医影在线

标题: CT7745:[原创]男53岁,咳嗽气短 [打印本页]

作者: kbzyycm    时间: 2007-4-19 01:10
标题: CT7745:[原创]男53岁,咳嗽气短
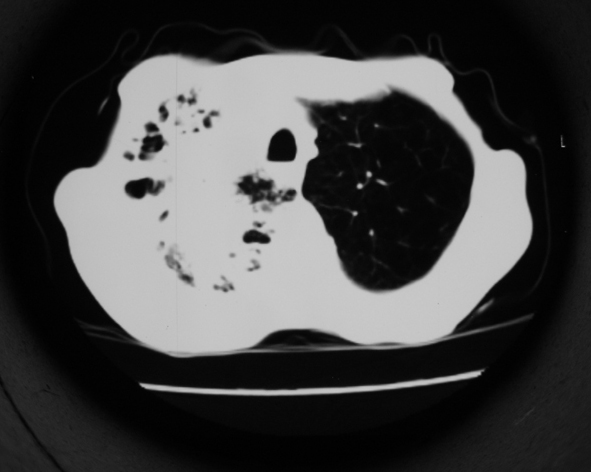
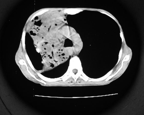
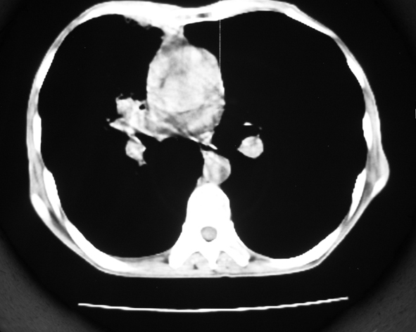
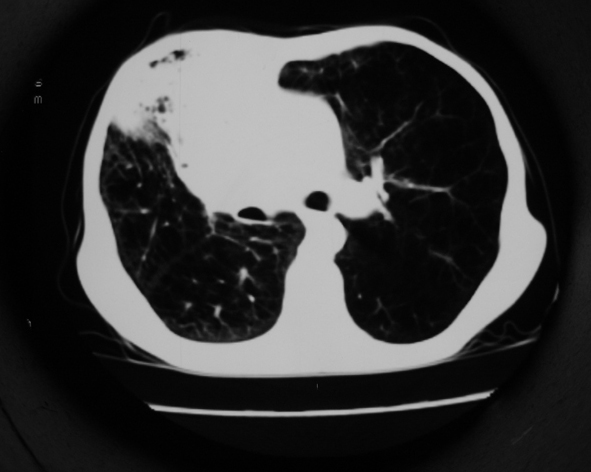
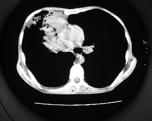
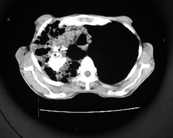
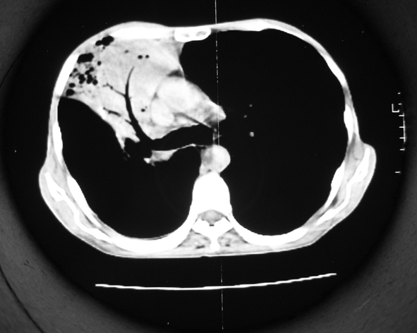
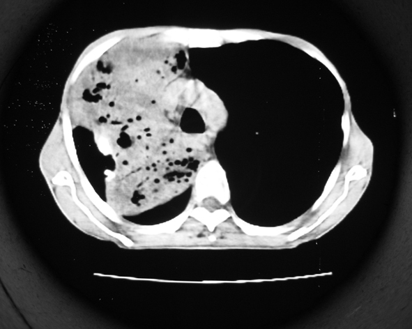
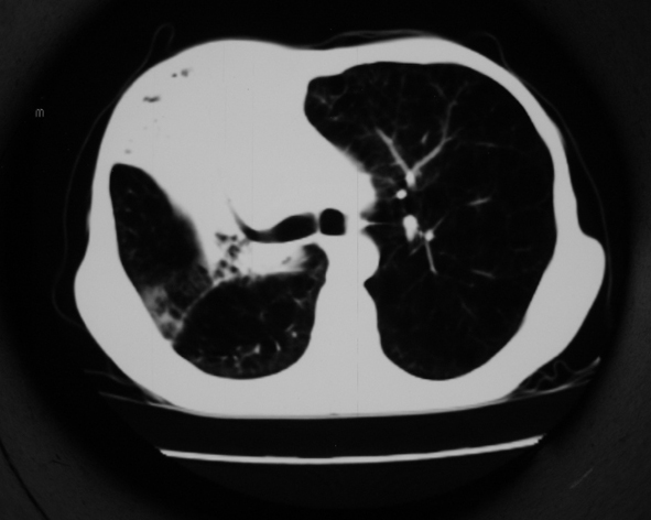
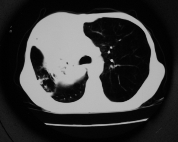
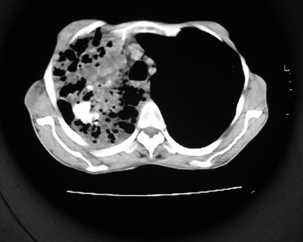
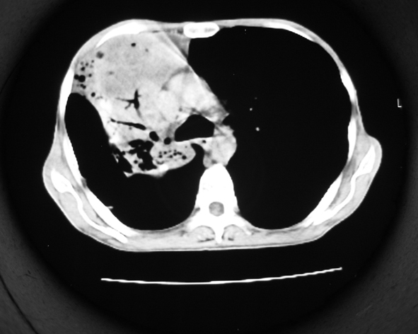
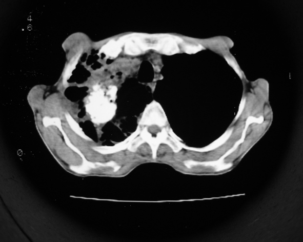
男53岁,咳嗽气短,以往身体健康.
































[本贴已被 jiajie 于 2007-5-9 22:43:44 修改过]

作者: 余辉    时间: 2007-4-19 01:15
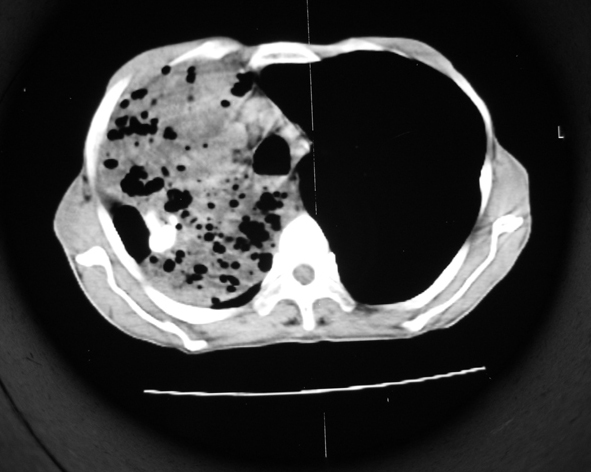
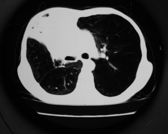
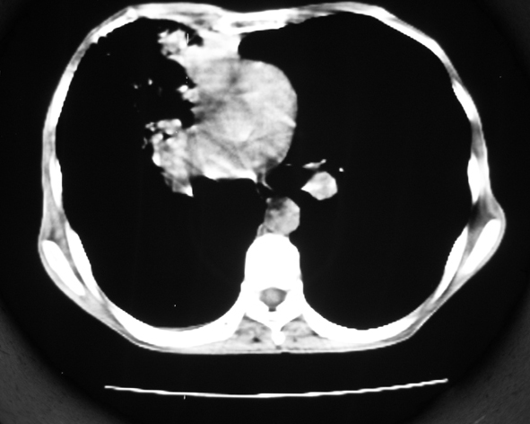
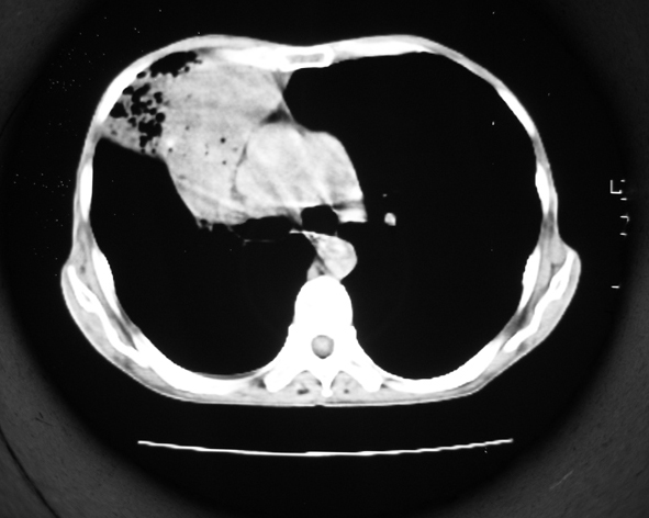
右肺上叶多发多形态空洞及增殖灶,可见团块钙化,胸膜肥厚、粘连,考虑继发型肺结核可能性大
作者: w_jianhua    时间: 2007-4-19 01:24
1.右肺上叶干酪性肺炎,2。肺气肿,肺大泡
作者: 狙击手    时间: 2007-4-19 01:28
标题: 回复:[原创]请大家讨论肺ct
以下是引用w_jianhua在2007-4-18 17:24:00的发言:[br]1.右肺上叶干酪性肺炎,2。肺气肿,肺大泡

支持!
作者: jinning    时间: 2007-4-19 01:45
以下是引用w_jianhua在2007-4-18 17:24:00的发言:
1.右肺上叶干酪性肺炎,2。肺气肿,肺大泡


支持!
作者: 小初学者    时间: 2007-4-19 01:48
右肺上中叶结核干酪性肺炎
作者: ZHANGZHONGSHOU    时间: 2007-4-19 01:51
首先考虑继发型肺结核,建议进一步检查。
作者: 天南地北    时间: 2007-4-19 02:13
支持:继发型肺结核合并干酪性肺炎
作者: zhw974247    时间: 2007-4-19 02:21
右肺中上叶干酪性肺炎。
作者: qian    时间: 2007-4-19 02:34
支持结核。
作者: zjzjr    时间: 2007-4-19 02:51
支持:继发型肺结核合并干酪性肺炎
作者: 苯小孩    时间: 2007-4-19 03:04
支持:继发型肺结核<右中上叶干酪性肺炎.>
作者: 卜一    时间: 2007-4-19 03:13
1.右肺上叶干酪性肺炎,2。肺气肿,肺大泡。支持!
作者: shiqingfa    时间: 2007-4-19 04:08
首先考虑继发型肺结核,建议进一步检查
作者: zhanghua2086    时间: 2007-4-19 04:47
干酪性肺炎
作者: 拾荒者    时间: 2007-4-19 21:49
支持右上肺继发性肺结核并干酪性肺炎,右肺大泡,左肺代偿性气肿。
作者: wansheng    时间: 2007-4-19 21:54
支持右上肺继发性肺结核并干酪性肺炎,右肺大泡,左肺代偿性气肿。
作者: jinguoji    时间: 2007-5-10 06:36
支持:继发型肺结核合并干酪性肺炎
作者: qc80012345    时间: 2007-5-10 07:01
考虑继发型肺结核
作者: yscao    时间: 2007-8-12 05:26
干酪性肺炎




欢迎光临 医影在线 (http://bbs.radida.com/bbs/) Powered by Discuz! X3.2