医影在线

标题: CT7808:又一腰椎CT大家讨论一下 [打印本页]

作者: aara    时间: 2007-4-20 23:40
标题: CT7808:又一腰椎CT大家讨论一下
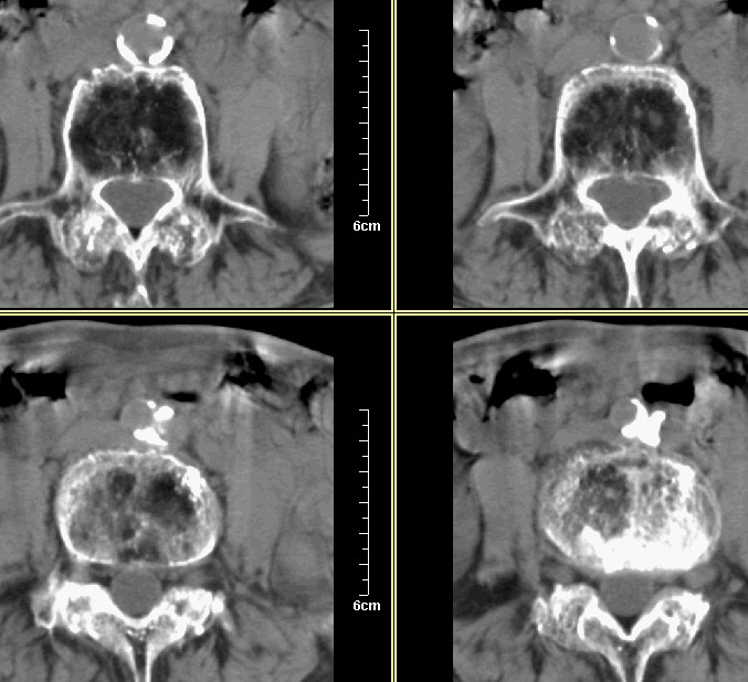
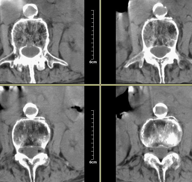
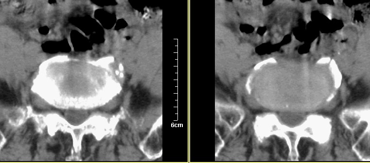
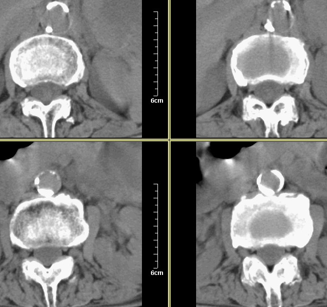
腰1-骶1 间盘及个别椎体扫描





腰3腰4椎体骨质破坏,骨密度低下,骨质疏松,少量骨小梁粗大,紊乱,椎间盘无改变,椎间隙不增宽,椎体无变形,椎旁软组织无肿胀。临床 腰痛明显。考虑:多发淋巴肉芽肿。




[本贴已被 jiajie 于 2007-5-10 13:33:31 修改过]

作者: qian    时间: 2007-4-20 23:48
腰椎退变很严重。
作者: zjzjr    时间: 2007-4-21 00:09
骨质疏松症伴退行性骨关节病.给骨窗看一下是不是合并有压缩性骨折.
作者: 新页    时间: 2007-4-21 00:15
腰椎退变
作者: haha215315    时间: 2007-4-21 00:17
骨质疏松症伴退行性骨关节病.
作者: dyqct    时间: 2007-4-21 00:32
考虑:强直性脊柱炎伴骨质疏松症。建议做骶髂关节ct或照片。
作者: xjlaodao    时间: 2007-4-21 00:39
主要还是退行性改变,有平片的话看看,建议骶髂关节扫描
作者: 同    时间: 2007-4-21 01:05
腰椎退变
作者: 郭凯    时间: 2007-4-21 01:31
强脊炎,再做个骶髂关节ct和抽血化验hla-27b
作者: 悬壶济世    时间: 2007-4-21 01:45
强直脊柱炎类风湿,结合病史及骨盆片。
作者: 晓杰    时间: 2007-4-21 01:51
骨质疏松症伴退行性骨关节病,患者年龄较大,腹主动脉硬化
作者: zxczxc    时间: 2007-4-21 01:55
腰椎退行性改变,腹主动脉硬化。
作者: 余辉    时间: 2007-4-21 03:03
多发骨髓瘤?
作者: yangyingjun18    时间: 2007-4-21 03:07
1.腰椎退变
2.椎管狭窄
作者: 宝天曼    时间: 2007-4-21 06:19
腰椎退变
作者: xulianj    时间: 2007-4-21 06:25
标题: 回复:又一腰椎ct大家讨论一下
以下是引用同在2007-4-20 17:05:00的发言:[br]腰椎退变

作者: 汪涛同志    时间: 2007-4-21 06:32
标题: 回复:ct7808:又一腰椎ct大家讨论一下
以下是引用dyqct在2007-4-20 16:32:00的发言:[br]考虑:强直性脊柱炎伴骨质疏松症。建议做骶髂关节ct或照片。

支持!几乎累及所有小关节,椎体前缘可见双边影,不排除骨质疏松引起的压缩性骨折。
作者: 天南地北    时间: 2007-4-21 07:11
考虑:强直性脊柱炎伴骨质疏松症。建议做骶髂关节ct或照片
作者: 拾荒者    时间: 2007-4-21 07:21
骨质疏松症伴退行性骨关节病.
作者: qc80012345    时间: 2007-4-21 07:23
退行性骨关节病
作者: zxczxc    时间: 2007-4-21 07:34
腰椎退行性改变,腹主动脉硬化。
作者: jinning    时间: 2007-4-23 01:48
骨质疏松症伴退行性骨关节病.
作者: qiuleiyu    时间: 2007-4-23 01:56
腰椎退变,椎间盘钙化.骨质疏松.建议mri.
作者: jinguoji    时间: 2007-5-10 20:55
骨质疏松症伴退行性骨关节病.
作者: dr.yang    时间: 2011-10-14 00:11
骨质疏松症伴退行性骨关节病.
作者: 宁静志远    时间: 2011-10-14 09:04
腰椎退行性变
作者: pujunzhi    时间: 2011-10-14 09:57
考虑:强直性脊柱炎伴骨质疏松症。建议做骶髂关节ct或照片。
支持!




欢迎光临 医影在线 (http://bbs.radida.com/bbs/) Powered by Discuz! X3.2