医影在线

标题: CT7845:右胫骨下端,男,中学生打篮球时右踝扭伤 [打印本页]

作者: 王明发    时间: 2007-4-21 21:17
标题: CT7845:右胫骨下端,男,中学生打篮球时右踝扭伤
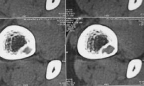
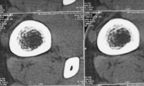
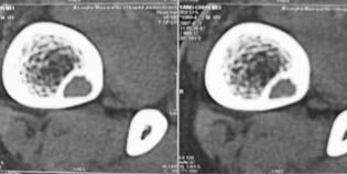
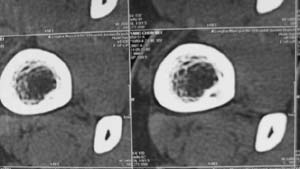
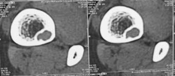
男,中学生打篮球时右踝扭伤,拍片时发右胫骨下端楕圆形透亮影,是不是动脉瘤样骨囊肿,请讨论















[本贴已被 jiajie 于 2007-5-6 17:48:04 修改过]

作者: 小初学者    时间: 2007-4-21 21:22
考虑非骨化纤维瘤,骨样骨瘤待排
作者: ZHANGZHONGSHOU    时间: 2007-4-21 21:33
骨皮质内破坏区,其下部可能为“巢中有蛋“征,首先考虑骨样骨瘤,本病须与骨皮质脓肿,硬化性骨髓炎、骨梅毒等疾病鉴别。请结合临床进一步鉴别。
作者: jone-baby    时间: 2007-4-21 21:46
支持 动脉瘤样骨囊肿
作者: 晓杰    时间: 2007-4-21 21:49
支持:
考虑非骨化纤维瘤
作者: lisihao    时间: 2007-4-21 21:57
典型的非骨化纤维瘤,其实就是纤维性骨皮质缺损演变而来
作者: 心柳    时间: 2007-4-21 22:33
非骨化性纤维瘤
作者: 宝天曼    时间: 2007-4-21 22:34
支持 动脉瘤样骨囊肿
作者: dyqct    时间: 2007-4-21 22:46
考虑:1、骨样骨瘤;
      2、不除外非骨化性纤维瘤。
作者: cefcmj    时间: 2007-4-21 22:51
以非骨化性纤维瘤可能性大。
作者: zjzjr    时间: 2007-4-21 22:59
局限性纤维骨皮质缺损.
作者: sdllxu    时间: 2007-4-21 23:16
胫骨后外侧见囊样低密度边缘硬化,其内见小点状高密度影,首先考虑骨样骨瘤
作者: 文莱    时间: 2007-4-21 23:57
典型纤维性骨皮质缺损
作者: jinning    时间: 2007-4-22 00:30
考虑:1、骨样骨瘤;
      2、不除外非骨化性纤维瘤。
作者: 天南地北    时间: 2007-4-22 02:01
以非骨化性纤维瘤可能性大
作者: 游戏红尘    时间: 2007-4-22 02:03
骨样骨瘤
作者: yangyingjun18    时间: 2007-4-22 03:13
典型的非骨化纤维瘤
1.病人年龄小
2.病变位于骨干皮质下
3.病变边缘清晰,见硬化环
4.无软组织肿块
5.病变密度均匀
作者: lizhjie    时间: 2007-4-22 03:14
非骨化性纤维瘤
作者: zhanghua2086    时间: 2007-4-22 03:14
骨样骨瘤,建议活检
作者: 拾荒者    时间: 2007-4-23 02:55
应该是比较典型的非骨化性纤维瘤:病灶偏于骨干的一侧,紧靠皮质下,呈类圆形,靠近髓腔侧有硬化边,病灶长轴平行于骨干,周围无骨膜反应和软组织肿块。与骨样骨瘤鉴别:后者具有明显或剧烈疼痛,“瘤巢”为其特征,在瘤巢周围有显著的反应性骨质增生。
作者: wqs571018    时间: 2007-4-23 03:22
骨样骨瘤可能.
作者: jinguoji    时间: 2007-5-10 19:32
考虑骨样骨瘤可能性大。




欢迎光临 医影在线 (http://bbs.radida.com/bbs/) Powered by Discuz! X3.2