
















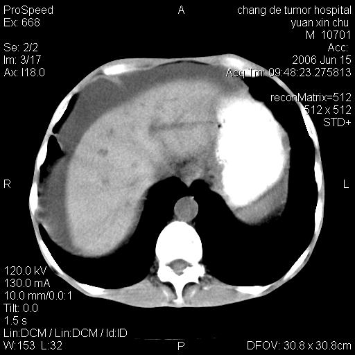
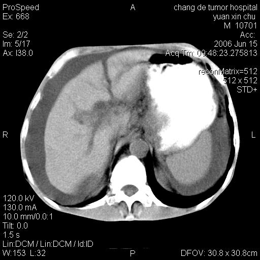
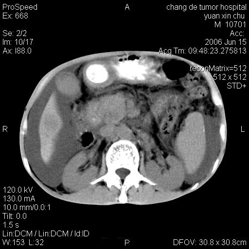
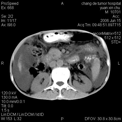
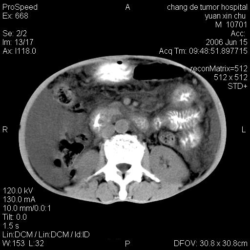
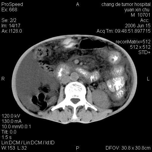
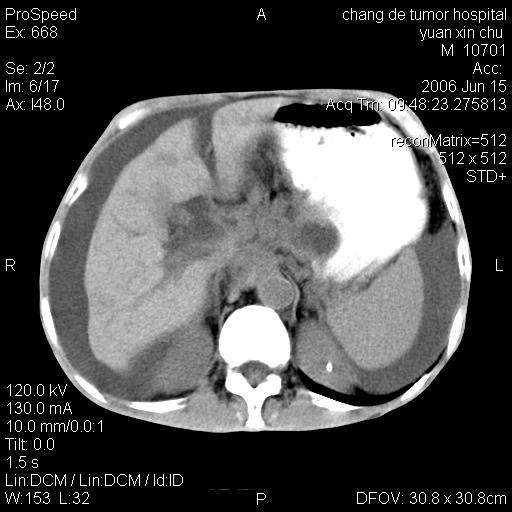
以下是引用qian在2007-4-23 19:06:00的发言:[br]胰腺体积增大,轮廓欠规则,肝轮廓波浪状改变,肝裂增宽,肝周、脾周有液性密度,腹膜后肿大淋巴结,考虑1、胰腺癌伴腹膜后淋巴结转移;2、肝硬化伴腹水。
以下是引用qian在2007-4-23 19:06:00的发言:[br]胰腺体积增大,轮廓欠规则,肝轮廓波浪状改变,肝裂增宽,肝周、脾周有液性密度,腹膜后肿大淋巴结,考虑1、胰腺癌伴腹膜后淋巴结转移;2、肝硬化伴腹水。
以下是引用卜一在2007-4-23 20:12:00的发言:[br]胰腺体积增大,轮廓欠规则,肝轮廓波浪状改变,肝裂增宽,肝周、脾周有液性密度,腹膜后肿大淋巴结,考虑1、胰腺癌伴腹膜后淋巴结转移;2、肝硬化伴腹水。支持!
以下是引用qian在2007-4-23 19:06:00的发言:[br]胰腺体积增大,轮廓欠规则,肝轮廓波浪状改变,肝裂增宽,肝周、脾周有液性密度,腹膜后肿大淋巴结,考虑1、胰腺癌伴腹膜后淋巴结转移;2、肝硬化伴腹水。



| 欢迎光临 医影在线 (http://bbs.radida.com/bbs/) | Powered by Discuz! X3.2 |