医影在线

标题: DSA0094:肝脏介入治疗 [打印本页]

作者: jiajie    时间: 2007-4-22 06:34
标题: DSA0094:肝脏介入治疗
女,68岁。








作者: zjzjr    时间: 2007-4-22 16:38
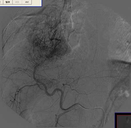
动脉期见供血动脉明显增粗,许多纡曲的肿瘤新生血管,实质期染色明显.栓塞术后见碘油沉积良好.肝右叶巨块型肝癌动脉化疗栓塞术(tae或toce).
作者: qiuleiyu    时间: 2007-4-23 04:07
右肝巨块型肝癌超先完美.栓塞到位.多谢楼主了.请问楼主此rh导管为那一类型的?
作者: 海风轻轻吹    时间: 2007-4-23 23:23
动脉期右肝动脉增粗,有较多增生血管,肿瘤染色明显;超选择进入供血动脉后栓塞,碘油沉积明显。请问楼主,术中用碘油量为几何,有无混合抗癌药物。病灶区静脉内碘油不是很明显,什么原因?请谈谈术中想法。谢谢!
作者: 火中金    时间: 2007-4-24 05:04
很典型!平片上看就是,dsa肝右动脉增粗,分支明显增多、迂曲,呈抱球状,栓塞后碘油沉积均匀,造影动脉栓塞效果好!敢问jiajie 老师用什么材料栓塞的吗?
作者: 未见异常    时间: 2007-4-24 05:38
栓到什么程度结素的  血管铸行或栓塞剂反流?请指教
作者: jssqcdm    时间: 2007-4-25 06:35
动脉期见供血动脉明显增粗,许多纡曲的肿瘤新生血管,实质期染色明显.栓塞术后见碘油沉积良好.肝右叶巨块型肝癌动脉化疗栓塞术(tae或toce).
作者: liujie690926    时间: 2007-4-25 20:23
像这种巨块型肝癌,我通常是先进行碘油+化疗药栓塞后再灌注化疗药,而后再用碘油+化疗药及明胶海绵栓塞,形成“夹心面包”,据我47例病例疗效观察,疗效较好,不妨一试。
作者: liujie690926    时间: 2007-4-25 20:25
像这种巨块型肝癌,我通常是先进行碘油+化疗药栓塞后再灌注化疗药,而后再用碘油+化疗药及明胶海绵栓塞,形成“夹心面包”,据我47例病例疗效观察,疗效较好,不妨一试。
作者: zyx168    时间: 2007-4-28 19:13
学习了!
作者: drzhang8888    时间: 2007-6-2 06:34
???
作者: jinguoji    时间: 2007-6-8 21:50
学习了,谢谢!
作者: dr.yang    时间: 2012-9-23 22:03
夹心面包!听说过




欢迎光临 医影在线 (http://bbs.radida.com/bbs/) Powered by Discuz! X3.2