















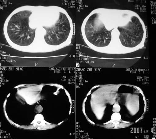
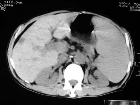
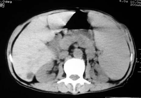
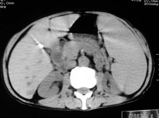
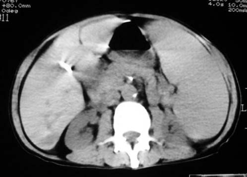
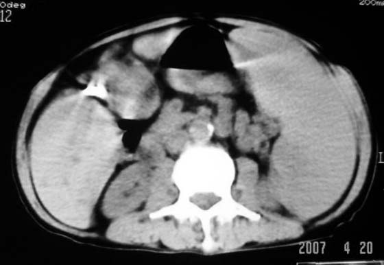
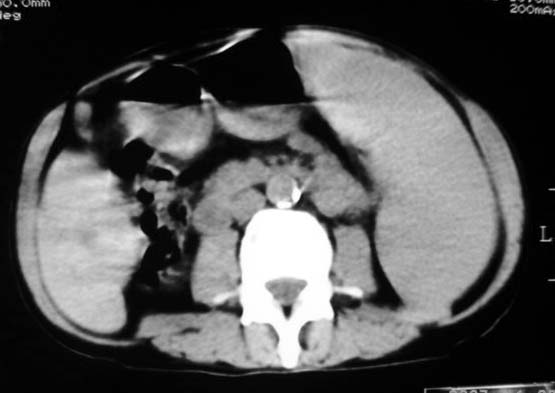
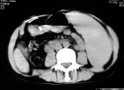
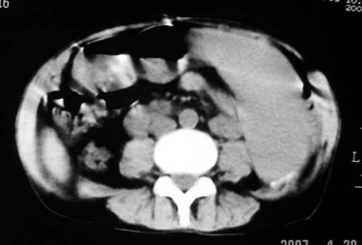
以下是引用andymaomao在2007-4-20 16:47:00的发言:[br]肝脾增大,肝内胆管扩张,且可见多发小囊性低密度灶,胆囊窝区高密度影,手术化疗病史,贫血....[br]1.肝脾大及贫血与术后化、药疗有关;[br]2.胆囊窝区高密度影,术后改变?肝内胆管扩张,积液?[br]3.肝内多发低密度灶,性质?建交增强
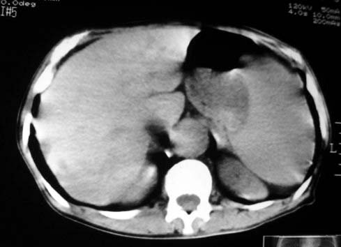
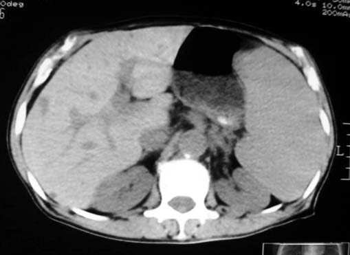
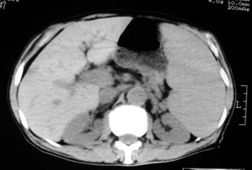
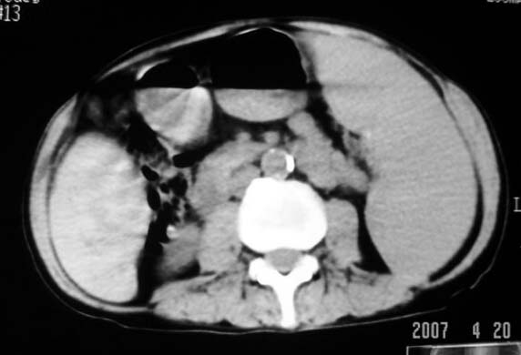
以下是引用dyqct在2007-4-20 16:38:00的发言:[br]考虑:1、巨脾;[br] 2、肝内多发低密度,首先考虑转移瘤;[br] 3、胆囊多发结石。
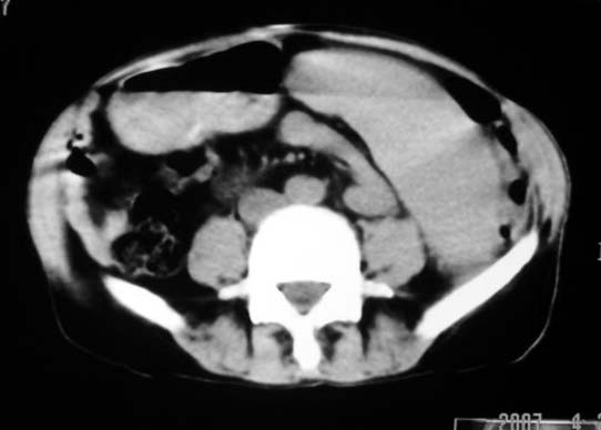
以下是引用dyqct在2007-4-20 16:38:00的发言:[br]考虑:1、巨脾;[br] 2、肝内多发低密度,首先考虑转移瘤;[br] 3、胆囊多发结石。
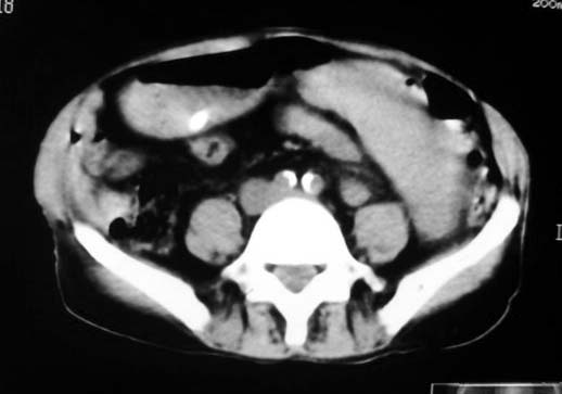
以下是引用dyqct在2007-4-20 16:38:00的发言:[br]考虑:1、巨脾;[br] 2、肝内多发低密度,首先考虑转移瘤;[br] 3、胆囊多发结石。
以下是引用dyqct在2007-4-20 16:38:00的发言:[br]考虑:1、巨脾;[br] 2、肝内多发低密度,首先考虑转移瘤;[br] 3、胆囊多发结石。
| 欢迎光临 医影在线 (http://bbs.radida.com/bbs/) | Powered by Discuz! X3.2 |