医影在线

标题: CT7751:病人,50岁,肝硬化多年,行CT三期扫描 [打印本页]

作者: md    时间: 2007-4-19 03:31
标题: CT7751:病人,50岁,肝硬化多年,行CT三期扫描



















[本贴已被 jiajie 于 2007-5-9 22:21:19 修改过]

作者: 李晓阳    时间: 2007-4-19 03:35
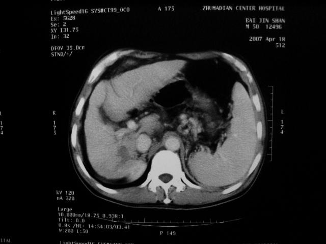
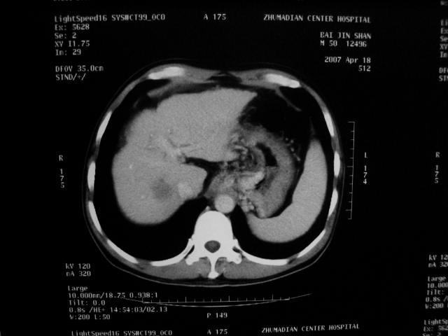
肝硬化、(良性)硬化结节
作者: 狙击手    时间: 2007-4-19 03:56
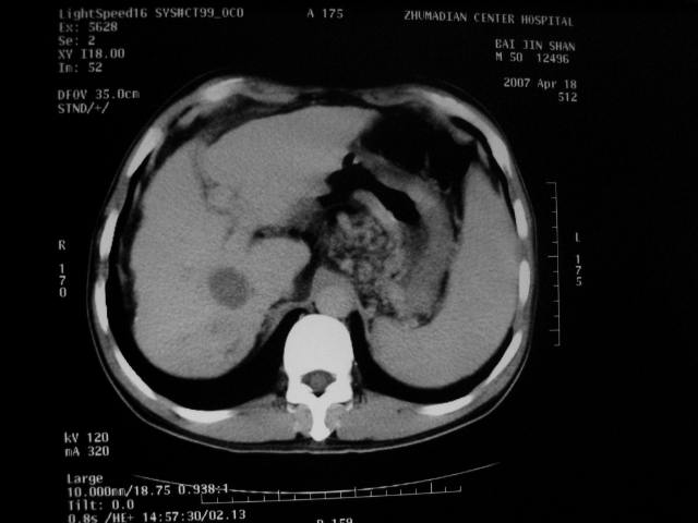
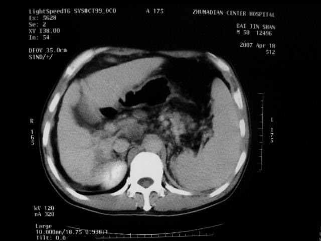
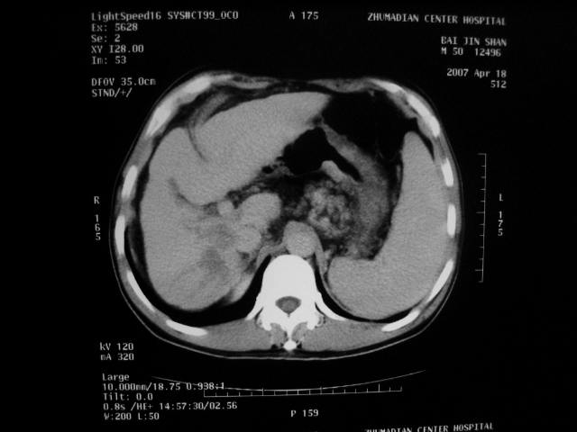
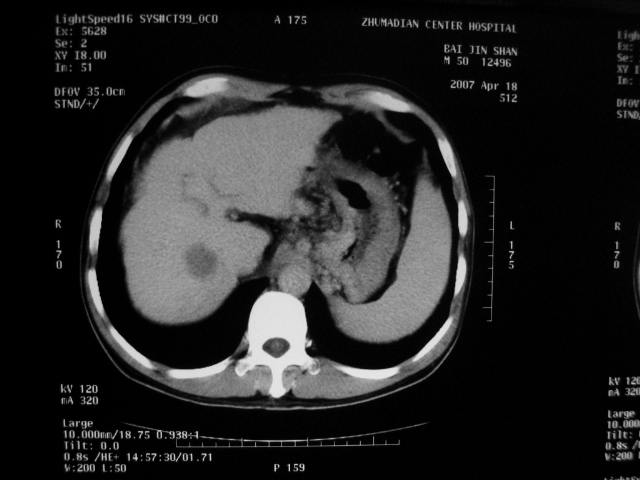
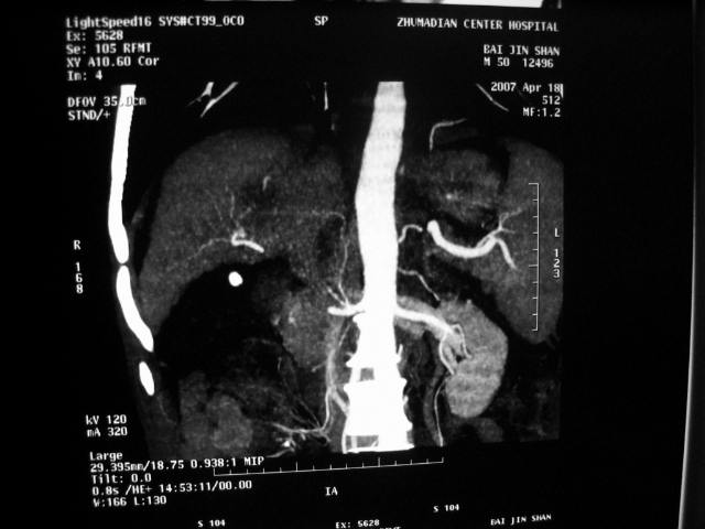
动脉期病灶见轻度强化,考虑肝癌可能性大。
作者: xulianj    时间: 2007-4-19 04:18
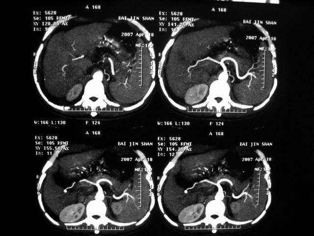
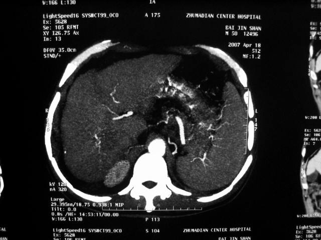
增强扫描所传图像不全面,应传各期图像,单传动脉期不能完全说明问题。
作者: 还珠格格    时间: 2007-4-19 04:47
动脉期轻度强化 考虑 肝右叶小肝癌可能性大
作者: liuqiang    时间: 2007-4-19 04:54
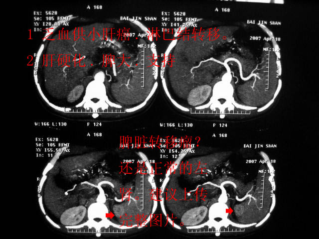
拟;1)乏血供小肝癌.淋巴结转移。
    2)肝硬化。
作者: lf    时间: 2007-4-19 05:01
肝硬化 脾大 胃底静脉曲张 肝癌 门腔间淋巴结肿大
作者: 卜一    时间: 2007-4-19 05:33
1 乏血供小肝癌.淋巴结转移。
2 肝硬化.脾大.支持!
作者: zxczxc    时间: 2007-4-19 05:35
考虑肝硬化,右肝癌可能性大。
作者: jinning    时间: 2007-4-19 05:51
考虑肝癌
作者: xuesheng007    时间: 2007-4-19 05:58
1、肝右叶低密度灶考虑肝癌
2、肝硬化
作者: 天南地北    时间: 2007-4-19 06:46
标题: 回复:请各位老师指点,病人,50岁,肝硬化多年,行c
以下是引用卜一在2007-4-18 21:33:00的发言:[br]1 乏血供小肝癌.淋巴结转移。[br]2 肝硬化.脾大.支持!

作者: zjzjr    时间: 2007-4-19 06:57
肝癌、肝硬化、脾大、门静脉高压、胃底静脉曲张.
作者: 还珠格格    时间: 2007-4-19 13:55
肝硬化 右叶小肝癌 期待结果
作者: ysxyy    时间: 2007-4-19 20:20
标题: 回复:ct7751:请各位老师指点,病人,50岁,肝硬化多年

作者: 拾荒者    时间: 2007-4-20 05:15
肝硬化、脾大,静脉曲张,肝右叶低密度灶,增强无明显强化,还是考虑肝癌可能性大,建议结合afp检查。
作者: jinguoji    时间: 2007-5-10 05:52
考虑肝硬化,脾大,静脉曲张,肝右叶低密度灶,右肝癌可能性大。
作者: wanbo2004    时间: 2007-5-10 06:10
肝硬化一定会有肝癌吗,没有ct值吗,就是一个囊肿
作者: 天南地北    时间: 2007-5-10 06:54
标题: 回复:ct7751:病人,50岁,肝硬化多年,行ct三期扫描

作者: jsmctmri    时间: 2007-5-25 16:42
肝癌分为肝细胞性和胆管细胞性,从强化表现来看,确切地说应是胆管细胞癌.




欢迎光临 医影在线 (http://bbs.radida.com/bbs/) Powered by Discuz! X3.2