医影在线

标题: X2013:[讨论]右位心? [打印本页]

作者: zxczxc    时间: 2007-4-19 16:10
标题: X2013:[讨论]右位心?
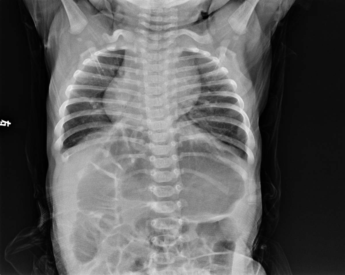
男,21天,片号码没错,又结合透视与片上所见相同,请教能否诊断右位心?




[本贴已被 jiajie 于 2008-2-29 7:46:41 修改过]

作者: ZHANGZHONGSHOU    时间: 2007-4-19 16:25
右旋心   心尖指向右,而其他内脏不转位,胃泡、肝脾均在正常位置,称为右旋心。必要时加做超声检查,进一步确定肝脾位置可证实。
作者: wuxin7374    时间: 2007-4-19 17:14
透视下看看心尖波动应该清楚了。符合右位心。请问楼主看见胸腺了吗。在左边吗。
作者: 眼睛    时间: 2007-4-19 17:29
支持zxczxc 右位心诊断
作者: jinguoji    时间: 2007-4-19 18:11
支持右位心.
作者: 余辉    时间: 2007-4-19 19:30
支持右位心.
作者: zyx168    时间: 2007-4-19 19:31
右位心
作者: whp    时间: 2007-4-19 19:52
右位心
作者: 小晟晟    时间: 2007-4-19 21:08
支持右位心.
作者: zhangxiangjun    时间: 2007-4-19 21:38
支持:右旋心   心尖指向右,而其他内脏不转位,胃泡、肝脾均在正常位置,称为右旋心。必要时加做超声检查,进一步确定肝脾位置可证实.
听诊怎么样啊>?
作者: sdw662    时间: 2007-4-19 23:22
支持:右旋心
作者: baby_huan    时间: 2007-4-20 02:21
胸部透视与胸片一致的话
应该是右位心
可以结合心超,心脏听诊
作者: zhangkening    时间: 2007-4-20 06:15
支持2楼的意见.
作者: 天南地北    时间: 2007-4-20 07:41
右旋心   心尖指向右,而其他内脏不转位,胃泡、肝脾均在正常位置,称为右旋心。必要时加做超声检查,进一步确定肝脾位置可证实
作者: qc80012345    时间: 2007-4-20 21:52
支持右位心
作者: real520    时间: 2007-4-26 07:07
右位心
作者: 青莲居士    时间: 2007-4-26 07:32
透视下看看心尖波动应该清楚了。符合右位心。请问楼主看见胸腺了吗。在左边吗
作者: 苍三医黄    时间: 2007-4-26 15:44
支持右旋心
作者: 永州人    时间: 2007-4-26 19:47
右位心
作者: jsmctmri    时间: 2007-6-9 01:11
右旋心  必要时加做超声检查,进一步确定肝脾位置可证实。
作者: 碧水蓝天    时间: 2007-6-9 04:56
支持
作者: dawean    时间: 2007-6-12 18:44
标题: 回复:x2013:[讨论]右位心?
以下是引用zhangxiangjun在2007-4-19 13:38:00的发言:[br]支持:右旋心   心尖指向右,而其他内脏不转位,胃泡、肝脾均在正常位置,称为右旋心。必要时加做超声检查,进一步确定肝脾位置可证实.[br]听诊怎么样啊>?

作者: shibing    时间: 2013-2-23 08:04
支持:右旋心 心尖指向右,而其他内脏不转位,胃泡、肝脾均在正常位置,称为右旋心。必要时加做超声检查,进一步确定肝脾位置可证实.
听诊怎么样啊>?




欢迎光临 医影在线 (http://bbs.radida.com/bbs/) Powered by Discuz! X3.2