医影在线

标题: CT0825:头部 [求助] [打印本页]

作者: lanfenglin    时间: 2004-12-7 00:29
标题: CT0825:头部 [求助]
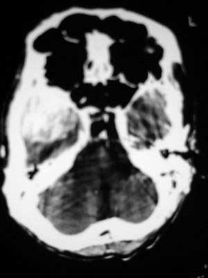
头痛头晕,摔倒两次,肌力基本正常,双手脚颤抖。肺结核。骨窗未见骨质异常。





[本贴已被 jiajie 于 2004-12-6 16:39:45 修改过]

作者: jiajie    时间: 2004-12-7 01:22
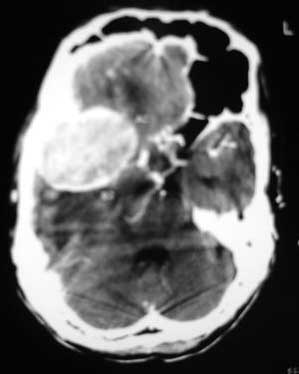
颅底类圆形肿块,

边缘光整,

强化明显,

考虑脑膜瘤。
作者: wxy7406    时间: 2004-12-7 01:36
脑膜瘤可能性大,强化明显,水肿少[emb6]
作者: yml123    时间: 2004-12-7 02:36
[emb6]脑膜瘤
作者: SQZ-163    时间: 2004-12-7 02:43
请把图象发完。
作者: lanfenglin    时间: 2004-12-7 03:03
抱歉!刚才图片发漏了,补充说明吧!
水肿非常明显,侧脑室左移非常明显,平扫病灶稍高密度。
问题在于症状不明显,而ct表现明显,是否应考虑胶质瘤(3-4级)?
作者: 阿圣    时间: 2004-12-7 03:08
肿瘤位于中颅窝,宽基底与颞骨或蝶骨大翼相连,平扫呈稍高密度,增强后均匀明显强化,肿瘤周围水肿明显,中线结构移位。我认为是脑膜瘤,其压迫大脑中浅静脉,导致静脉回流受阻,引起阻塞性脑水肿。
作者: lnhsdm    时间: 2004-12-7 03:19
肿快具备脑外肿瘤的特征,且明显均匀强化,中颅凹脑膜瘤!
作者: liujk2003    时间: 2004-12-7 03:22
脑膜瘤
作者: liu.hui.yang    时间: 2004-12-7 03:23
标题: 回复:ct825:头部 [求助]
以下是引用阿圣在2004-12-6 19:08:08的发言:[br]肿瘤位于中颅窝,宽基底与颞骨或蝶骨大翼相连,平扫呈稍高密度,增强后均匀明显强化,肿瘤周围水肿明显,中线结构移位。我认为是脑膜瘤,其压迫大脑中浅静脉,导致静脉回流受阻,引起阻塞性脑水肿。

[emb6]
作者: chenxin    时间: 2004-12-7 03:25
[emb6]
作者: m71094h    时间: 2004-12-7 03:38
脑外肿瘤可能性大,脑膜瘤不除外。
作者: 克山    时间: 2004-12-7 04:13
请上传平扫和骨窗。
作者: ssm999    时间: 2004-12-7 04:21
没有骨窗、没有x光平片,不敢乱猜。
作者: 城城    时间: 2004-12-7 04:36
支持中颅窝脑膜瘤
作者: WANGXIECHEN    时间: 2004-12-7 05:08
尽管资料不全,不过还是脑膜瘤可能
作者: 明礼诚信    时间: 2004-12-7 05:23
脑膜瘤,没错
作者: hanxin    时间: 2004-12-7 05:57
[emb6]脑膜瘤
作者: 陈静荣    时间: 2004-12-7 06:11
支持脑膜瘤。
作者: hebeislj    时间: 2004-12-7 16:55
脑膜瘤
作者: 权世辉    时间: 2004-12-7 17:16
[emb6]脑膜瘤   请把图象发完>
作者: 雷永彦    时间: 2004-12-7 18:56
[emb6]
作者: qiuazhang    时间: 2004-12-7 22:47
颅底类圆形肿块,

边缘光整,

强化明显,

考虑脑膜瘤
请上传骨窗,有否颅骨增厚
作者: hejie    时间: 2004-12-8 00:04
考虑脑膜瘤。
作者: aomeilazuo    时间: 2004-12-8 03:33
脑膜瘤----独一无二的诊断
作者: 王大夫    时间: 2004-12-8 05:07
[emb6]
作者: guduchunmeng    时间: 2004-12-8 05:21
[emb6]
作者: 大鹏    时间: 2004-12-8 05:28
[emb6]2楼.
作者: az3930    时间: 2004-12-8 07:08
就这两张片?可以下结论?瞎扯!![emb10][emb11]
作者: 阿圣    时间: 2004-12-8 21:59
做手术吧,术后病理结果会证明是啥?
作者: 张    时间: 2004-12-9 02:33
肿块好像与颞骨相接,右侧颞骨增厚,考虑为颞骨脑膜瘤[emb6]
作者: 宁静致远    时间: 2004-12-9 02:40
脑膜瘤[emb6]
作者: menqing    时间: 2004-12-9 04:00
肿块符合脑外肿瘤的特点,明显强化。局部骨质有增厚。考虑是脑膜瘤。
作者: 曼一拍    时间: 2004-12-9 05:24
右颅中窝相当于颞下回位置类圆形肿块,明显强化,厚壁,钙化?所见图层周围水肿不明显。为何不完整上传图像?
不支持脑膜瘤的地方是:骨窗未见骨改变(为何不上传?),厚壁,象是钙化。
作者: liuxin007    时间: 2004-12-9 18:39
还是请把图片上传完整
作者: yjdthankyou    时间: 2004-12-9 18:45
阿圣分析的很透彻,特别是对水肿形成原因的分析,怕是好多人都想不到,[emb6],如果是脑膜瘤颅骨应该有改变,请传骨窗。
作者: 水滴医生    时间: 2004-12-11 07:13
右侧中颅窝见类圆形的密度增高影(大小待定),增强后均匀明显强化,肿块周围环绕低密度的水肿带,脑中线移位。脑膜瘤可能性大,胶质瘤不能除外;脑水肿。
作者: 黄恩辉    时间: 2004-12-11 07:18
[emb6]脑膜瘤
作者: zryh    时间: 2004-12-11 21:52
支持中颅窝脑膜瘤
作者: you8000    时间: 2004-12-11 22:07
哈哈    脑膜瘤
作者: lylbc    时间: 2004-12-13 05:22
脑膜瘤
作者: madong0    时间: 2004-12-13 21:18
[emb6]
作者: doc张    时间: 2004-12-14 02:28
脑膜瘤。
作者: 阿明    时间: 2004-12-14 03:18
[emb6]脑膜瘤
作者: dr.yang    时间: 2011-8-20 22:07
标题: Re:CT0825:头部  [求助]
肿瘤位于中颅窝,宽基底与颞骨或蝶骨大翼相连,平扫呈稍高密度,增强后均匀明显强化,肿瘤周围水肿明显,中线结构移位。我认为是脑膜瘤,其压迫大脑中浅静脉,导致静脉回流受阻,引起阻塞性脑水肿。
作者: 宁静志远    时间: 2011-8-22 00:49
标题: Re:CT0825:头部  [求助]
支持脑膜瘤诊断。




欢迎光临 医影在线 (http://bbs.radida.com/bbs/) Powered by Discuz! X3.2