医影在线

标题: CT7807:[讨论] 头颅 [打印本页]

作者: 还珠格格    时间: 2007-4-20 23:28
标题: CT7807:[讨论] 头颅
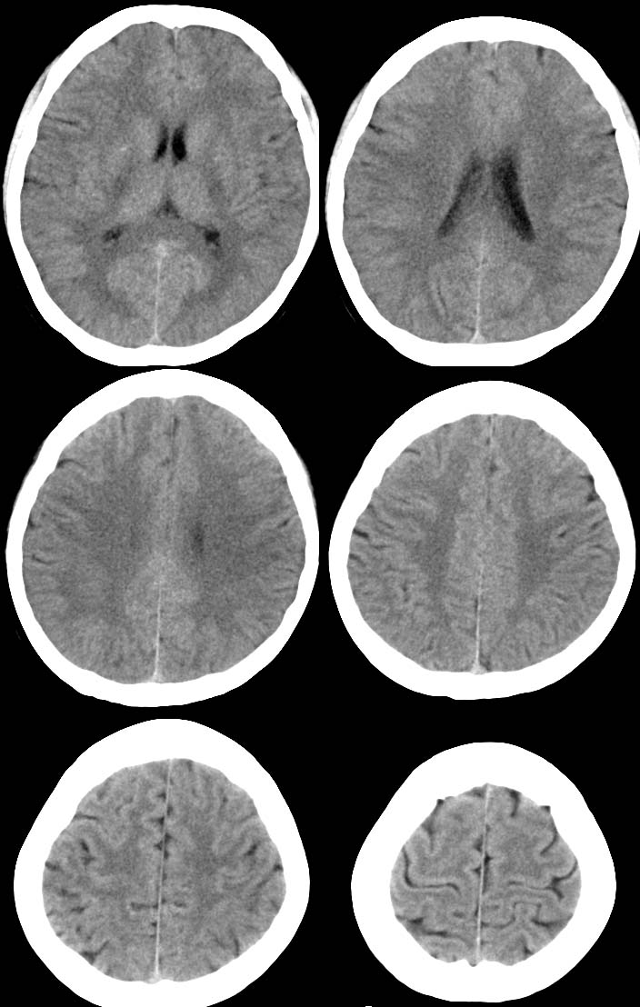
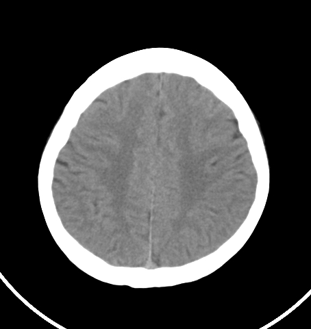
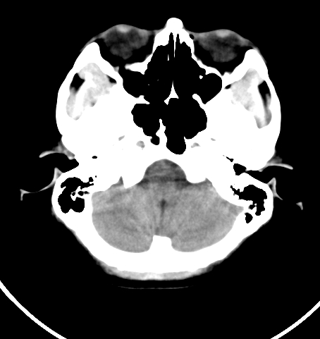
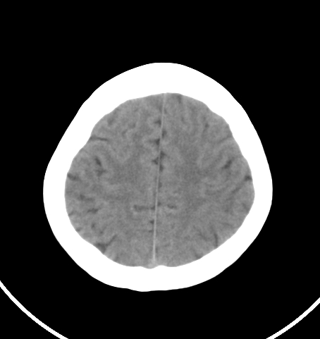
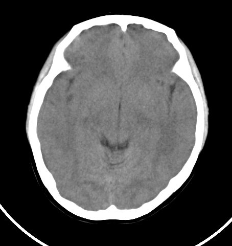
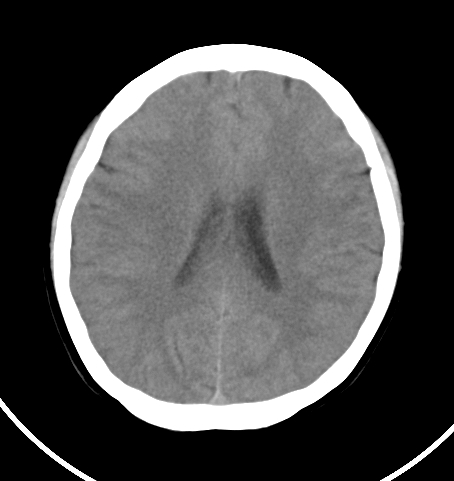
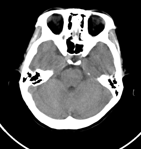
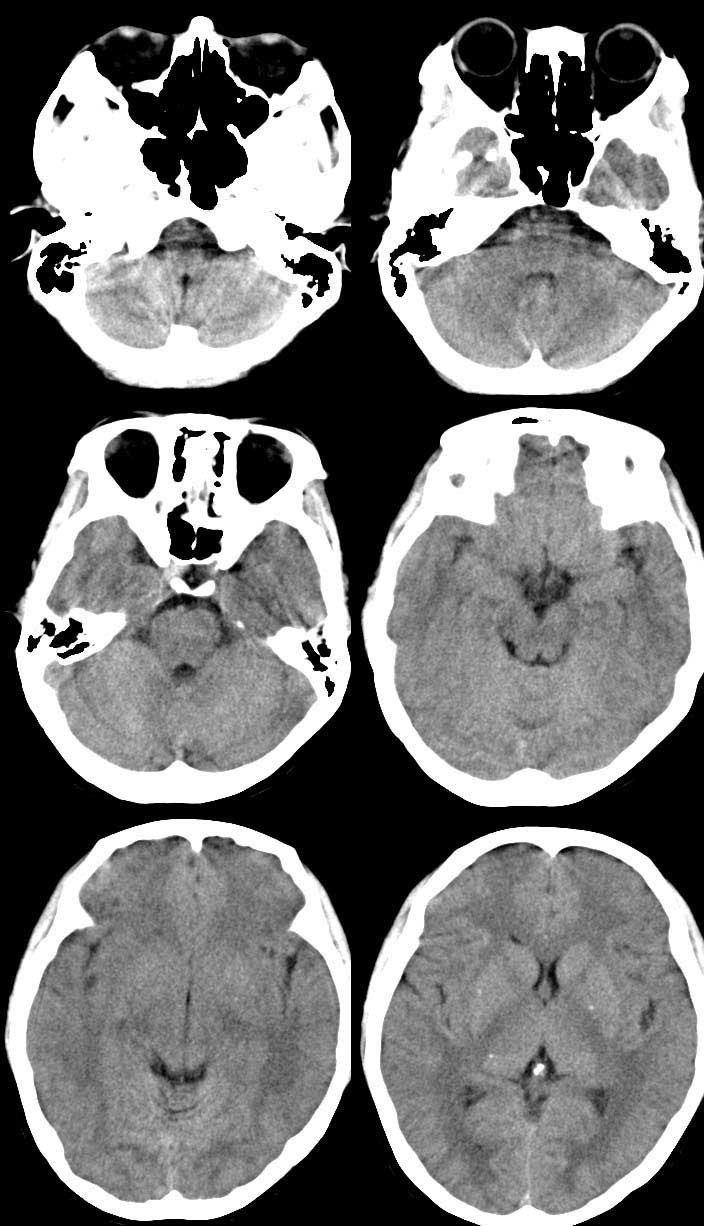
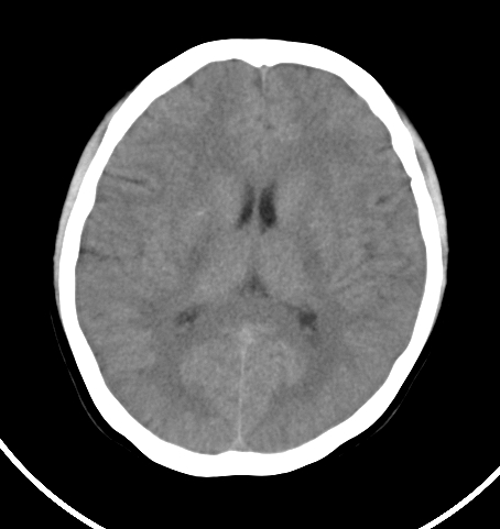
病人女 35岁 自述头晕 头痛















[本贴已被 jiajie 于 2007-5-10 13:36:34 修改过]

作者: qian    时间: 2007-4-20 23:38
正常。
作者: 苯小孩    时间: 2007-4-20 23:47
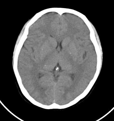
双侧基底节区及右侧丘脑区多发点状钙化,周围未见水肿及占位征象.余未见明显异常.考虑:脑囊虫病<囊虫的退变或死亡期>请结合有无相关病史.
作者: zjzjr    时间: 2007-4-21 00:12
标题: 回复:[讨论] 头颅
以下是引用苯小孩在2007-4-20 15:47:00的发言:[br]双侧基底节区及右侧丘脑区多发点状钙化,周围未见水肿及占位征象.余未见明显异常.考虑:脑囊虫病<囊虫的退变或死亡期>请结合有无相关病史.
支持.
作者: 文莱    时间: 2007-4-21 00:19
正常
作者: andymaomao    时间: 2007-4-21 00:28
未见确切异常。
作者: dyqct    时间: 2007-4-21 00:28
颅脑ct平扫未见明显异常。
作者: 同    时间: 2007-4-21 00:44
正常。
作者: 悬壶济世    时间: 2007-4-21 01:01
颅内有散在钙化
作者: 郭凯    时间: 2007-4-21 01:28
正常,请楼主以后把图像顺序传对!!!
作者: 余辉    时间: 2007-4-21 03:12
颅脑ct平扫未见明显异常
作者: robbinblack    时间: 2007-4-21 05:57
正常
作者: 宝天曼    时间: 2007-4-21 06:09
颅脑ct平扫未见明显异常。
作者: xuesheng007    时间: 2007-4-21 06:12
未见明显异常,建议检查颈椎。
作者: 天南地北    时间: 2007-4-21 07:02
颅脑ct平扫未见明显异常。
作者: qc80012345    时间: 2007-4-21 07:09
脑囊虫病理性钙化。
作者: 晓杰    时间: 2007-4-21 07:12
颅脑ct平扫未见明显异常。
作者: 拾荒者    时间: 2007-4-21 07:17
颅脑ct平扫未见明显异常。
作者: ysxyy    时间: 2007-4-22 01:35
标题: 回复:ct7807:[讨论] 头颅
我这里打不开网页,没事就先帮你排一下顺序;


作者: jinning    时间: 2007-4-23 01:50
未见明显异常。
作者: jinguoji    时间: 2007-5-10 20:47
颅脑ct平扫未见明显异常。




欢迎光临 医影在线 (http://bbs.radida.com/bbs/) Powered by Discuz! X3.2