医影在线

标题: CT7778:[原创]F,57Y腹痛待查,胸片提示肺部占位,应当很典型 [打印本页]

作者: xclzq_910    时间: 2007-4-20 01:38
标题: CT7778:[原创]F,57Y腹痛待查,胸片提示肺部占位,应当很典型
胸片提示肺部占位




















[本贴已被 jiajie 于 2007-5-12 6:36:39 修改过]

作者: ZHANGZHONGSHOU    时间: 2007-4-20 01:50
未见明显异常
作者: 小初学者    时间: 2007-4-20 01:55
标题: 回复:[原创]腹痛待查,应当很典型
以下是引用zhangzhongshou在2007-4-19 17:50:00的发言:[br]未见明显异常

作者: 苯小孩    时间: 2007-4-20 02:06
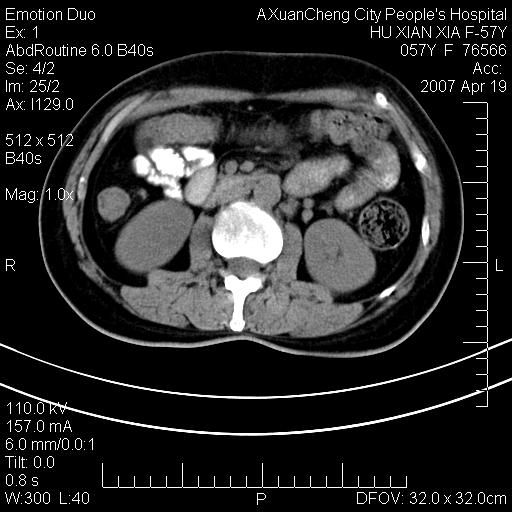
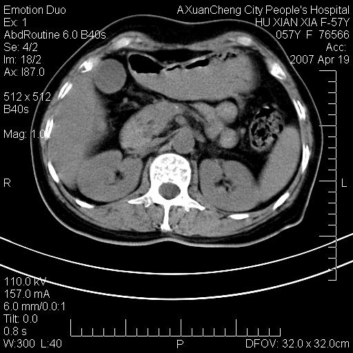
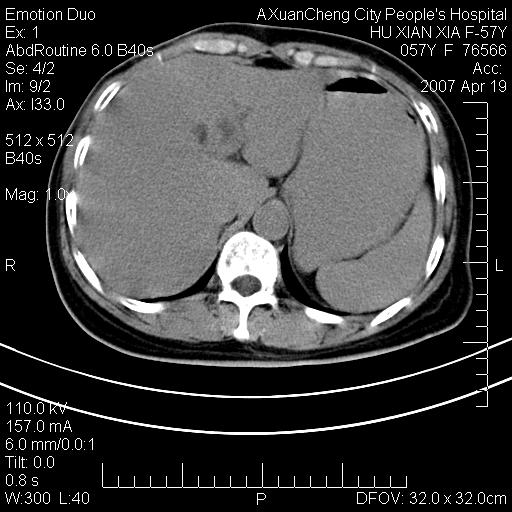
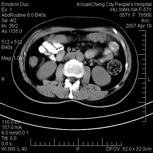
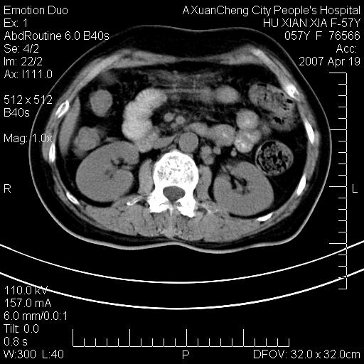
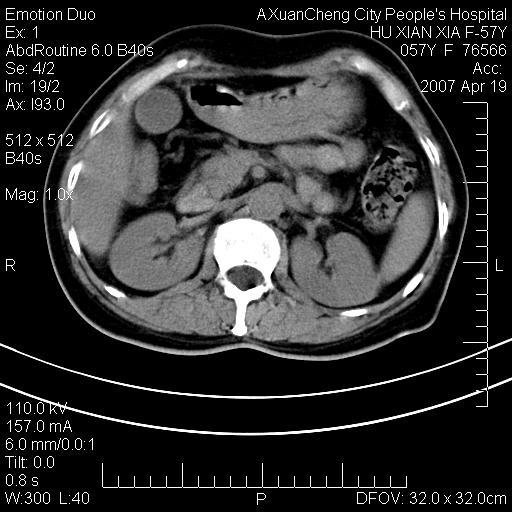
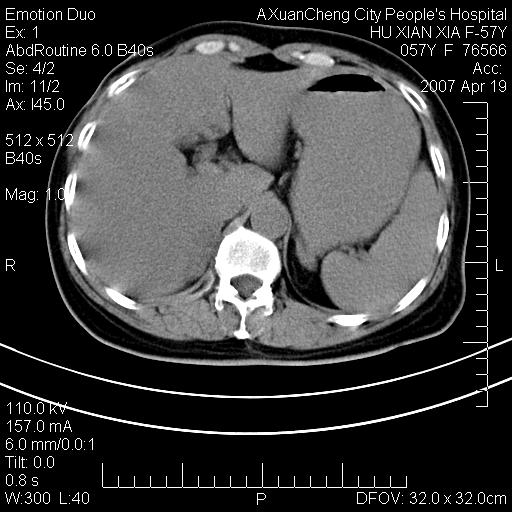
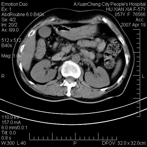
考虑:1、双侧肾上腺占位.2、肝左叶内侧段不规则低密度灶,建议强化扫描.
作者: kbzyycm    时间: 2007-4-20 02:06
未见明显异常
作者: 还珠格格    时间: 2007-4-20 02:16
未见明显异常
作者: 还珠格格    时间: 2007-4-20 02:17
未见明显异常
作者: ZHANGZHONGSHOU    时间: 2007-4-20 02:19
忽略了,只以为急腹症,应该支持肺癌肾上腺转移,肺癌患者20-30%发生肾上腺转移
作者: LLXXLL    时间: 2007-4-20 02:38
考虑双侧肾上腺占位
作者: shunbuer    时间: 2007-4-20 02:50
双肾上腺占位
作者: zjzjr    时间: 2007-4-20 03:13
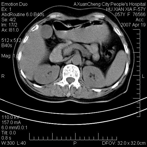
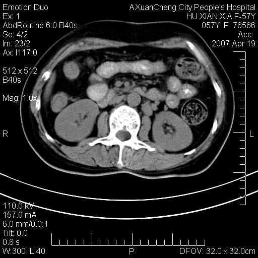
双侧肾上腺及腹膜后淋巴结增大,考虑转移,建议查原发灶.
作者: 求知若渴    时间: 2007-4-20 03:49
标题: 回复:ct7778:[原创]腹痛待查,应当很典型

作者: xclzq_910    时间: 2007-4-20 04:41
腹膜后可有淋巴结肿大呀
作者: 卜一    时间: 2007-4-20 05:13
双侧肾上腺占位,建议增强!
作者: 李晓阳    时间: 2007-4-20 05:22
降结肠有无问题?双侧肾上腺占位
作者: 朱亮    时间: 2007-4-20 05:27
双侧肾上腺转移瘤?
作者: 五阿哥    时间: 2007-4-20 05:29
双侧肾上腺增大,有分叶,密度均匀,考虑转移建议查原发灶
作者: wxy7406    时间: 2007-4-20 05:29
左侧肾上腺转移。
作者: 卓卓    时间: 2007-4-20 05:45
双肾上腺转移瘤
作者: 悟空    时间: 2007-4-20 05:54
1.双侧肾上腺占位,转移首先考虑。
2.肝硬化,门静脉高压;肝左叶内侧段病灶建议增强。
3.12指肠水平段狭窄,建议行低张12指肠造影。
作者: 天南地北    时间: 2007-4-20 06:14
支持肺癌肾上腺转移,肺癌患者20-30%发生肾上腺转移
作者: jiangjing    时间: 2007-4-20 06:18
侧肾上腺占位,建议增强!
作者: 红樱枪    时间: 2007-4-20 06:20
考虑双侧肾上腺占位
作者: 狙击手    时间: 2007-4-20 06:26
双侧肾上腺及腹膜后淋巴结增大,考虑转移,肺转移?
作者: 拾荒者    时间: 2007-4-21 04:27
双侧肾上腺结节样肿块,结合肺部肿块,考虑肺癌肾上腺转移。
作者: caoye230hospita    时间: 2007-4-21 04:35
左侧肾上腺占位,建议结合病史,增强观察!
作者: jinning    时间: 2007-4-23 02:37
考虑肺癌肾上腺转移
作者: jinguoji    时间: 2007-5-10 19:11
双侧肾上腺及腹膜后淋巴结增大,结合胸片提示肺部占位,考虑肺癌双侧肾上腺及腹膜后淋巴结转移.




欢迎光临 医影在线 (http://bbs.radida.com/bbs/) Powered by Discuz! X3.2