





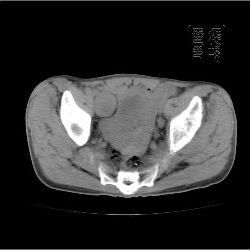
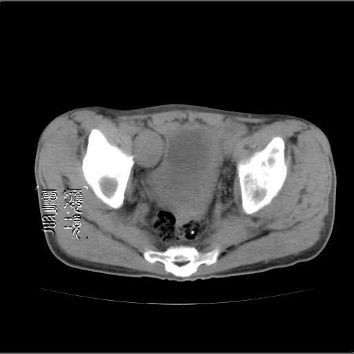
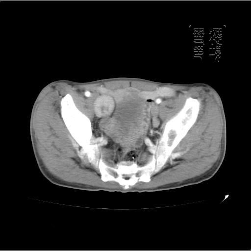
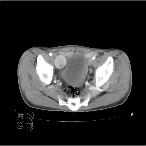
以下是引用余辉在2007-4-20 20:03:00的发言:[br]没头绪,猜一个吧,距离血管鞘近,就猜神经鞘瘤,中心部分变性囊变,另外请哪能位老师指点腹直肌后方及后外方强化物是何
以下是引用dyqct在2007-4-20 20:51:00的发言:[br]考虑:1、右侧膀胱外上方实性富血管性肿瘤(神经鞘膜瘤?纤维瘤?巨淋巴结增生症?)[br] 2、请标识需要解释的地方。
以下是引用aa13877358820在2007-4-21 7:01:00的发言:[br]隐睾?

| 欢迎光临 医影在线 (http://bbs.radida.com/bbs/) | Powered by Discuz! X3.2 |