















































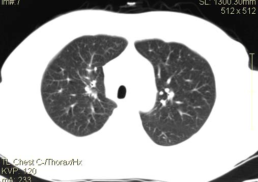
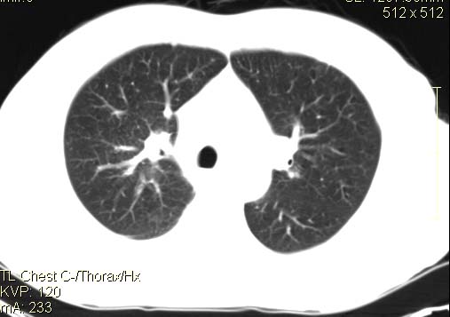
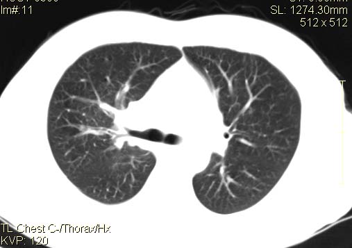
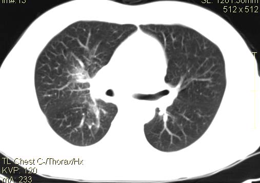
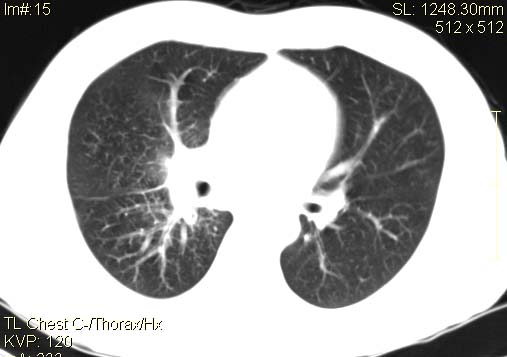
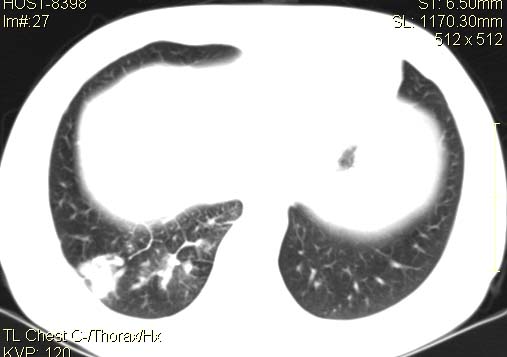
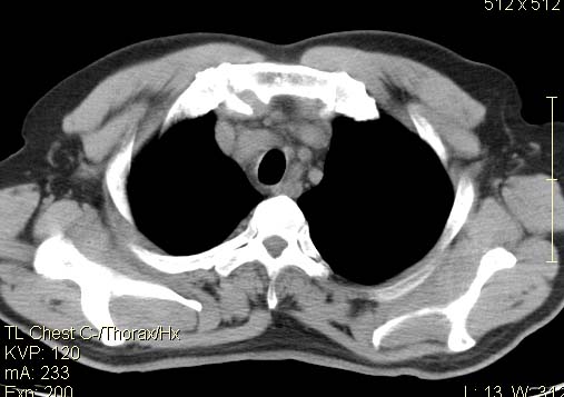
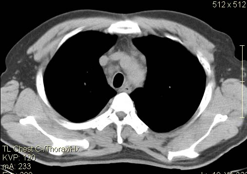
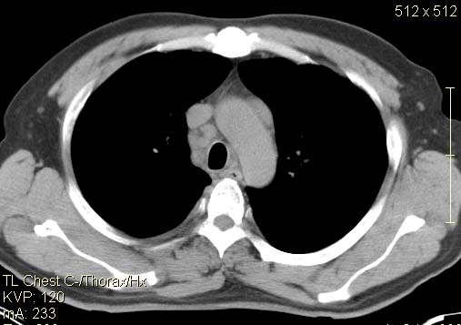
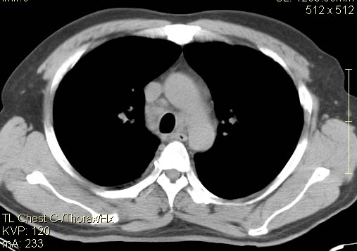
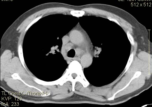
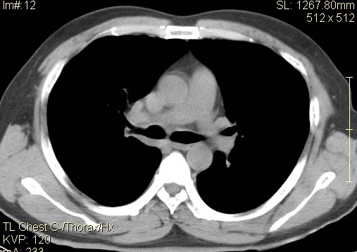
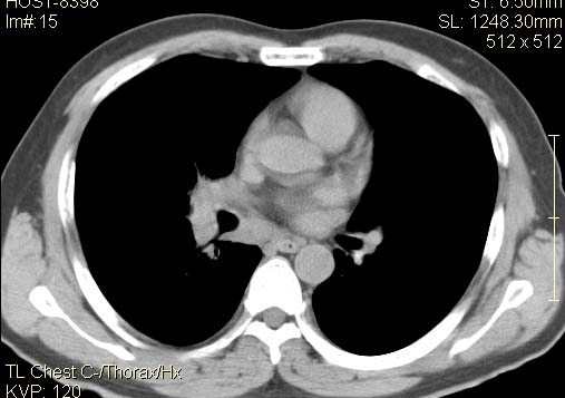
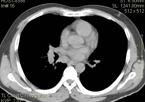
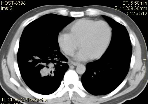
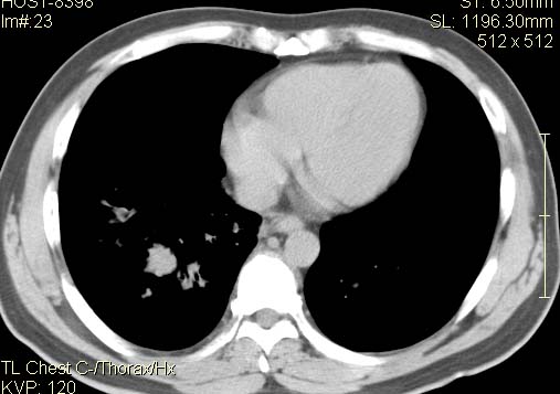
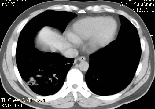
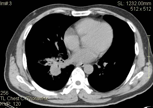
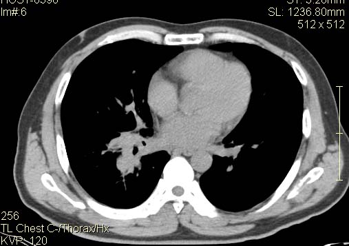
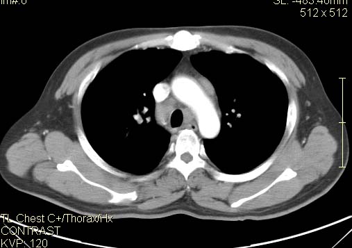
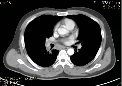
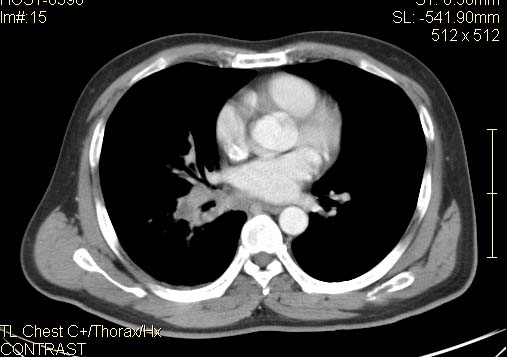
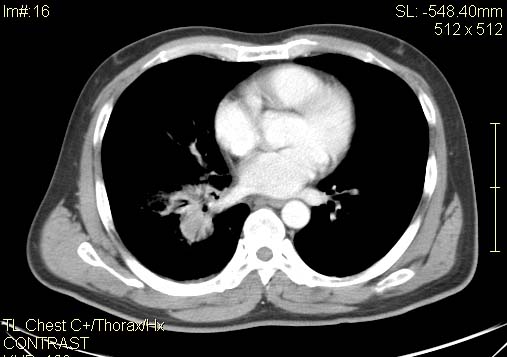
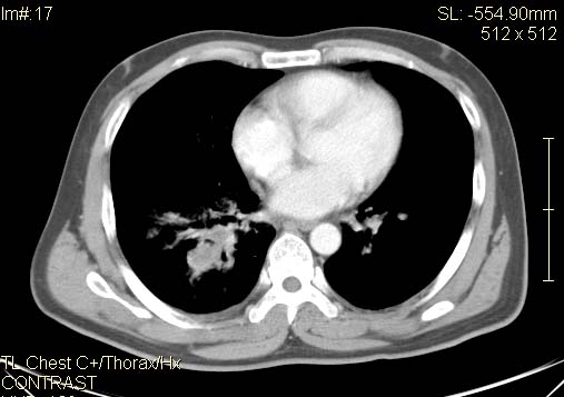
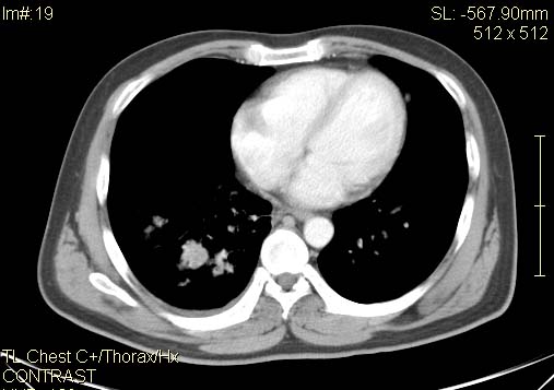
以下是引用qc80012345在2007-4-17 12:33:00的发言:[br]右肺下叶周围型肺癌伴肺门及纵隔内淋巴结转移;比较清楚。
以下是引用qingyuan在2007-4-17 14:19:00的发言:[br]右肺下叶外侧后段胸膜下区节结样病变、分叶、内可见空洞,壁厚薄不均,胸膜凹陷、肺门周围区纹理增粗、僵硬、并近似小结节样改变,肺门区软组织节结、纵膈淋巴结肿大,患者病史长、抗炎治疗无好转炎性改变基本排除,考虑:右肺下叶周围型肺癌伴纵膈及右肺门区淋巴结转移、肺内淋巴管受侵。
| 欢迎光临 医影在线 (http://bbs.radida.com/bbs/) | Powered by Discuz! X3.2 |