医影在线

标题: CT7759:[讨论] 男 70 咳嗽 胃部不适 2月 [打印本页]

作者: 还珠格格    时间: 2007-4-19 13:45
标题: CT7759:[讨论] 男 70 咳嗽 胃部不适 2月
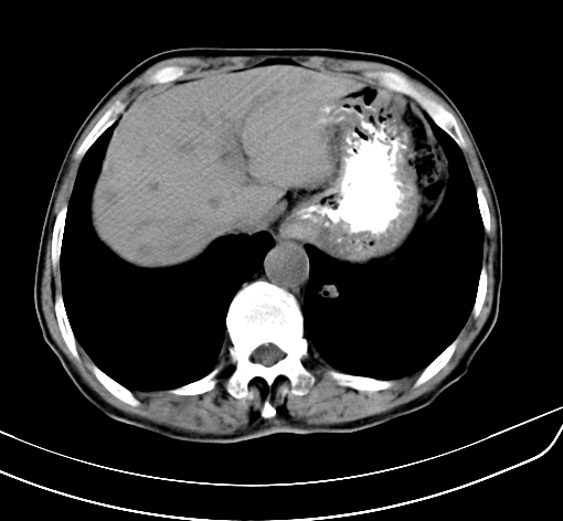
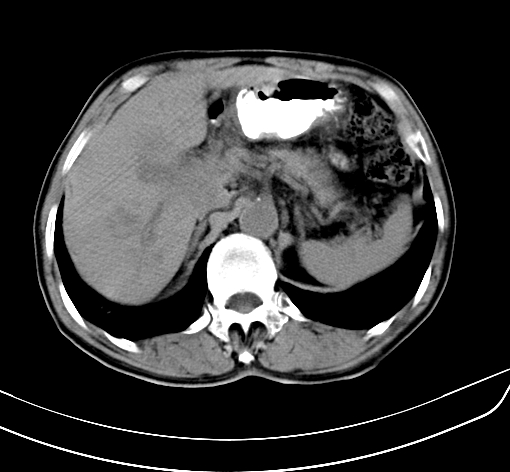
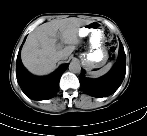
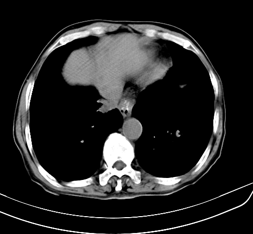
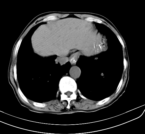
病人 男 70 咳嗽 胃部不适 2月余



























[本贴已被 jiajie 于 2007-5-12 6:31:07 修改过]

作者: 小初学者    时间: 2007-4-19 14:13
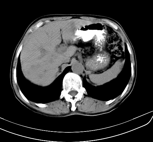
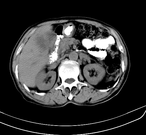
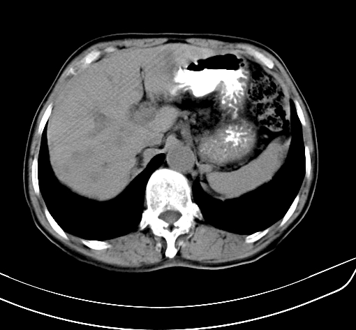
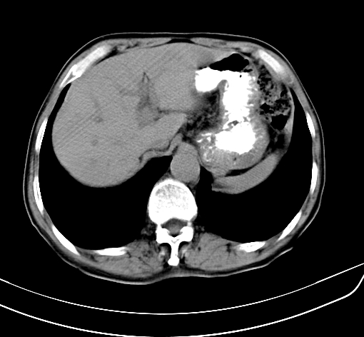
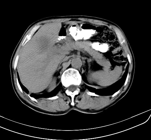
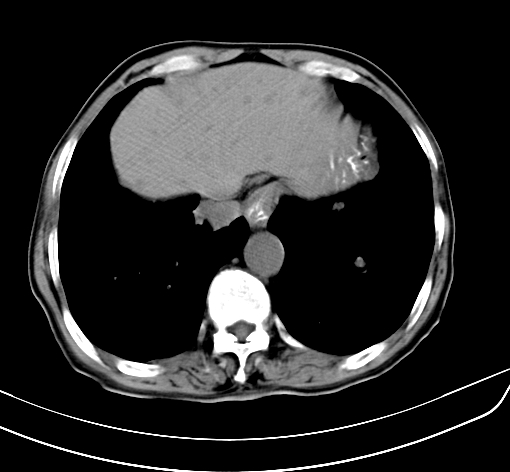
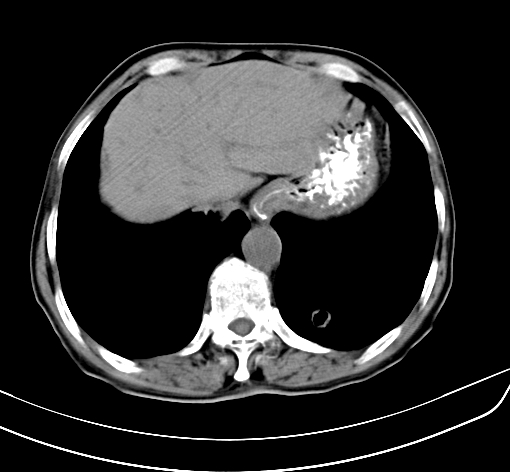
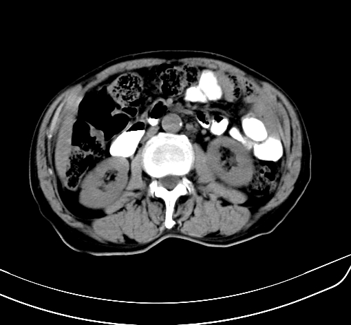
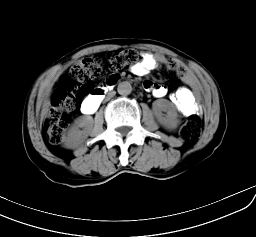
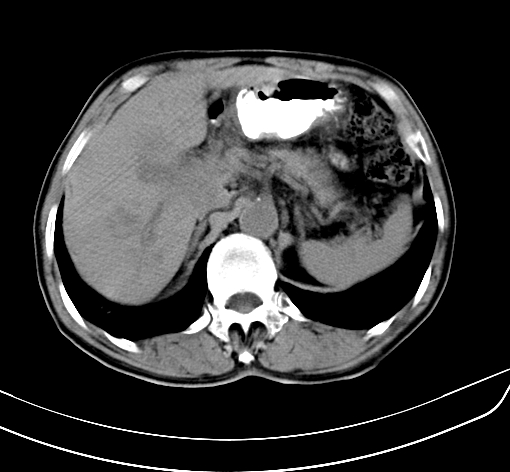
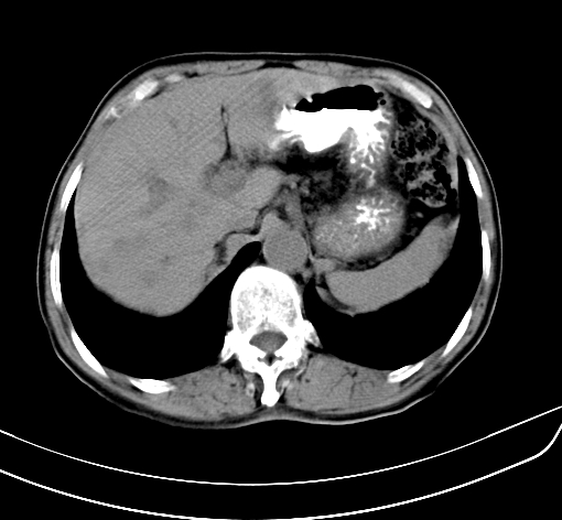
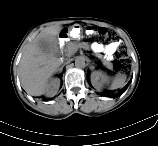
1、考虑肝门占位,肝内胆管扩张,建议强化  2胆囊区胆囊显示不佳邻近肝组织内见低密度区是否考虑胆囊癌侵犯肝脏
作者: xuesheng007    时间: 2007-4-19 16:35
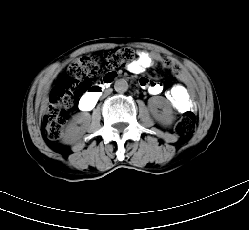
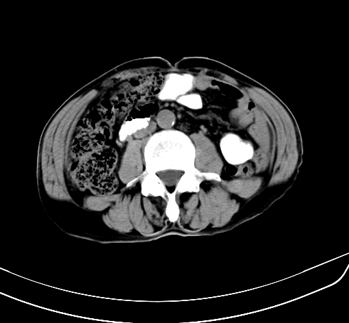
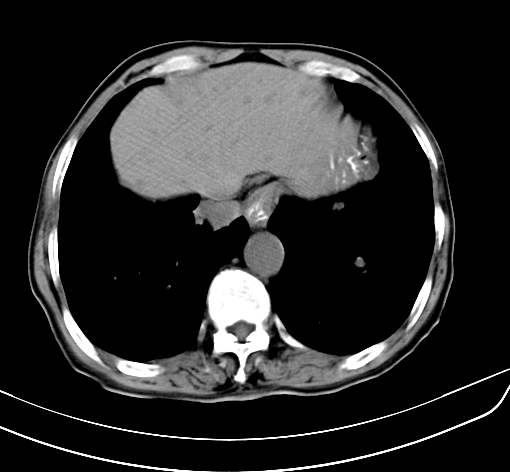
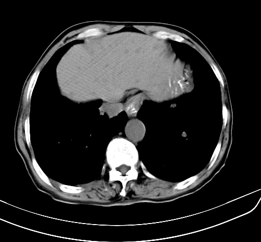
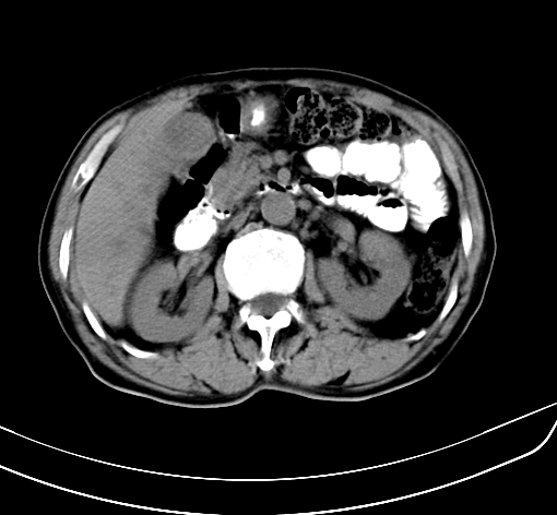
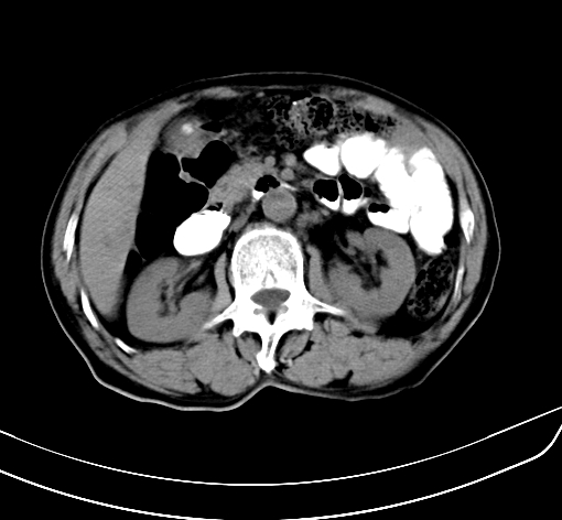
咳嗽,建议扫描范围内打肺窗看看,上腹部需薄层增强扫描,扫描时胃口服水充盈。
作者: 余辉    时间: 2007-4-19 16:49
胆囊壁增厚,与临近肝实质边界不清,临近肝实质内可见大片边界不清之低密度区,肝门区密度亦有减低,部分结构不清,尾叶前方可见块状影,肝右叶可见多枚边界不清之圆形低密度区,肝内胆管扩张征象,结合病史考虑1胆囊癌肝内转移,肝门区淋巴结转移,门脉癌栓待排2肝内胆管扩张3建议增强扫描
作者: zyx168    时间: 2007-4-19 16:49
考虑胃癌肝转移,胆囊炎
作者: haha215315    时间: 2007-4-19 17:22
1、考虑肝门占位,肝内胆管扩张,建议强化  2胆囊区胆囊显示不佳邻近肝组织内见低密度区是否考虑胆囊癌侵犯肝脏
作者: ZHANGZHONGSHOU    时间: 2007-4-19 18:25
胃癌肝转移可能性大,建议胃肠道造影
作者: 苯小孩    时间: 2007-4-19 20:26
肝脏多发大小不等低密度灶,边界不清,肝门区结构不清,肝内胆管轻度扩张,胆囊密度不均匀,内见软组织样密度影,与相临肝脏边界不清.考虑:1、胆囊ca侵犯肝脏并肝内多发转移,肺上也有结节影,转移?建议强化扫描.2、胃充盈不好,如怀疑有病变最好建议做相关检查.
作者: 拾荒者    时间: 2007-4-19 20:28
胆囊壁增厚,周围模糊不清,肝内多发低密度影,胃充盈欠佳,胃壁增厚,外形尚规整,考虑胆囊炎、胆囊癌肝内转移?建议胃肠道进一步检查或增强扫描。
作者: 晓杰    时间: 2007-4-19 21:24
支持:
胆囊壁增厚,周围模糊不清,肝内多发低密度影,胃充盈欠佳,胃壁增厚,外形尚规整,考虑胆囊炎、胆囊癌肝内转移?建议胃肠道进一步检查或增强扫描。
作者: lihe406213    时间: 2007-4-19 22:21
第10幅图象肝内缘旁圆行低密度是不是胆囊底部呀哪位老师告诉我一下谢谢!!!!!!!!!!!!!!!!
作者: 天南地北    时间: 2007-4-20 07:25
考虑胃癌肝转移,胆囊炎
作者: wqs571018    时间: 2007-4-23 02:51
考虑胃癌肝转移可能,胆囊炎.建议强化.
作者: jinguoji    时间: 2007-5-10 19:29
考虑胃癌肝转移,胆囊炎.




欢迎光临 医影在线 (http://bbs.radida.com/bbs/) Powered by Discuz! X3.2