医影在线
标题: CT7777:[原创]女 70岁,左侧上颌窦腔内肿物。 [打印本页]
作者: 同 时间: 2007-4-20 00:52
标题: CT7777:[原创]女 70岁,左侧上颌窦腔内肿物。
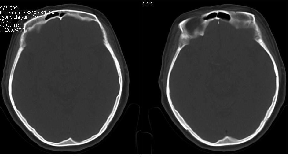
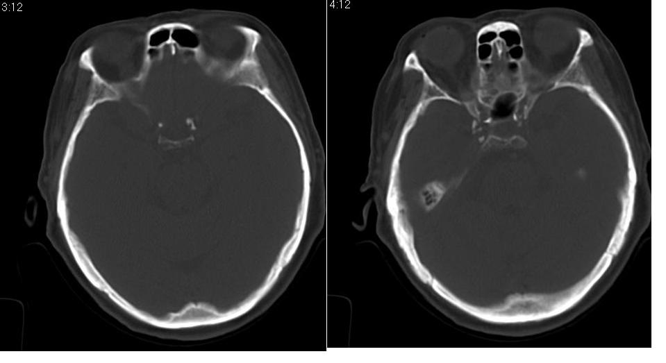
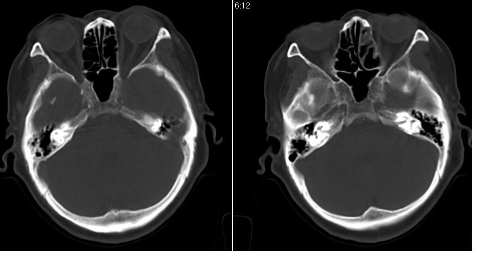
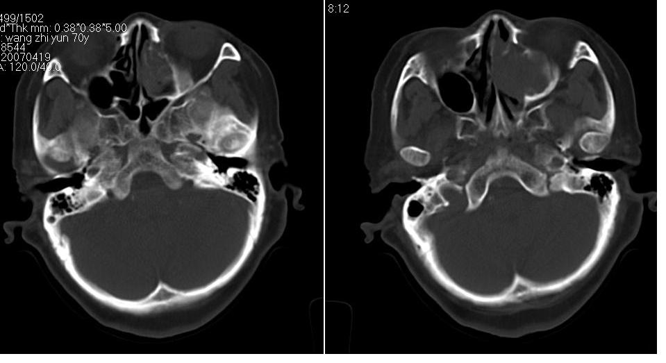
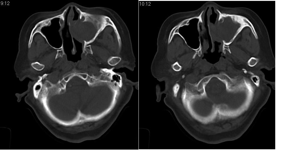
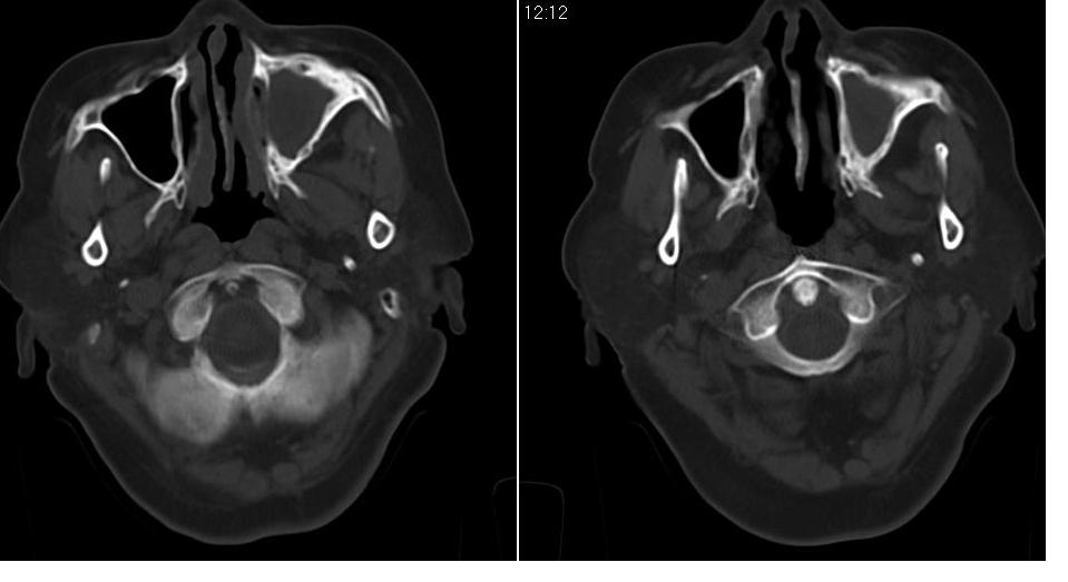
女 70岁,左侧上颌窦腔内肿物。






[本贴已被 jiajie 于 2007-5-12 6:34:37 修改过]
作者: 狙击手 时间: 2007-4-20 00:56
窦壁骨质增厚,密度增高,考虑慢性炎症,息肉样变。
作者: ZHANGZHONGSHOU 时间: 2007-4-20 00:59
左上颌窦良性占位性病变,考虑为息肉或囊肿
作者: 余辉 时间: 2007-4-20 01:25
窦壁骨质增厚,密度增高,考虑慢性炎症,息肉样变。
支持
作者: yanliang 时间: 2007-4-20 01:37
息肉或囊肿
作者: 小初学者 时间: 2007-4-20 02:00
考虑黏液性囊肿
作者: 国窖1573 时间: 2007-4-20 02:15
支持囊肿,慢性炎症
作者: 还珠格格 时间: 2007-4-20 02:26
左侧颌窦内可见高密度影充填,窦壁增厚 考虑 左颌窦囊肿 慢性炎症
作者: 还珠格格 时间: 2007-4-20 02:28
左侧颌窦内可见高密度影充填,窦壁增厚 考虑 左颌窦囊肿 慢性炎症
作者: wqs571018 时间: 2007-4-20 02:45
考虑 左上颌窦囊肿可能性大。
作者: zjzjr 时间: 2007-4-20 03:04
左侧颌窦内可见高密度影充填,窦壁增厚 考虑 左颌窦囊肿 慢性炎症
作者: 求知若渴 时间: 2007-4-20 03:55
左侧上颌窦内软组织影,略呈膨胀性,窦壁骨质增生硬化,考虑为黏膜下囊肿.左侧筛窦炎
作者: 卜一 时间: 2007-4-20 05:09
从病灶生长方式分析,更支持:上颌窦囊肿。
作者: jiangjing 时间: 2007-4-20 06:21
窦壁骨质增厚,密度增高,窦口扩大,考虑慢性炎症,息肉样变。
支持
作者: 天南地北 时间: 2007-4-20 06:25
标题: 回复:ct7777:[原创]鼻窦ct平扫

作者: yangyingjun18 时间: 2007-4-20 06:52
标题: 回复:ct7777:[原创]鼻窦ct平扫
以下是引用还珠格格在2007-4-19 18:28:00的发言:[br]左侧颌窦内可见高密度影充填,窦壁增厚 考虑 左颌窦囊肿 慢性炎症
作者: 红樱枪 时间: 2007-4-20 07:11
侧颌窦内可见高密度影充填,窦壁增厚 考虑 左颌窦囊肿 慢性炎症
作者: 拾荒者 时间: 2007-4-21 04:15
左侧上颌窦内软组织密度影,窦壁骨质增厚,密度增高,窦口扩大,考虑左侧上颌窦慢性炎症,息肉样变。
作者: jinning 时间: 2007-4-23 02:38
支持囊肿,慢性炎症
作者: jinguoji 时间: 2007-5-10 19:14
标题: 鼻窦ct平扫
左侧上颌窦窦内可见高密度影充填,窦壁增厚,考虑左上颌窦窦囊肿,慢性炎症.
[本贴已被 jinguoji 于 2007-5-10 11:17:50 修改过]
| 欢迎光临 医影在线 (http://bbs.radida.com/bbs/) |
Powered by Discuz! X3.2 |