医影在线

标题: CT7831:[原创]手术后积气 大家讨论看看这是怎么回事 [打印本页]

作者: xclzq_910    时间: 2007-4-21 05:42
标题: CT7831:[原创]手术后积气 大家讨论看看这是怎么回事
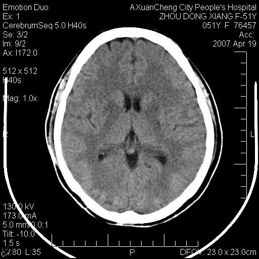
这个患者是外科手术后,第一次ct检查显示颅内多发积气和椎管内积气
现在复查后颅内这样怎么会事














[本贴已被 jiajie 于 2007-5-11 23:16:16 修改过]

作者: 李晓阳    时间: 2007-4-21 05:48
肝豆状核变性?co中毒?v-b缺乏?做dsa除外烟雾病
作者: 小初学者    时间: 2007-4-21 06:10
请问楼主什麽病,做的什麽手术,现在患者情况怎样
作者: zjzjr    时间: 2007-4-21 06:54
不会是颅内感染吧.
作者: xclzq_910    时间: 2007-4-21 06:55
好象是胆囊手术后,现在患者好象已经多脏器衰竭表现了
作者: 天南地北    时间: 2007-4-21 07:17
还是考虑缺氧引起的。
请上传第一次片和完善病史
作者: qc80012345    时间: 2007-4-21 07:35
缺氧引起的
作者: 汪涛同志    时间: 2007-4-21 07:40
能给一点临床资料么,我没有考虑那么复杂:梗塞!
作者: 小初学者    时间: 2007-4-21 14:02
考虑脑水肿
作者: 还珠格格    时间: 2007-4-21 14:51
双侧苍白球区见片状对称性低密度影 多考虑 缺氧引起的
作者: liuyue    时间: 2007-4-21 15:19
现在患者好象已经多脏器衰竭,结合病史考虑:缺氧改变。
作者: dyqct    时间: 2007-4-21 16:39
标题: 回复:ct7831:[原创] 大家讨论看看这是怎么回事
以下是引用天南地北在2007-4-20 23:17:00的发言:[br]还是考虑缺氧引起的。[br]请上传第一次片和完善病史

支持!!
作者: haha215315    时间: 2007-4-21 17:08
考虑缺氧引起
作者: yangyingjun18    时间: 2007-4-21 17:11
标题: 回复:ct7831:[原创] 大家讨论看看这是怎么回事
以下是引用qc80012345在2007-4-20 23:35:00的发言:[br]缺氧引起的

作者: 拾荒者    时间: 2007-4-22 05:34
第一次ct检查显示颅内多发积气和椎管内积气,现双侧基底节区及四叠体池周围多发斑片状低密度影,灰白质分界清楚,侧脑室前角变窄,患者为胆囊手术后,现在患者好象已经多脏器衰竭表现了,考虑:1. 血源性脑脓肿脑炎期改变?2. 缺血缺氧性改变?
作者: jinning    时间: 2007-4-23 00:44
支持缺氧改变
作者: jinguoji    时间: 2007-5-11 22:34
结合病史考虑:缺氧改变。
作者: wqs571018    时间: 2007-5-14 03:25
支持考虑:缺血缺氧性改变。
作者: dr.yang    时间: 2011-10-16 18:33
第一次ct检查显示颅内多发积气和椎管内积气,现双侧基底节区及四叠体池周围多发斑片状低密度影,灰白质分界清楚,侧脑室前角变窄,患者为胆囊手术后,现在患者好象已经多脏器衰竭表现了,考虑:1. 血源性脑脓肿脑炎期改变?2. 缺血缺氧性改变?--支持




欢迎光临 医影在线 (http://bbs.radida.com/bbs/) Powered by Discuz! X3.2