





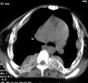
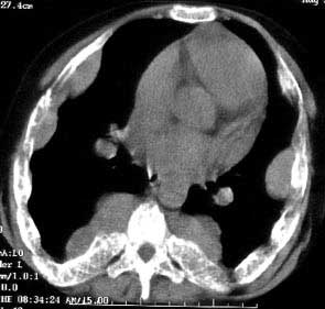
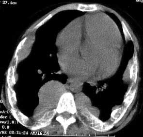
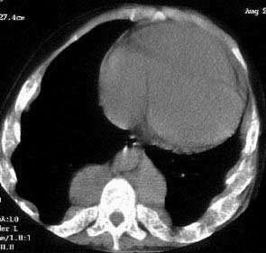
以下是引用hfs999999在2004-12-10 21:07:44的发言:[br]地中海贫血伴髓外造血可能,须於骨纤鉴别
以下是引用阿圣在2004-12-11 8:43:28的发言:[br]少见,不敢妄下结论。
以下是引用jiajie在2004-12-10 22:14:53的发言:[br]多发性肋骨骨质疏松,[br][br]麦粒状及筛孔状骨质破坏,[br][br]髓腔膨胀皮质变薄,[br][br]骨旁多发软组织肿块,[br][br]考虑恶性病变,支持肋骨多发性骨髓瘤。
以下是引用pujunzhi在2008-7-3 21:21:00的发言:[br]支持地中海贫血伴髓外造血可能性大,需与多发性骨髓瘤、淋巴瘤等鉴别。
| 欢迎光临 医影在线 (http://bbs.radida.com/bbs/) | Powered by Discuz! X3.2 |