


















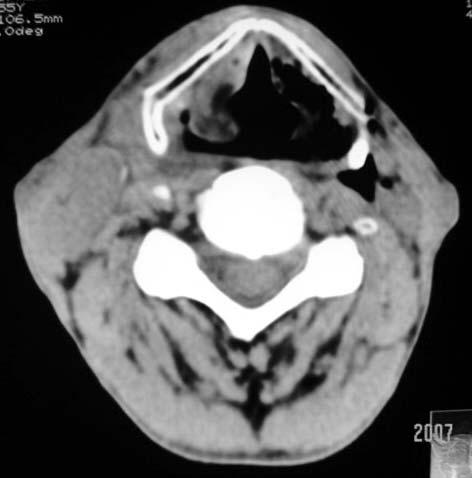
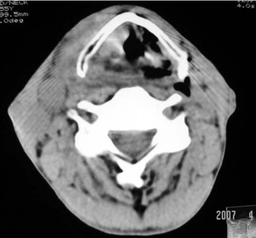
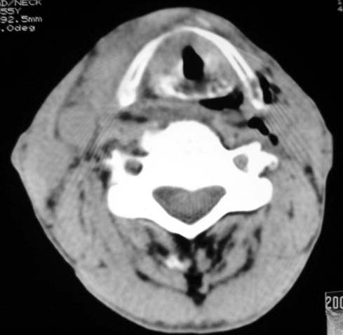
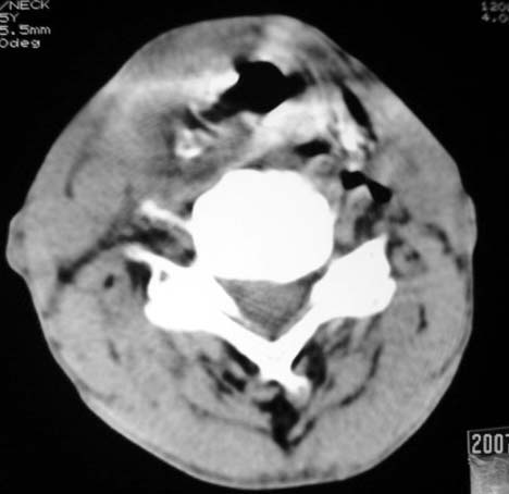
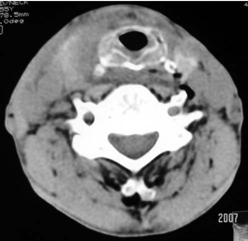
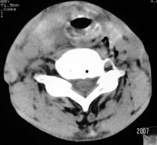
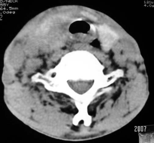
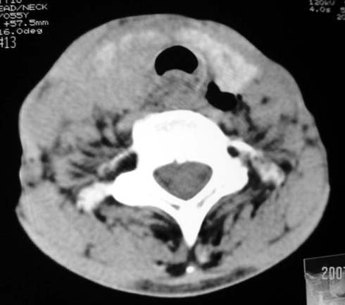
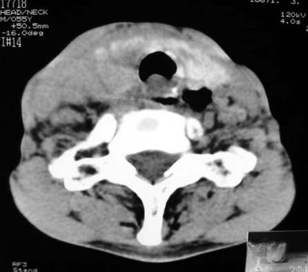
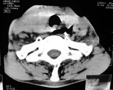
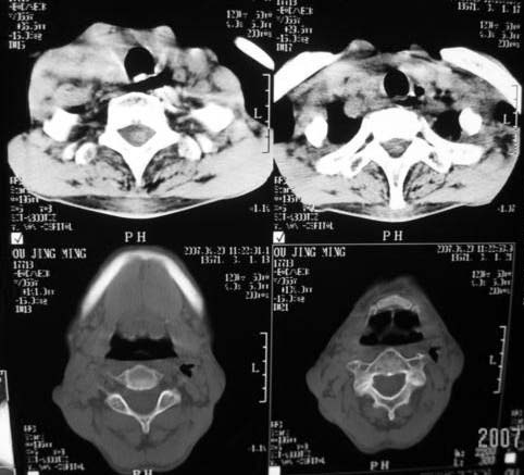
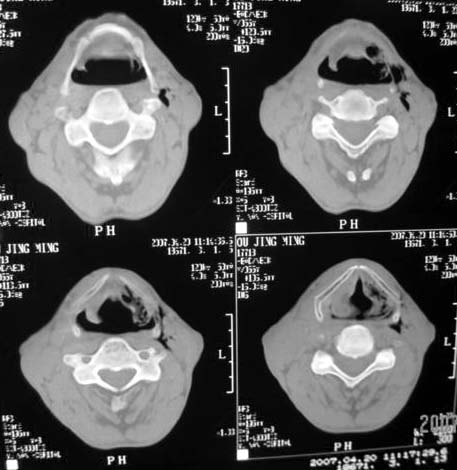
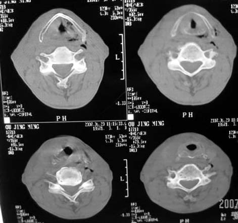
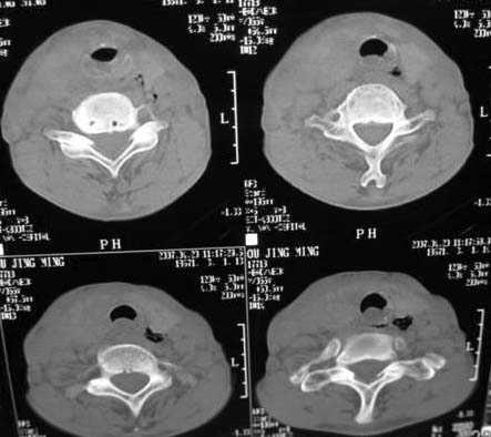
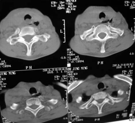
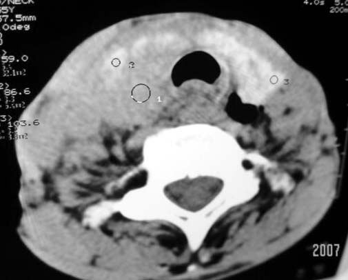
以下是引用dyqct在2007-4-20 16:19:00的发言:[br]考虑:1、左侧梨状窝区破裂伴左颈深、浅部气肿。[br] 2、右侧甲状腺区血肿(请追问病史是否伤及右颈部)。[br] 3、建议病情稳定后增强扫描除外右侧甲状腺腺瘤。


以下是引用dyqct在2007-4-20 16:19:00的发言:[br]考虑:1、左侧梨状窝区破裂伴左颈深、浅部气肿。[br] 2、右侧甲状腺区血肿(请追问病史是否伤及右颈部)。[br] 3、建议病情稳定后增强扫描除外右侧甲状腺腺瘤。
以下是引用汪涛同志在2007-4-20 22:03:00的发言:[br][br]
[br]
以下是引用dyqct在2007-4-20 16:19:00的发言:[br]考虑:1、左侧梨状窝区破裂伴左颈深、浅部气肿。[br] 2、右侧甲状腺区血肿(请追问病史是否伤及右颈部)。[br] 3、建议病情稳定后增强扫描除外右侧甲状腺腺瘤。
| 欢迎光临 医影在线 (http://bbs.radida.com/bbs/) | Powered by Discuz! X3.2 |