医影在线

标题: CT7740:男65岁,无明显不适. [打印本页]

作者: zjzjr    时间: 2007-4-18 22:57
标题: CT7740:男65岁,无明显不适.



















[本贴已被 jiajie 于 2007-5-9 22:12:56 修改过]

作者: 李晓阳    时间: 2007-4-18 23:00
胃间质瘤可能性大
作者: LIAOQIANG    时间: 2007-4-18 23:44
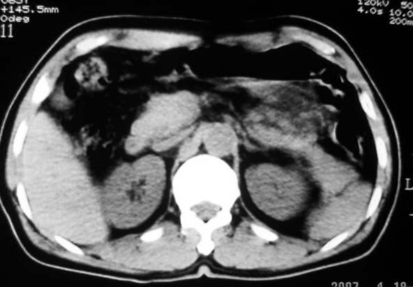
胃底与体交界侧壁一息肉样改变,以宽基与胃壁相连且胃壁僵硬,考虑胃恶性病变(胃癌?息肉恶变?)伴脾门淋巴结肿大可能性大。
作者: 卜一    时间: 2007-4-19 00:11
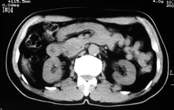
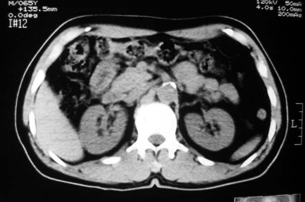
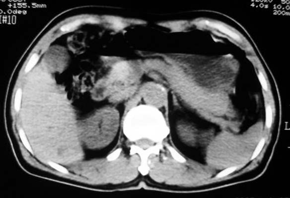
定位:病灶位于胃腔外,大弯侧后下方.
特征:实质性肿物,边界清楚,内见低密度影,明显压迫胃壁,并形成切迹.
考虑:脾门淋巴瘤或间质瘤.
作者: 五阿哥    时间: 2007-4-19 00:14
胃大弯侧,胃底与胃体交界处可见一圆形软组织肿块影,边缘较光整,内部密度较均匀
考虑:胃平滑肌瘤
鉴别诊断:胃腺瘤后者主要好发于胃窦部,直径小于2cm
作者: 狙击手    时间: 2007-4-19 00:17
定位:病灶位于胃腔外,大弯侧后下方.
特征:实质性肿物,边界清楚,内见低密度影,明显压迫胃壁,并形成切迹.
考虑:脾门淋巴瘤或间质瘤
支持!
作者: 心愿    时间: 2007-4-19 00:42
胃大弯侧,胃底与胃体交界处可见一圆形软组织肿块影,边缘较光整,内部密度较均匀
考虑:胃间质瘤?息肉?
作者: jiangjing    时间: 2007-4-19 01:18
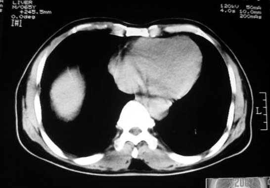
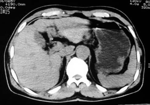
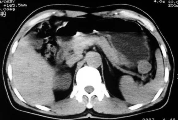
考虑胃的肿瘤或胰尾肿瘤,肝右叶后下段低密占位警惕转移。建议增强检查
作者: liuqiang    时间: 2007-4-19 01:20
从这些图像上看,此软组织团块影,在胃腔的外面,胃壁是一种受压的改变,所以考虑此病灶和胃没有关系,建议进一步增强ct检查。
作者: ree66    时间: 2007-4-19 01:27
能排除副脾吗?还是强化一下吧
作者: 余辉    时间: 2007-4-19 01:27
病灶起源于胃壁向腔内外突出,边缘光整,内可见片状低密度区,考虑胃壁非上皮性肿瘤可能性大
作者: jinning    时间: 2007-4-19 01:36
胃间质瘤可能性大
作者: 天南地北    时间: 2007-4-19 02:26
考虑:胃间质瘤?平滑肌肉瘤?
作者: 拾荒者    时间: 2007-4-19 21:29
标题: 回复:ct7740:男65岁,无明显不适.
以下是引用卜一在2007-4-18 16:11:00的发言:[br]定位:病灶位于胃腔外,大弯侧后下方.[br]特征:实质性肿物,边界清楚,内见低密度影,明显压迫胃壁,并形成切迹.[br]考虑:脾门淋巴瘤或间质瘤.

建议增强扫描。
作者: ysxyy    时间: 2007-4-19 22:41
多考虑来源于胃壁的肿瘤;
建议进一步检查助诊;
作者: jinguoji    时间: 2007-5-10 06:11
病灶起源于胃壁向腔内外突出,边缘光整,内可见片状低密度区,考虑间质瘤可能性大,建议增强扫描。




欢迎光临 医影在线 (http://bbs.radida.com/bbs/) Powered by Discuz! X3.2