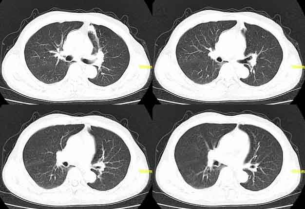
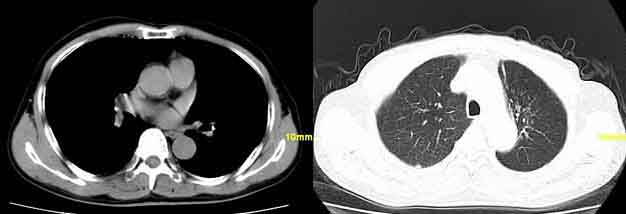
患者,男,76,反复咳血,余病史不详。









[本贴已被 jiajie 于 2007-5-18 10:37:21 修改过]

作者: xclzq_910    时间: 2007-4-15 03:20
左肺上叶相当于前段可见条片状模糊影,,部分呈结节状实变,相应肺门好象显示尚可,上叶支气管阻塞不明显.考虑结核,建议治疗后复查或纤支镜检查
作者: 向往天空    时间: 2007-4-15 03:31
左肺舌叶上舌段见片絮状密度增高影及索条影,索条影与前壁胸膜相连,考虑炎症所致,建议抗炎治疗后复查。
作者: ZHANGZHONGSHOU    时间: 2007-4-15 03:31
左上叶前段炎症,未见其他异常
作者: liuzheng_9326    时间: 2007-4-15 03:45
与ct7079有相似  
见:http://www.radida.com/radinet/read.php?tid=21815
作者: jian-5587    时间: 2007-4-15 04:18
考虑感染性病变,以炎性改变可能性大,
作者: jinning    时间: 2007-4-15 04:44
左上叶前段炎症,未见其他异常
作者: 念羊经    时间: 2007-4-15 04:48
要考虑阻塞性肺炎,第二幅肺部图象舌叶似乎有阻塞性肺气肿,建议一月后复查
作者: 同    时间: 2007-4-15 05:14
支持左上叶前段炎症
作者: shiqingfa    时间: 2007-4-15 05:14
考虑感染性病变,以炎性改变可能性大
作者: hjg1980    时间: 2007-4-15 05:27
同样是渗出性病灶,如何区分结核还是炎症?请各位师兄指教.
作者: liuqiang    时间: 2007-4-15 05:43
拟;左上肺结核。
因为;纵隔窗内见钙化影,病灶呈条索样,并且病人反复咳血,所以考虑结核。
作者: xulianj    时间: 2007-4-15 05:44
左肺上叶前段炎症,抗炎治疗后复查。
作者: 天南地北    时间: 2007-4-15 06:26
考虑感染性病变,以炎性改变可能性大,抗炎治疗后复查。
作者: zjzjr    时间: 2007-4-15 06:45
左肺上叶前段感染,建议抗炎治疗后复查.
作者: 宝天曼    时间: 2007-4-15 06:50
考虑感染性病变,以炎性改变可能性大,
建议抗炎后复查
作者: jinguoji    时间: 2007-4-15 08:00
支持左上叶前段炎症,抗炎治疗后复查。
作者: 卜一    时间: 2007-4-15 13:29
左上叶前段炎症,未见其他异常。支持!!!
作者: liuyue    时间: 2007-4-15 15:42
支持左上叶前段炎症,建议:治疗后复查或支气管镜检查
作者: ailuanfei    时间: 2007-4-15 17:03
考虑感染性病变,以炎性改变可能性大
作者: 心愿    时间: 2007-4-15 18:55
考虑感染性病变,以炎性改变可能性大,建议抗炎后复查。
作者: 拾荒者    时间: 2007-4-16 03:12
左肺上叶前段片絮状模糊影,考虑感染性病变,以炎性改变可能性大,建议抗炎后复查或进一步结合实验室检查,毕竟病人有咯血史,应引起重视。
作者: yscao    时间: 2007-6-10 08:03
支扩咯血和肿瘤咯血有啥不一样呢
先带冒
作者: yscao    时间: 2007-6-10 08:06
咯血强烈提示肿瘤
作者: 黄玉龙    时间: 2007-6-10 18:50
考虑结核,建议治疗后复查或纤支镜检查
作者: 青莲居士    时间: 2007-6-10 21:34
左肺舌叶上舌段见片絮状密度增高影及索条影,索条影与前壁胸膜相连,考虑炎症所致,建议抗炎治疗后复查




欢迎光临 医影在线 (http://bbs.radida.com/bbs/) Powered by Discuz! X3.2