医影在线

标题: CT7753:[原创]男 73岁,肢体活动不灵多年 [打印本页]

作者: 同    时间: 2007-4-19 04:07
标题: CT7753:[原创]男 73岁,肢体活动不灵多年
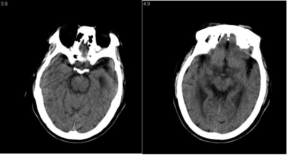
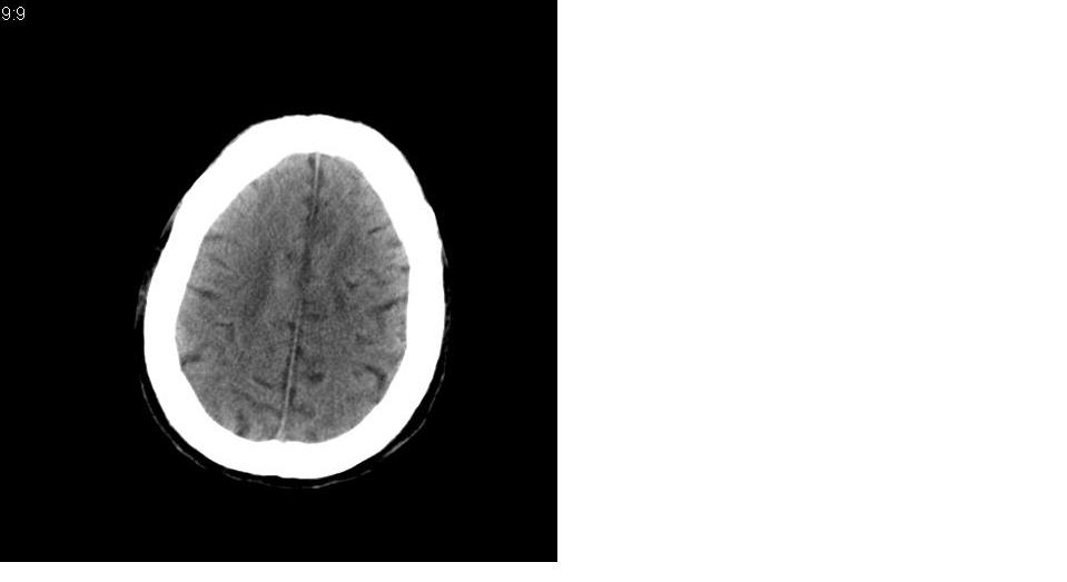
男 73岁,肢体活动不灵多年。







[本贴已被 jiajie 于 2007-5-11 23:21:23 修改过]

作者: wanling988    时间: 2007-4-19 04:21
脑梗塞 脑白质 脱髓鞘
作者: 狙击手    时间: 2007-4-19 04:21
颅内多发梗塞灶,左基底节区囊腔形成。
作者: xulianj    时间: 2007-4-19 04:23
左侧基底节区软化灶,双侧基节区多发性腔梗。
作者: yzh9939    时间: 2007-4-19 04:25
脑萎缩,脑白质病,左基底节区梗塞软化灶。
作者: 北方的狼    时间: 2007-4-19 04:27
陈旧性脑梗;脑皮动。
作者: 蓝星    时间: 2007-4-19 04:31
符合皮层下动脉硬化性脑病
作者: 还珠格格    时间: 2007-4-19 04:41
皮层下动脉硬化性脑病
作者: 还珠格格    时间: 2007-4-19 04:42
皮层下动脉硬化性脑病
作者: 我爱CT-MR    时间: 2007-4-19 05:02
有痴呆症状吗 皮脑要有才能诊断吧
作者: 天山影士    时间: 2007-4-19 05:04
1.皮层下动脉硬化性脑病 .
2.左基底节区梗塞软化灶。
作者: jian-5587    时间: 2007-4-19 05:04
皮层下动脉硬化性脑病
作者: 小初学者    时间: 2007-4-19 05:10
标题: 回复:[原创]颅脑ct平扫
以下是引用蓝星在2007-4-18 20:31:00的发言:[br]符合皮层下动脉硬化性脑病

作者: 卜一    时间: 2007-4-19 05:26
皮层下动脉硬化性脑病:支持!
作者: jinning    时间: 2007-4-19 05:40
脑萎缩,脑白质病,左基底节区梗塞软化灶。
作者: 文莱    时间: 2007-4-19 05:44
符合皮层下动脉硬化性脑病
作者: 天南地北    时间: 2007-4-19 06:26
符合皮层下动脉硬化性脑病
作者: zjzjr    时间: 2007-4-19 07:13
皮层下动脉硬化性脑病伴多发腔隙性脑梗塞及软化灶。
作者: xiangchao1981    时间: 2007-4-19 15:07
双侧基底节区放射冠区多发脑梗塞 ,脑白质病
作者: 拾荒者    时间: 2007-4-20 05:25
脑白质脱髓鞘改变(异染性脑白质营养不良)。
作者: 黄国华    时间: 2007-4-20 05:37
有高血压吗?诊断皮脑也是一个重要的依据,不过从影像上还是符合皮脑的。
作者: 朱亮    时间: 2007-4-20 05:49
皮质下动脉硬化性脑病
作者: 红樱枪    时间: 2007-4-20 06:30
皮质下动脉硬化性脑病  ,左基底陈旧脑梗塞
作者: yangyingjun18    时间: 2007-4-20 06:44
皮层下动脉硬化性脑病
作者: 五阿哥    时间: 2007-4-20 07:02
左右侧脑室前后角对称性低密度区,边缘模糊,脑沟,脑池增宽,脑室扩大,左侧基底结区见多个低密度病灶
诊断:1皮层下动脉硬化性脑病
     2左侧基底结区腔梗
作者: jinguoji    时间: 2007-5-11 23:54
皮层下动脉硬化性脑病
作者: dr.yang    时间: 2011-10-16 14:34
1.皮层下动脉硬化性脑病 .
2.左基底节区梗塞软化灶。




欢迎光临 医影在线 (http://bbs.radida.com/bbs/) Powered by Discuz! X3.2