医影在线

标题: CT7829:转载,男,38岁,左膝疼痛半月 [打印本页]

作者: 小初学者    时间: 2007-4-21 05:34
标题: CT7829:转载,男,38岁,左膝疼痛半月
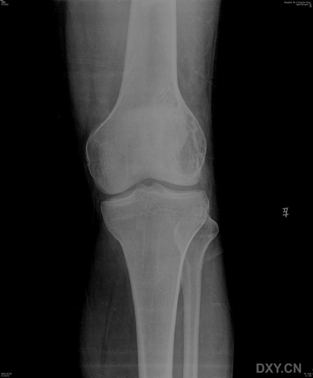
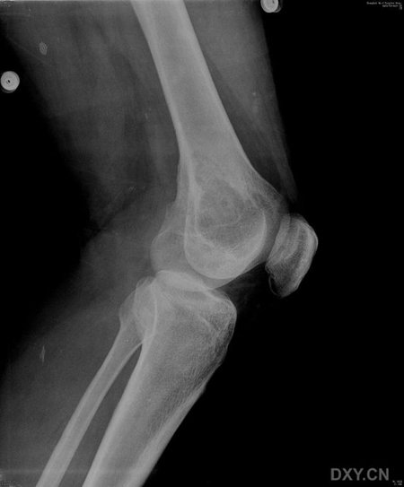
患者,男,38岁,左膝疼痛半月,体检左膝无红肿,无其它既往史






[本贴已被 jiajie 于 2007-5-11 22:58:58 修改过]

作者: huangxun4321    时间: 2007-4-21 06:23
病灶最大径与骨干垂直,病灶呈侵袭性生长,病灶内未见钙化及骨化影,未见骨膜反应,未见软组织肿块,骨壳尚完整.考虑骨巨(良性).
作者: 苯小孩    时间: 2007-4-21 06:24
骨纤?
作者: 天南地北    时间: 2007-4-21 06:38
骨巨细胞瘤
作者: 晓杰    时间: 2007-4-21 06:38
支持
考虑骨巨
作者: zjzjr    时间: 2007-4-21 06:39
支持骨巨,不除外动脉瘤样骨囊肿.
作者: 宝天曼    时间: 2007-4-21 06:42
考虑骨巨(良性).
作者: 红樱枪    时间: 2007-4-21 07:36
考虑动脉瘤样骨囊肿.
作者: qc80012345    时间: 2007-4-21 07:44
骨巨细胞瘤
作者: zxczxc    时间: 2007-4-21 07:48
考虑股骨下端良性占位,骨巨,骨囊肿?
作者: 光线    时间: 2007-4-21 08:22
首先考虑骨巨。
作者: 狙击手    时间: 2007-4-21 09:05
支持骨巨,不除外动脉瘤样骨囊肿.
作者: 还珠格格    时间: 2007-4-21 14:59
左侧股骨外侧髁囊性低密度灶 考虑 1 骨巨细胞瘤 2 骨囊肿不除外.
作者: liuyue    时间: 2007-4-21 15:40
考虑骨巨(良性).
作者: 山佳    时间: 2007-4-21 17:03
骨巨细胞瘤
作者: haha215315    时间: 2007-4-21 17:05
支持骨巨,不除外动脉瘤样骨囊肿.
作者: ZHANGZHONGSHOU    时间: 2007-4-21 21:50
标题: 回复:ct7829:转载,会诊
以下是引用zjzjr在2007-4-20 22:39:00的发言:[br]支持骨巨,不除外动脉瘤样骨囊肿.

支持
作者: zylcq608    时间: 2007-4-22 00:06
支持考虑骨巨
作者: zhanghua2086    时间: 2007-4-22 03:05
1.骨巨细胞瘤2.动脉瘤样骨囊肿
作者: yangyingjun18    时间: 2007-4-22 03:19
骨巨细胞瘤:病变位于骨端,偏心性分布,其内密度均匀,边缘无硬化,无骨膜反应,无软组织肿块,体检左膝无红肿,无其它既往史,及高发年龄
作者: 求知若渴    时间: 2007-4-22 03:23
病灶最大径与骨干垂直,病灶呈侵袭性生长,病灶内未见钙化及骨化影,未见骨膜反应,未见软组织肿块,骨壳尚完整.无硬化边.考虑骨巨(良性).
作者: 拾荒者    时间: 2007-4-22 04:15
支持骨巨细胞瘤(病灶偏心性生长,无骨化、钙化及骨膜反应,无软组织肿块,内见纤细间隔)。
作者: jw-830    时间: 2007-4-22 04:19
考虑骨巨细胞瘤
作者: jinning    时间: 2007-4-23 00:47
支持骨巨,
作者: jinguoji    时间: 2007-5-11 22:32
支持骨巨,不除外动脉瘤样骨囊肿.
作者: jsmctmri    时间: 2007-5-11 23:34
ct图片太少,x光片示肿瘤呈横向生长,其内可见纤细分隔,符合骨巨的特点,年龄也符合。
作者: jsmctmri    时间: 2007-5-11 23:36
ct图片太少,x光片示肿瘤呈横向生长,其内可见纤细分隔,符合骨巨的特点,年龄也符合。
作者: ailuanfei    时间: 2007-5-12 00:12
支持骨巨,不除外动脉瘤样骨囊肿
作者: dr.yang    时间: 2011-10-16 14:54
支持骨巨细胞瘤(病灶偏心性生长,无骨化、钙化及骨膜反应,无软组织肿块,内见纤细间隔)。




欢迎光临 医影在线 (http://bbs.radida.com/bbs/) Powered by Discuz! X3.2