医影在线

标题: CT7835:[原创]女,29,头痛呕吐2月余请看头颅,有问题吗? [打印本页]

作者: 狙击手    时间: 2007-4-21 07:12
标题: CT7835:[原创]女,29,头痛呕吐2月余请看头颅,有问题吗?
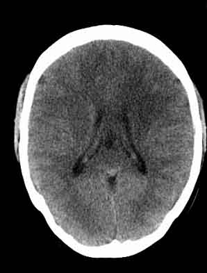
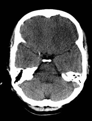
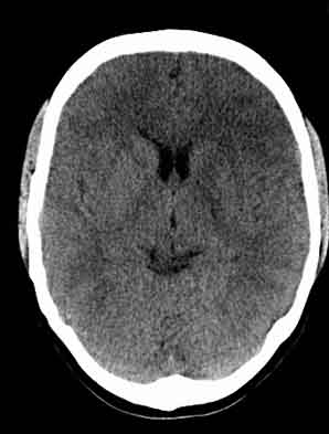
患者,女,29,头痛呕吐2月余,已建议增强或mri进检。













[本贴已被 jiajie 于 2007-5-11 22:54:44 修改过]

作者: 天南地北    时间: 2007-4-21 07:27
额叶脑白质象是有问题
作者: 小初学者    时间: 2007-4-21 07:28
建议强化
作者: qc80012345    时间: 2007-4-21 07:30
正常
作者: zxczxc    时间: 2007-4-21 07:30
额叶低密度影,建议增强。
作者: xiaoniu    时间: 2007-4-21 07:30
脑沟裂消失,脑白质密度似有减低,考虑脑炎。
作者: zjzjr    时间: 2007-4-21 07:32
左额叶白质密度减低,考虑脑炎,建议增强或mri .
作者: luoyanmin    时间: 2007-4-21 13:17
额叶低密度,似炎性改变,mr首选.
作者: tmf800    时间: 2007-4-21 14:31
大脑表面脑沟裂消失,颅压高的表现,经常遇到这样的现象,都没有一个明确的结论,望高人指点。
额叶密度减低好像伪影。
作者: 宝天曼    时间: 2007-4-21 14:48
额叶低密度,似炎性改变,mr首选.
作者: 还珠格格    时间: 2007-4-21 14:55
左侧额叶见低密度影,边界模湖 建议 增强 除外占位
作者: liuyue    时间: 2007-4-21 15:11
额叶低密度,似炎性改变,mr首选.但不除外机器所致的伪影(如ct老化、长时间未作水模校正、床位置不合适等)
作者: dyqct    时间: 2007-4-21 16:41
还是增强后再说吧!
作者: yangyingjun18    时间: 2007-4-21 17:06
标题: 回复:ct7835:[原创]请看头颅,有问题吗?
以下是引用tmf800在2007-4-21 6:31:00的发言:[br]大脑表面脑沟裂消失,颅压高的表现,经常遇到这样的现象,都没有一个明确的结论,望高人指点。[br]额叶密度减低好像伪影。

作者: 迎客松abc    时间: 2007-4-21 17:17
好像没什么问题。
作者: ygdygd123a    时间: 2007-4-21 19:18
左额叶低密度灶考虑炎性病变
作者: butterylf    时间: 2007-4-21 19:27
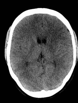
右侧枕叶那里有没有东西啊,不好意思,新手,
作者: 拾荒者    时间: 2007-4-22 05:53
脑沟裂消失,脑白质密度似有减低,考虑脑炎。期待结果验证。
作者: tanjiuzhe313    时间: 2007-4-22 06:15
双侧脑室前角、旁周围白质低密度减低,边界模糊不清,患者女性:大胆推测,脑白质脱髓鞘改变。mri检查
作者: jinning    时间: 2007-4-23 00:31
考虑脑炎。
作者: liuqiang    时间: 2007-4-23 00:33
建议mri检查。
作者: jinguoji    时间: 2007-5-11 22:42
左侧额叶见低密度影,边界模湖,考虑脑炎, 建议增强除外占位.
作者: ailuanfei    时间: 2007-5-12 00:39
左额叶低密度灶,建议mri扫描或增强!
作者: dr.yang    时间: 2011-10-16 14:56
脑沟裂消失,脑白质密度似有减低,考虑脑炎。期待结果验证。




欢迎光临 医影在线 (http://bbs.radida.com/bbs/) Powered by Discuz! X3.2