医影在线

标题: PED0091:患儿男5岁-发热2天 无咳嗽咳痰 [打印本页]

作者: 我爱CT-MR    时间: 2007-4-22 03:03
标题: PED0091:患儿男5岁-发热2天 无咳嗽咳痰
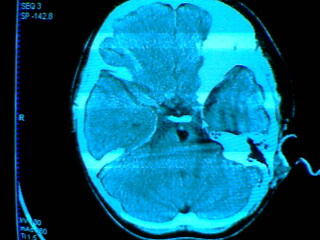
发热2天 无咳嗽咳痰 抽搐数次 现浅昏迷




其它层面无异常表现 故未上传



[本贴已被 jiajie 于 2007-5-12 7:10:36 修改过]

作者: 余辉    时间: 2007-4-22 03:09
脂肪瘤?皮样囊肿?表皮样囊肿?
作者: 我爱CT-MR    时间: 2007-4-22 03:12
是脑干的吗
作者: ZHANGZHONGSHOU    时间: 2007-4-22 03:12
请测一下眶内脂肪及脑脊液的密度值
作者: 还珠格格    时间: 2007-4-22 03:22
考虑 脑干脂肪瘤可能性大
作者: 小初学者    时间: 2007-4-22 03:24
位于中线部位,多考虑脂肪瘤
作者: yang4132    时间: 2007-4-22 03:26
基底池脂肪瘤。
作者: 李晓阳    时间: 2007-4-22 03:27
脂肪瘤
作者: 宝天曼    时间: 2007-4-22 03:30
考虑 脑干脂肪瘤可能性大
作者: dyqct    时间: 2007-4-22 03:58
考虑:左侧桥小脑角池、基底池表皮样囊肿可能性大。
作者: jone-baby    时间: 2007-4-22 04:23
考虑:左侧桥小脑角池、基底池表皮样囊肿可能性大
作者: 高仕福    时间: 2007-4-22 06:43
左侧桥小脑角池、基底池表皮样囊肿可能性大。
支持邓主任意见!
作者: 天南地北    时间: 2007-4-22 08:11
考虑:左侧桥小脑角池、基底池表皮样囊肿可能性大
作者: zjzjr    时间: 2007-4-22 23:03
脂肪瘤
作者: zhangxiangjun    时间: 2007-4-23 02:35
左侧桥小脑角池、基底池表皮样囊肿可能性大。
支持邓主任意见!
作者: 同    时间: 2007-4-23 03:31
首先考虑脂肪瘤
作者: ydx_74    时间: 2007-4-23 04:05
左侧桥小脑角池表皮样囊肿可能性大,部分突入桥前池,引起脑干受压
作者: zhangyuanmr    时间: 2007-4-23 06:02
脂肪瘤
作者: zyx168    时间: 2007-4-23 23:04
皮样囊肿可能性大。
作者: jinning    时间: 2007-4-24 01:35
考虑 脑干脂肪瘤可能性大
作者: jinguoji    时间: 2007-4-24 18:39
考虑左侧桥小脑角池、基底池表皮样囊肿可能性大
作者: 迎客松abc    时间: 2007-4-24 20:07
考虑 脑干脂肪瘤可能性大
作者: 狙击手    时间: 2007-4-25 07:53
标题: 回复:ped0091:患儿男5岁---
以下是引用dyqct在2007-4-21 19:58:00的发言:[br]考虑:左侧桥小脑角池、基底池表皮样囊肿可能性大。

支持!
作者: xsj    时间: 2008-8-4 20:55
左侧桥小脑角池、基底池表皮样囊肿可能性大




欢迎光临 医影在线 (http://bbs.radida.com/bbs/) Powered by Discuz! X3.2