
















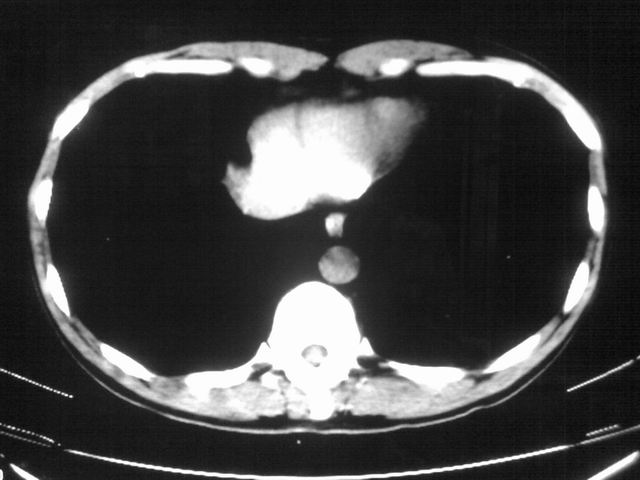
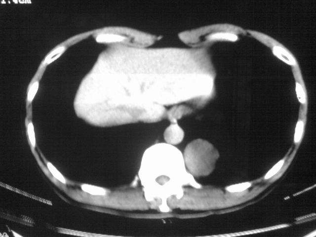
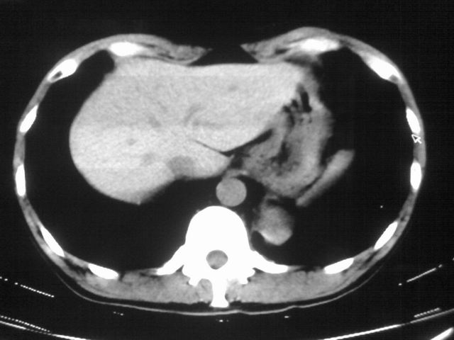
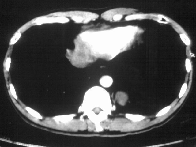
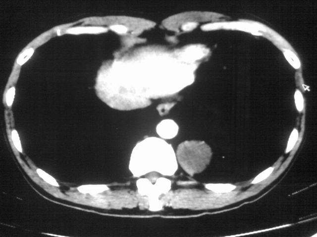
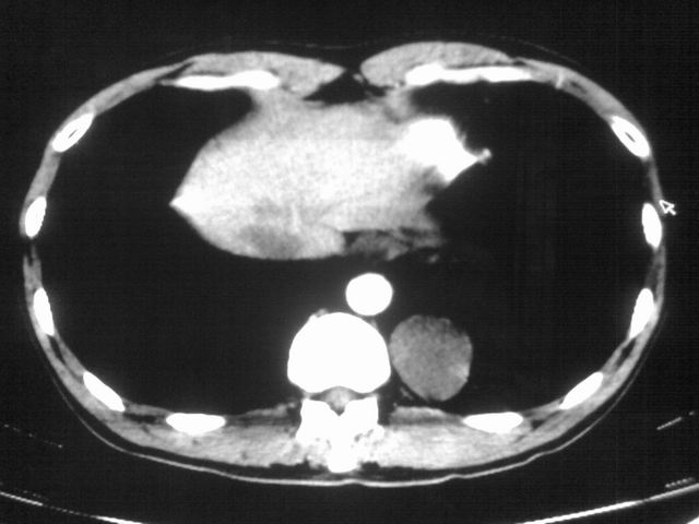
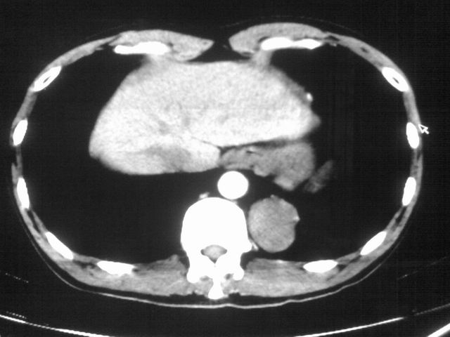
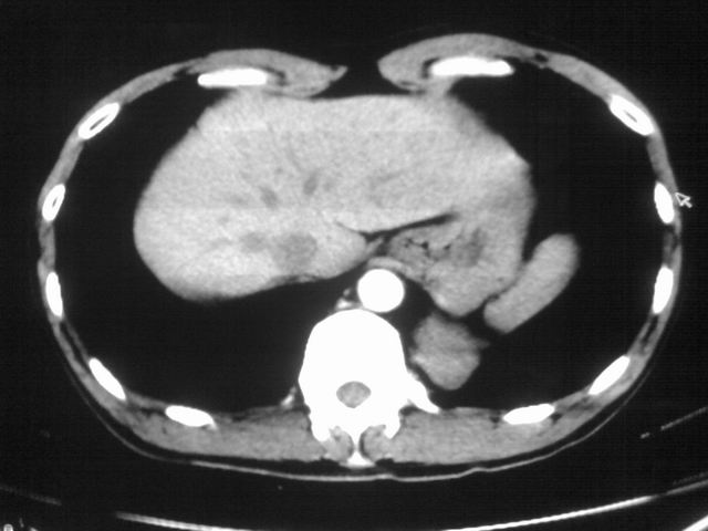
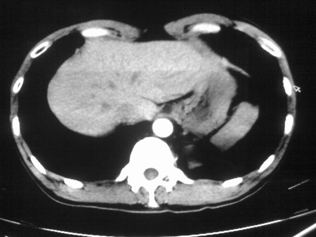
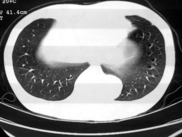
以下是引用苯小孩在2007-4-24 19:46:00的发言:[br]左下肺内侧基底段,见类圆形病灶,边缘清晰光滑.强化后轻中度强化.<平扫第4层面似有从腹主动脉相连血管影,可惜强化扫描这层没有抓住>考虑:左下肺隔离症.建议dsa或薄层强化重建观察.
以下是引用苯小孩在2007-4-24 19:46:00的发言:[br]左下肺内侧基底段,见类圆形病灶,边缘清晰光滑.强化后轻中度强化.<平扫第4层面似有从腹主动脉相连血管影,可惜强化扫描这层没有抓住>考虑:左下肺隔离症.建议dsa或薄层强化重建观察.
以下是引用同在2007-4-24 20:11:00的发言:[br]考虑肺隔离症
| 欢迎光临 医影在线 (http://bbs.radida.com/bbs/) | Powered by Discuz! X3.2 |