







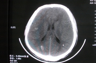
以下是引用zhangzhongshou在2007-4-18 17:49:00的发言:[br]脑实质内多发高密度结节影,支持肉芽肿得诊断,究竟是结核性、真菌性或寄生虫性的需结合临床,进一步检查确诊,但从影像上无法鉴别,只是临床上结核性肉芽肿最为多见而已。
以下是引用jiangjing在2007-4-18 16:57:00的发言:[br]考虑 感染性肉芽肿[结核可能性大],囊虫待排
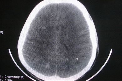
以下是引用zhangzhongshou在2007-4-18 17:49:00的发言:[br]脑实质内多发高密度结节影,支持肉芽肿得诊断,究竟是结核性、真菌性或寄生虫性的需结合临床,进一步检查确诊,但从影像上无法鉴别,只是临床上结核性肉芽肿最为多见而已。
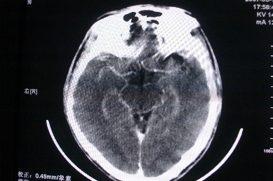
以下是引用zhangzhongshou在2007-4-18 17:49:00的发言:[br]脑实质内多发高密度结节影,支持肉芽肿得诊断,究竟是结核性、真菌性或寄生虫性的需结合临床,进一步检查确诊,但从影像上无法鉴别,只是临床上结核性肉芽肿最为多见而已。
| 欢迎光临 医影在线 (http://bbs.radida.com/bbs/) | Powered by Discuz! X3.2 |