医影在线

标题: DSA0093:脑血管造影 [打印本页]

作者: jiajie    时间: 2007-4-22 04:40
标题: DSA0093:脑血管造影
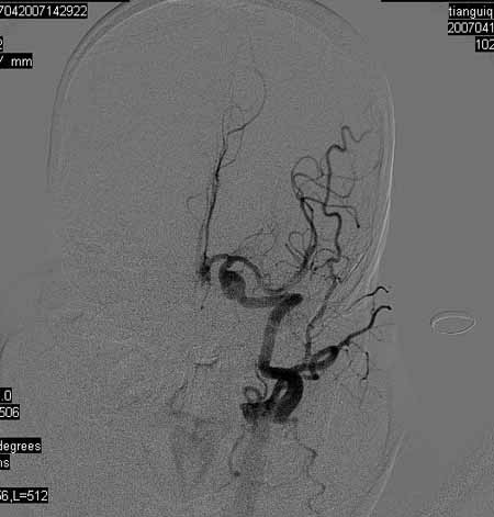
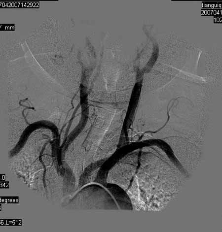
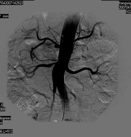
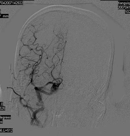
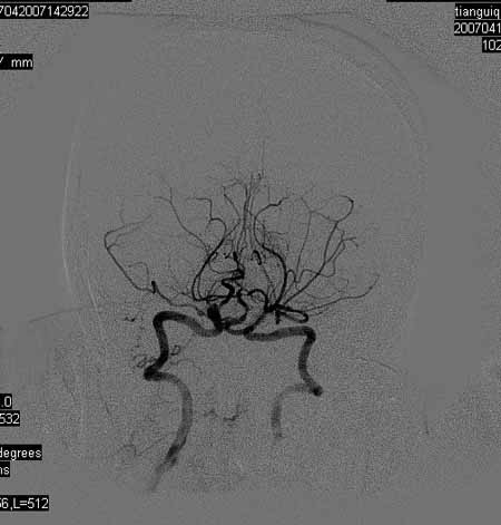
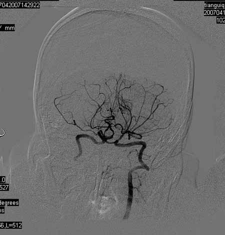
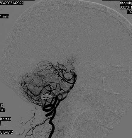
女,63岁,左侧额、枕叶脑梗塞。











[本贴已被 jiajie 于 2007-4-21 20:41:43 修改过]

作者: zjzjr    时间: 2007-4-22 16:54
右肾动脉及左颈内动脉起始部狭窄(考虑动脉硬化引起的),大脑中动脉分支减少.
作者: jssqcdm    时间: 2007-4-25 07:30
右肾动脉及左颈内动脉起始部狭窄(考虑动脉硬化引起的),
作者: zyx168    时间: 2007-4-28 19:08
学习了!谢谢!
作者: drzhang8888    时间: 2007-6-2 06:37
学习了!谢谢!
作者: jinguoji    时间: 2007-6-8 21:49
学习了,谢谢!




欢迎光临 医影在线 (http://bbs.radida.com/bbs/) Powered by Discuz! X3.2