医影在线

标题: DSA0091:肱动脉支架 [打印本页]

作者: jiajie    时间: 2007-4-16 02:45
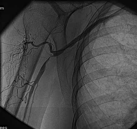
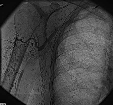
标题: DSA0091:肱动脉支架
女,66岁,右上肢无力.









[本贴已被 jiajie 于 2007-4-15 18:46:33 修改过]

作者: 影象学习者    时间: 2007-4-16 03:43
馆主不错,图象清晰,栓塞处显示很清晰
作者: jinguoji    时间: 2007-4-16 23:04
学习了!谢谢!
作者: 念羊经    时间: 2007-4-17 04:36
图象清晰,做的很漂亮
作者: liuxin007    时间: 2007-4-24 07:00
漂亮
作者: jssqcdm    时间: 2007-4-25 06:33
漂亮
作者: drzhang8888    时间: 2007-6-1 06:59
学习




欢迎光临 医影在线 (http://bbs.radida.com/bbs/) Powered by Discuz! X3.2