


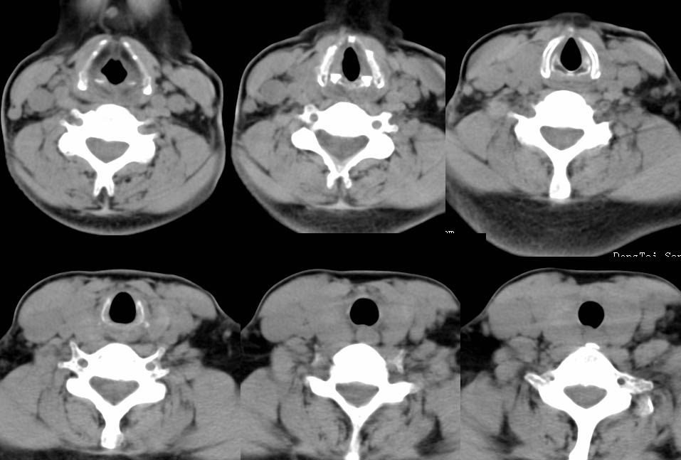
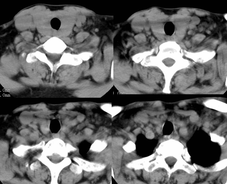
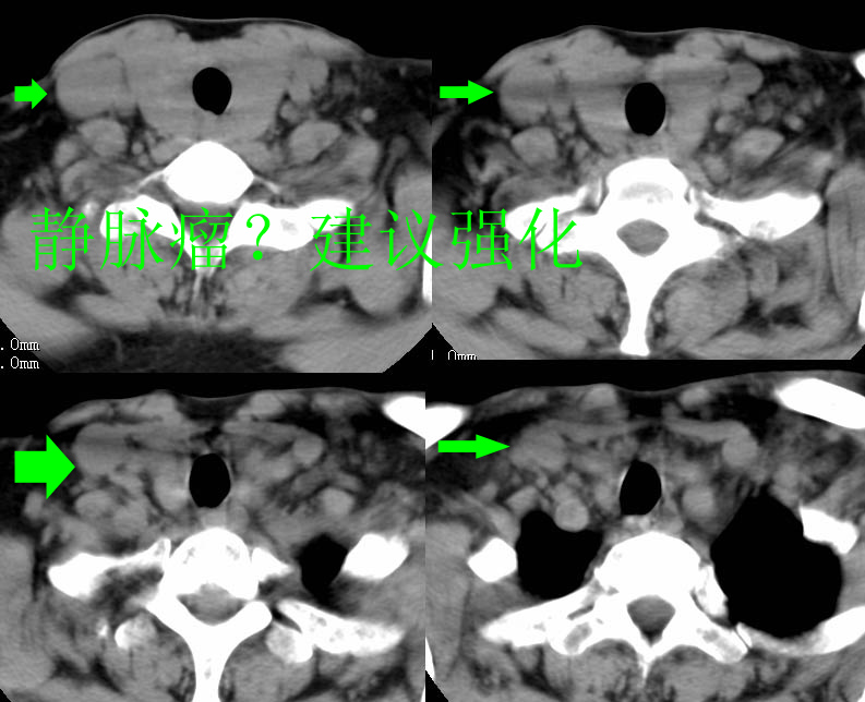
以下是引用zhangzhongshou在2007-4-23 12:41:00的发言:[br]甲状腺弥漫性肿大,密度减低,符合甲状腺炎ct表现,建议进一步检查
以下是引用zhangzhongshou在2007-4-23 12:41:00的发言:[br]甲状腺弥漫性肿大,密度减低,符合甲状腺炎ct表现,建议进一步检查
以下是引用zhangzhongshou在2007-4-23 12:41:00的发言:[br]甲状腺弥漫性肿大,密度减低,符合甲状腺炎ct表现,建议进一步检查
以下是引用天南地北在2007-4-23 12:40:00的发言:[br][br]
以下是引用zhangzhongshou在2007-4-23 12:41:00的发言:[br]甲状腺弥漫性肿大,密度减低,符合甲状腺炎ct表现,建议进一步检查
| 欢迎光临 医影在线 (http://bbs.radida.com/bbs/) | Powered by Discuz! X3.2 |